Hématome extradural

Hématome extradural
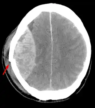
Description de cette image, également commentée ci-après
Aspect tomodensitométrique d'un hématome extradural
Traitement
Spécialité Médecine d'urgence
Classification et ressources externes
CIM-10 I62.1, S06.4
CIM-9 432.0
DiseasesDB 4353
MedlinePlus 001412
eMedicine 824029
med/2898 neuro/574
MeSH D006407
Patient UK Extradural-haematoma

Wikipédia ne donne pas de conseils médicaux Mise en garde médicale

L'hématome extradural ou épidural ou encore péridural est un épanchement de sang entre un os du crâne et la dure-mère du cerveau. C’est une des complications possibles d'un traumatisme crânien majeur chez l'homme. Les traumatismes crâniens et lésions rachidiennes sont une des causes de mortalité les plus fréquentes chez le jeune adulte. Ils nécessitent examen clinique et radiologique rapides qui seuls peuvent permettre une prise en charge adéquate[1].

Bien que relativement rare (2 à 5 % des traumatismes crâniens), elle représente une urgence chirurgicale de par sa première place dans la hiérarchie lésionnelle du polytraumatisme et, de ce fait, l’hématome extradural est la préoccupation majeure de tout neurochirurgien dans la surveillance immédiate de tout traumatisme crânien.

Laissé à lui-même, il peut évoluer vers la mort. Le cerveau finit par être comprimé par l'accumulation de sang qui résulte de la rupture, entre autres, de l'artère méningée moyenne ; cette artère sillonne le périoste du crâne et se rompt par traumatisme. Cette compression conduit, à terme, à un engagement temporal ou cérébelleux avec comme conséquence une compression du tronc cérébral[1] où se trouve le centre respiratoire.

Diagnostic positif

Clinique

Le cas décrit, le plus fréquent, est celui d’un hématome extradural temporopariétal isolé chez un jeune adulte. Sur les lieux de l’accident, l'interrogatoire permet de trouver la notion de traumatisme crânien d’intensité moyenne, ayant entraîné une perte de connaissance brève dans un contexte d'accident de la voie publique, de chute, de plaie par balle…

L'examen clinique rapide de la région de l’impact retrouve parfois une plaie, une ecchymose rétroauriculaire, un hématome, une douleur à la pression, ainsi que des lésions en rapport avec un traumatisme de la base du crâne tel un hématome en lunette, une rhinorrhée, une épistaxis, une otorrhée, une otorragie voire un hémotympan (visible à l'otoscope). L'examen clinique général notamment sur le plan neurologique évalue le score de Glasgow, la motricité et sensibilité ainsi que les réflexes, la recherche d'un signe de Babinski, une auscultation des artères carotidiennes (dissection lors des traumatismes de la face), les réflexes pupillaires, une amputation du champ visuel. Le reste de l'examen clinique recherche d'autres lésions dues au traumatisme[2].

Durant la phase d’état, à 24 heures du traumatisme crânien, peut survenir une altération de l’état de conscience qui peut mener au coma. On note des signes de focalisation : déficit moteur controlatéral au point d’impact, une mydriase tardive homolatérale. En phase d’état, plus aucun examen clinique n’est nécessaire. Le patient est admis au bloc en urgence pour un geste de décompression. Les examens paracliniques sont pratiqués seulement dans les formes de diagnostic difficile ou avant la phase d’état.

Paraclinique

Systématique

L'examen de référence réalisé en urgence devant un traumatisme crânien est une tomodensitométrie cérébrale et médullaire sans injection de produit de contraste[3] : en effet, tout traumatisé crânien est un traumatisé du rachis jusqu'à preuve radiologique du contraire.

La tomodensitométrie cérébrale sans injection de produit de contraste confirme le diagnostic et permet de noter des :

  1. Signes directs : hyperdensité spontanée en lentille biconvexe[2]. Elle précise les caractéristiques de l’hématome : siège, étendue, retentissement de l'hématome sur le cerveau. (effet de masse sur les ventricules) ;
  2. Signes indirects : refoulement d’un ventricule[2], déplacement d’un plexus choroïde, déplacement de la ligne médiane ;
  3. Lésions associées[2] : hypodensité piqueté de flaques hémorragique hyperdenses : attrition sous-jacente, un corps étranger.

Non systématique

La angiotomodensitométrie (donc avec injection de produit de contraste) des troncs supra-aortiques et des vaisseaux intracrâniens est recommandé[3] chez les patients présentant un des facteurs de risque suivant :

  • présence d'une fracture du rachis cervical ;
  • examen neurologique avec déficit neurologique focal non expliqué par l'imagerie cérébrale ;
  • syndrome de Claude Bernard Horner ;
  • fractures faciales Lefort II ou III ;
  • fractures de la base du crâne ;
  • lésions des tissus mous au niveau du cou.

L'objectif de l'angiotomodensitométrie sera de rechercher une dissection artérielle ou un anévrisme post-traumatique.

Les radiographies du crâne de face et de profil peuvent être normales ou mettre en évidence un trait de fracture croisant le trajet de l’artère méningée moyenne. Elles ne sont pas recommandées.

L'imagerie par résonance magnétique cérébrale, chez un patient en état stable, est contributive pour certaines lésions : cisaillement, atteinte de la fosse postérieure.

L'angiographie carotidienne est réalisée dans les cas de dissection artérielle intra- ou extracrânienne, fistule carotidocaverneuse, anévrisme post-traumatique.

La mesure de la pression intracrânienne a l'intérêt de permettre la surveillance, c’est un facteur d’indication chirurgicale et permet le drainage contrôlé du liquide cérébrospinal.

Diagnostic différentiel

  • Hématome sous-dural
  • Hémorragie intracrânienne
  • Hémorragie méningée : l'hémorragie méningée se différencie de l'hématome extradural essentiellement par l'absence de traumatisme crânien et, par la clinique qui se caractérise plutôt par une céphalée brutale accompagnée d'un syndrome méningé[2].
  • Thrombose carotidienne
  • Choc hypovolémique par lésions associées
  • Coma métabolique

Formes cliniques

Symptomatiques

  • Formes où manque l’intervalle libre : coma d’emblée avec ou sans signes focaux, obnubilation post-traumatique persistante ;
  • Formes selon le délai de survenue : certains hématomes extraduraux se révèlent dans les 2 à 3 jours, voire 15 jours ;
  • Découverte fortuite : urgence chirurgicale de bon pronostic.

Topographiques

  • Hématome extradural frontal : mieux toléré, d’évolution subaiguë ; donne un syndrome confusionnel, une hémorragie intracrânienne ;
  • Hématome extradural temporal : il est volumineux parce que la lésion intéresse le tronc de l’artère méningée moyenne. L’intervalle libre est court. L’engagement temporal est rapide d’où un pronostic sombre ;
  • Hématome extradural du vertex : rares. Les lésions sont veineuses, sinusiennes le plus souvent. Elles évoluent sur un mode subaigu ;
  • Hématome extradural de la fosse postérieure : la fracture de l’écaille occipitale croise le sinus latéral sur la radio du crâne. Son installation très brutale donne un tableau dramatique : coma, hypertension intracrânienne majeure puis enfin engagement du tronc cérébral.

Selon le terrain

Chez l’enfant, l’intervalle libre est souvent très court et le trait de fracture peut manquer. La tachycardie remplace la bradycardie, liée à l’hypertension intracrânienne. Un collapsus peut se voir chez le nourrisson. L’IRM a un intérêt particulier.

Chez la personne âgée, la pathologie est rare à cause de l’adhérence dure mère/os. Une association avec d’autres lésions cérébrales est possible. Chez l’éthylique, il faut savoir évoquer le diagnostic systématiquement même devant des troubles de la conscience dont l'origine alcoolique ne fait pas de doute.

Conduite à tenir devant le patient traumatisé

Outre l'examen minutieux dès les premiers instants qui suivent le traumatisme, il est impératif de maintenir des fonctions vitales, réanimation si nécessaire, d'immobiliser le rachis cervical par un collier cervical et d'organiser un transport médicalisé vers une structure hospitalière.

Après un intervalle libre de 4 à 6 heures, le chirurgien peut compléter la mise en condition du blessé et l’examen clinique si l’état du patient le permet. Le score de Glasgow permet de définir 3 catégories de patient :

  • Glasgow ≤ 8 ou détérioration rapide de l’état de conscience, il faut alors : procéder à une intubation trachéale, assurer une ventilation artificielle, évacuer l’hématome extradural ;
  • 9 < Glasgow < 13 : TDM, surveillance mis sortant après amélioration et prévenu de la nécessité de se faire examiner si apparaissent les signes suivant ;
  • Glasgow ≥ 14 : TDM si perte de connaissance, surveillance 24 heures puis mis sortant, prévenu de la nécessité de se faire examiner si apparaissent des signes d’alarme.

Une triple surveillance est mise en place, sur les critères suivants :

  1. clinique, à la recherche de céphalées, nausées ou vomissements, une somnolence, un ralentissement moteur et idéatoire progressif, des signes discrets de focalisation controlatéraux au point d’impact, une instabilité végétative ;
  2. tomodensitométrique ;
  3. de la pression intracrânienne.

Toute nouvelle anomalie de ces éléments contraint de revoir la procédure de prise en charge.

Traitement

Buts

  • C'est la décompression des structures intracrâniennes repoussées par l'hématome.
  • C’est un traitement chirurgical encadré par la réanimation.

Moyens

Trou de trépan ou craniectomie par volet centré sur le trait de fracture assure l’évacuation de l’hématome. Ensuite on assure l’hémostase de l’artère ;
La plastie d’une brèche est réalisée ;
Il faut contrôler le saignement osseux à la cire ;
On procède à la suspension ;
Drainage puis fermeture terminent l’intervention.
  • Médicaux
Contrôle des troubles neurovégétatifs : ventilation, équilibre hydroélectrolytique,
Lutte contre l’hypertension intracrânienne,
Prévention des convulsions.

Indications

  • Le trou de trépan pour les formes évoluées de diagnostic évident engageant le pronostic vital ;
  • Le volet en milieu neurochirurgical : ailleurs ;
  • La réanimation intensive est indispensable en cas d’engagement cérébral ;
  • L’équilibre hydroélectrolytique est primordial chez le nourrisson.

Notes et références

  1. 1 2 hématome extra-dural Université de Rennes
  2. 1 2 3 4 5 Évaluation de la gravité et recherche des complications précoces chez un traumatisé cranio-facial Référentiel National – Collège des Enseignants de Neurologie, Université de Rouen, 30 août 2002
  3. 1 2 « Prise en charge des traumatisés crâniens graves à la phase précoce (24 premières heures) - La SFAR », sur Société Française d’Anesthésie et de Réanimation, (consulté le )
  • icône décorative Portail de la médecine