Gyrus cingulaire

| Nom latin |
Gyrus cinguli |
|---|---|
| MeSH |
D006179 |
| TA98 |
A14.1.09.231 |
| TA2 |
5513 |
| FMA |
62434 |
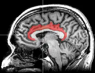
Le gyrus cingulaire est un gyrus du lobe limbique du cortex cérébral. Il est situé sur la face médiale des hémisphères, au-dessus du corps calleux. Au-dessus, il est séparé du gyrus frontal supérieur par le sillon cingulaire et du précuneus par le sillon sous-pariétal. En dessous, sa limite est le sillon du corps calleux. Au niveau du splénium du corps calleux, le gyrus cingulaire se rétrécit dans l'isthme qui se poursuit par le gyrus parahippocampique[1].
En latin, cingulum signifie « ceinture » (Gaffiot).
L'ensemble gyrus cingulaire, gyrus parahippocampique et diverses formations olfactives forment un anneau presque fermé qui s'appelle gyrus fornicatus (en latin, fornicatus signifie « voûté, cintré »).
![]() |
![]() |
| Gyrus de la face médiale | Coupe coronale |
Le cortex cingulaire est une structure hétérogène, qui peut être divisée en plusieurs parties différentes quand on prend en compte la cytoarchitecture, les connexions et les fonctions.
La division du cortex cingulaire en deux parties, l'antérieure et la postérieure, a été proposée par Korbinian Brodmann en 1909 sur la base d'une différence anatomique et en ignorant les fonctions de ces régions. Ce n'est qu'un siècle plus tard, grâce à la neuroimagerie, que l'on commence à localiser les réponses fonctionnelles. Mais ces études ne permettent pas de tirer des conclusions sur les bases cytoarchitecturales des observations fonctionnelles et la division binaire de Brodmann continuant à être prise à la lettre, il en est résulté une profusion incohérente de dénominations des divisions [2].
Les deux divisions principales sont classiquement désignées [3] :
- le cortex cingulaire antérieur CCA, qui consiste dans les aires de Brodmann 24 et 25,
- le cortex cingulaire postérieur CCP, qui consiste dans les aires de Brodman 29, 30, 23, et 31, assure des fonctions « évaluatives ». Parfois la région retrospleniale formée des aires 29 et 30 est considérée à part.
Vogt[4] (1993) a proposé une nouvelle division en quatre parties :
- le cortex cingulaire antérieur, CCA
- le cortex cingulaire moyen, CCM
- le cortex cingulaire retrosplenial, CRS
- le cortex cingulaire postérieur, CCP
On peut diviser le gyrus cingulaire en quatre grandes parties, chacune d'elles accomplissant des tâches spécifiques. Le cortex cingulaire antérieur (CCA) occupe ainsi un rôle dans les états affectifs alors que le cortex cingulaire moyen (CCM) intervient dans le choix des réponses. Le cortex cingulaire postérieur (CCP), quant à lui, tient une place dans la fonction mémorielle. Enfin, le cortex cingulaire rétrospinal (CCR), participe au traitement des informations visuo-spatiales.
L'ancien "cortex cingulaire antérieur" est maintenant divisé en cortex cingulaire antérieur et moyen et l'ancien "cortex cingulaire postérieur", maintenant nommé gyrus cingulaire postérieur est divisé en cortex cingulaire postérieur et retrosplenial.
Certains chercheurs continuent à utiliser la division bipartie mais la plupart ont adopté la division quadripartie, aux risques de confusion entre les valeurs ancienne et nouvelle de CCA et CCP.

| Divisions anciennes et nouvelles du cortex cingulaire | |||
| Anciennes divisions | Sous-divisions | Aires de Brodmann | Divisions de Vogt |
| CCA | CCAretro-ventral | 24, 25, 32, (33) | CCA |
| CCAd (dorsal) | 24', 32' | CCM | |
| CCP | CCPd (dorsal) | 23, 31 | CCP |
| CCPv (ventral) | 29, 30 | CRS retrosplenial | |
Vogt résume les corrélations fonctionnelles des quatre régions cingulaires ainsi :
- le CCA périgénual est impliqué dans les affects
- le CCM dans la sélection des réponses
- le CCP dans le traitement visuo-spatial
- le CRS dans l'accès aux souvenirs
Article connexe
Notes et références
- ↑ Olivier Houdé, Bernard Mazoyer, Nathalie Tzourio-Mazoyet, Cerveau et psychologie Introduction à l'imagerie cérébrale anatomique et fonctionnelle, puf, .
- ↑ Brent A. Vogt (Editor), Cingulate Neurobiology and Disease, Oxford University Press, , 720 p..
- ↑ Brent A. Vogt, David M. Finch and Carl R. Olson, « Functional Heterogeneity in Cingulate Cortex: The Anterior Executive and Posterior Evaluative Regions », Cereb. Cortex, vol. 2, no 6, , p. 435-443 (lire en ligne).
- ↑ Brent A. Vogt, « Structural organization of cingulate cortex: Areas, neurons, and somatodendritic transmitter receptors. », In Neurobiology of Cingulate Cortex and Limbic Thalamus (B. A. Vogt and M. Gabriel, Eds.), pp. 19-70. Birkhäuser, .
- Portail des neurosciences
- Portail de la médecine
- Portail de l’anatomie

