Gliome
| Médicament | 4,4'-(1,3-propanediylbis(oxy))bis-benzoic acid (d) |
|---|---|
| Spécialité | Oncologie |
| CIM-10 | C71 |
|---|---|
| CIM-9 | 191 |
| ICD-O | M9380/3-9460/3 |
| DiseasesDB | 31468 |
| MeSH | D005910 |
Mise en garde médicale
Les gliomes ou tumeurs gliales sont l'ensemble des tumeurs cérébrales, bénignes ou malignes, issues du tissu de soutien neuronal ou glie. Ce sont des tumeurs rares, dont le pronostic, extrêmement variable, est principalement lié à plusieurs facteurs parmi lesquels la localisation, la taille, le degré d'extension ou certains facteurs immunitaires[1]. Elles justifient toujours une prise en charge dans un service spécialisé afin d'adapter au mieux le projet de soins à la situation du patient. Selon l'IARC/OMS, l'utilisation fréquente du téléphone portable en est l'une des causes potentielles.
Épidémiologie et prévention
Incidence
Ces cancers sont rares mais représentent environ la moitié des tumeurs primitives du cerveau[2], le glioblastome étant la forme la plus commune. Dans le monde en 2018, il y a eu environ 300 000 cas incidents et 241 000 décès dus à des cancers du cerveau et d'autres cancers du système nerveux. La majorité (80 %) des tumeurs cérébrales malignes sont des gliomes[3].
Leur incidence est environ de 5 cas pour 100 000 habitants.
Le pic de fréquence se situe entre 50 et 60 ans. Ces tumeurs sont la troisième cause de mortalité par cancer chez l’adulte jeune. Chez l'enfant, il s'agit du deuxième cancer le plus fréquent (derrière la leucémie).[réf. nécessaire]
Causes
Champs électromagnétiques (téléphone portable…)
Une méta-étude du rôle de ces champs, notamment induits par l'utilisation des téléphones mobiles identifie une augmentation significative du risque de gliome après dix ans d'expositions[4], ces résultats ont été confirmés[5].
Un risque de névrome acoustique est aussi identifié[6].
En 2011, l'IARC et l'OMS ont pour ces raisons, sur la base des travaux menés en Suède par l'équipe de Harding[6],[7],[8],[9],[10],[11],[12],[13], dont une étude concluant que les standards courants de protection contre les microondes émis par les téléphones mobiles ne sont pas sûrs pour la santé en cas d'exposition fréquente et à long terme, et qu'ils doivent être revus[14] et sur la base d'une étude de l'IARC (Interphone study)[15], classé l'utilisation du téléphone portable ou sans fil comme cancérigène du groupe 2B (cancérigène possible pour l'Homme), de même pour les stations de base (antennes-relais), et les ondes Wi-Fi[16].
Rayonnements ionisant
Le rôle des rayonnements ionisant est mieux établi.
Le risque principal étant la radiothérapie cérébrale[17], l'imagerie (scanner cérébral) induisant une augmentation de risque très faible de développer une tumeur cérébrale[18].
Facteurs génétiques
Ces tumeurs peuvent entrer dans le cadre de certaines maladies rares d'origine génétique comme la neurofibromatose de type I ou de type II mais ces situations restent rares. En dehors de ces syndromes, une susceptibilité génétique est retrouvée[19] dont des mutations sur les gènes CDKN2B, RTEL1[20]; TERT, CCDC26 et PHLDB1[19]. Les gliomes malins sont plus fréquents chez l'homme que chez la femme[21]. La présence d'une maladie allergique serait protectrice avec une incidence moindre des gliomes[22].
Toxoplasma gondii
Une étude publiée en janvier 2021 suggère un lien entre l'infection à Toxoplasma gondii (T. gondii), une espèce de parasites intracellulaires appartenant au phylum des Apicomplexa, et le risque de gliome. Le rapport, publié dans l'International Journal of Cancer, constate que les personnes atteintes de gliome sont plus susceptibles d'avoir des anticorps contre T. gondii (indiquant qu'elles ont déjà eu une infection) qu'un groupe similaire sans cancer. Toutefois, précise un des auteurs de l'étude, « cela ne signifie pas que T. gondii provoque définitivement un gliome dans toutes les situations. Certaines personnes atteintes de gliome n'ont pas d'anticorps contre T. gondii, et vice versa[3]. »
Agriculture
Plusieurs études ont montré que les agriculteurs ont un taux de gliomes plus élevés que la population générale. Dans une méta-analyse de 2021, 40 des 52 études retenues depuis 1998 ont rapporté une association positive entre l'agriculture et les tumeurs cérébrales, dont 80% sont des gliomes, avec des risques estimés entre 1.03 et 6.53. L'élevage animal était associé à un risque plus élevé par rapport aux cultures végétales. Les agriculteurs ayant eu une exposition documentée aux pesticides, avaient un risque augmenté de 20% de tumeurs cérébrales[23].
L'étude TRACTOR, publiée en 2022, et incluant 1017 tumeurs cérébrales chez 1 036 069 agriculteurs, a montré une augmentation du risque de gliome dans les activités d'élevage de cochons (HR = 2.28), la culture céréalière (HR = 1.28) et l'arboriculture fruiticole (HR = 1.72)[24]
Anatomopathologie
Le caractère bénin ou malin des tumeurs du système nerveux central n’a pas de véritable signification. Elles mettent toutes en jeu le pronostic vital, principalement en fonction de leur localisation. Cela dit, les tumeurs bénignes sont généralement curables quand la chirurgie d'exérèse est possible alors que les versions malignes sont souvent synonyme de récidives et peuvent se déplacer à un autre endroit dans le système nerveux central, à la manière de métastases.
Stadification
Le but de la classification anatomo-pathologique des gliomes est de définir leur type histologique (astrocytaire, oligodendrogliome ou mixte) et leur grade afin de proposer la prise en charge la plus adaptée[25]. Il existe plusieurs classifications anatomo-pathologiques des tumeurs gliales. Celle de l'OMS, mise à jour en 2007[26] est la classification internationalement reconnue, mais pose un problème de reproductibilité[27]. Elle ne prend notamment pas en compte l'hétérogénéité tumorale et ne fait pas de distinction entre les cellules tumorales et le parenchyme résiduel infiltré. Or les tumeurs gliales sont des lésions extrêmement inhomogènes. Il est possible de trouver plusieurs grades évolutifs au sein d'une même lésion, et parfois une simple biopsie ne suffit pas pour retrouver le grade le plus élevé. La classification française de Sainte-Anne a une meilleure reproductibilité, car elle intègre des données cliniques et de l'imagerie en prenant compte des résultats de l'exploration par IRM, ce qui permet de voir les signes de nécroses et de néo-vascularisation, spécifiques des tumeurs de haut grade.
La stadification peut être aidée par une analyse chromosomique ou génétique. Ainsi certaines translocations ou délétions décelées dans les cellules tumorales se voient plus fréquemment sur certains types de tumeurs et peuvent influencer le pronostic. La mutation de certains gènes ont également une valeur diagnostique et pronostique.
Classification des tumeurs gliales (OMS)
Il s’agit d’une classification purement histologique, difficilement reproductible.
- Grade I
- Astrocytome pilocytique curable par chirurgie
- Épendymome myxopapillaire
- Grade II
- Oligoastrocytome de deux types de cellules : astrocytes et oligodendrocytes
- Oligodendrogliome, tumeur infiltrante bien différenciée
- Astrocytome diffus, tumeur de l’adulte jeune, évolution lente vers astrocytome anaplasique puis glioblastome multiforme
- Épendymomes[réf. nécessaire]
- Grade III Gliomes malins
- Oligodendrogliome anaplasique
- Oligoastrocytome anaplasique
- Astrocytome anaplasique, anaplasie focale ou diffuse
- Épendymome anaplasique, plus souvent situés au niveau de l'encéphale chez les enfants et les adolescents, alors que ceux des adultes sont le plus souvent situés dans la moelle spinale (médullaires).
- Grade IV
- Glioblastome multiforme (néovascularisation, nécrose, évolution rapidement péjorative)
Classification de Sainte-Anne
La classification de l'Hôpital Sainte-Anne est fréquemment utilisée en France. Elle repose sur l'examen anatomo-pathologique mais aussi sur l'analyse des images IRM[28].
- Oligodendrogiomes et oligoastrocytomes de grade A : Absence d’hyperplasies endothéliales et de prise de contraste
- Oligodendrogiomes et oligoastrocytomes de grade B : Hyperplasies et/ou prise de contraste
- Glioblastomes
Diagnostic
Clinique
C'est celle des tumeurs cérébrales. Les céphalées sont fréquentes, d'aggravation progressive, souvent unilatérale. L'apparition de maux de tête chez une personne de plus de 50 ans qui n'en s'est jamais plaint auparavant doit conduire à un examen plus approfondi.
Il peut exister des troubles de la vigilance, des modifications du comportement, une comitialité. Suivant la localisation, on peut retrouver un déficit moteur ou visuel.
Exploration
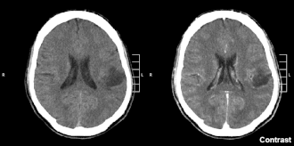
L'imagerie par résonance magnétique (IRM) est l'examen de référence, plus sensible et spécifique que le scanner crânien pour les tumeurs cérébrales[29], les séquences T2 et Flair permettent d’évaluer au mieux l’extension de la tumeur et de l’œdème péri tumoral (envahie par les cellules tumorales le plus souvent). L'image caractéristique est une masse fixant le gadolinium (produit de contraste pour l'IRM) avec une nécrose centrale et un œdème péritumoral.
Facteurs pronostiques
Les facteurs pronostiques sont très discriminants, la survie à deux ans est corrélée à l’histologie (Grade OMS ou classification de Sainte-Anne), l’âge, la qualité de l'exérèse et l’état général. Les taux de survie sont des valeurs moyennes qui doivent être lues de façon prudente pour chaque cas. Certains traitements récents laissent envisager une amélioration de ces taux de survie.
Survie en fonction du grade OMS :
- Grade I : les tumeurs de grade I peuvent être curables par la chirurgie ;
- Grade II : les astrocytomes diffus ou oligodendrogliomes évoluent en 7-8 ans en tumeurs anaplasiques ;
- Grade III : les tumeurs gliales anaplasiques sont d'évolution spontanément mortelle en 2 à 4 ans ;
- Grade IV : le glioblastome multiforme est rarement curable. La survie moyenne est de 6 mois à 2 ans de survie en fonction des traitements réalisables.
Survie à deux ans en fonction du type histologique :
- glioblastome : 9 % ;
- astrocytomes anaplasiques : 31 % ;
- autres : 52 %.
Survie à deux ans en fonction de l'âge du patient au diagnostic :
- moins de 40 ans : 50 % ;
- de 41 à 59 ans : 14 % ;
- plus de 60 ans : 4 %.
Survie en fonction de la nature du geste chirurgical :
- biopsie seule : 36 % ;
- chirurgie incomplète : 40 % ;
- chirurgie complète : 50 %.
Traitement
Le traitement des tumeurs gliales est complexe et fait appel a de nombreuses spécialités médicales et chirurgicales. La prise en charge doit au mieux être entreprise dans un service spécialisé. Compte tenu du pronostic sévère de certaines tumeurs, la qualité de vie doit en permanence être bien évaluée et l'agressivité des traitements mesurés en regard de leur efficacité.
Le traitement symptomatique repose sur les corticoïdes (réduction de l'œdème) et les anticonvulsivants en cas d'épilepsie.
Celui des glioblastomes repose sur une exérèse chirurgicale la plus complète possible, la radiothérapie et la chimiothérapie.
Celui des autres gliomes malins repose également sur l'exérèse chirurgicale la plus large possible couplée à une radiothérapie. Les oligodendrogliome anaplastique semblent sensible à une chimiothérapie comportant procarbazine, lomustine et vincristine[30], mais aussi à la témozolomide[31].
La prise en charge des gliomes dites de « bas grade » (grade II de l'OMS) a fait l'objet de la publication de recommandations par l’European federation of Neurogical Societies datant de 2010[32]. Ces tumeurs peuvent croître lentement[33] et passer en anaplasie secondairement. La durée d'évolution peut ainsi dépasser 10 ans. Les oligodendrogliomes semblent être de meilleur pronostic que les astrocytomes de grade II[34]. L'exérèse chirurgicale permet d'allonger substantiellement l'évolution et de diminuer les conséquences de la tumeur (comitialité)[35]. La radiothérapie, faite précocement après la chirurgie, allonge le délai avant la récidive mais ne diminue pas la mortalité par rapport à une radiothérapie plus tardive, débutée une fois la récidive tumorale présente[36]. La chimiothérapie peut également jouer un rôle.
La recherche s'oriente également vers une molécule, un peptide qui ciblerait la tubuline et détruirait les glioblastomes in vitro[37].
Notes et références
- ↑ Une étude sur le modèle murin a montré des mécanismes immunitaires expliquant pourquoi les tumeurs de gliome ayant un gène IDH1 muté sont moins agressives que celles sans mutation de ce gène : Amankulor ND (2017), Mutant IDH1 regulates the tumor-associated immune system in gliomas ; Advance, 2 mai 2017, doi: 10.1101/gad.294991.116 Genes & Dev. 2017. résumé
- ↑ (en) Ricard D, Idbaih A, Ducray F, Lahutte M, Hoang-Xuan K, Delattre JH, Primary brain tumours in adults, Lancet, 2012;379:1984-1996
- 1 2 (en) Study identifies exposure to common food-borne pathogen linked to rare brain cancer, sciencedaily.com, 11 janvier 2021
- ↑ Yang M, Guo W, Yang C, Tang J, Huang Q, Feng S, et al. (2017) Mobile phone use and glioma risk: A systematic review and meta-analysis. PLoS ONE 12(5): e0175136., 4 mai 2017
- ↑ « Prof. Lennart Hardell in Tallinn, 03.06.2019 » (consulté le )
- 1 2 (en) Lennart Hardell, Michael Carlberg et Kjell Hansson Mild, « Use of mobile phones and cordless phones is associated with increased risk for glioma and acoustic neuroma », Pathophysiology, vol. 20, no 2, , p. 85–110 (DOI 10.1016/j.pathophys.2012.11.001, lire en ligne, consulté le ).
- ↑ Hardell, « Mobile phones, cordless phones and the risk for brain tumours », International Journal of Oncology, vol. 35, no 01, (DOI 10.3892/ijo_00000307, lire en ligne, consulté le )
- ↑ (en) Vini G. Khurana, Charles Teo, Michael Kundi et Lennart Hardell, « Cell phones and brain tumors: a review including the long-term epidemiologic data », Surgical Neurology, vol. 72, no 3, , p. 205–214 (DOI 10.1016/j.surneu.2009.01.019, lire en ligne, consulté le )
- ↑ (en) L. Hardell, M. Carlberg et K. Hansson Mild, « Re-analysis of risk for glioma in relation to mobile telephone use: comparison with the results of the Interphone international case-control study », International Journal of Epidemiology, vol. 40, no 4, , p. 1126–1128 (ISSN 0300-5771 et 1464-3685, DOI 10.1093/ije/dyq246, lire en ligne, consulté le )
- ↑ (en) Lennart Hardell et Cindy Sage, « Biological effects from electromagnetic field exposure and public exposure standards », Biomedicine & Pharmacotherapy, vol. 62, no 2, , p. 104–109 (DOI 10.1016/j.biopha.2007.12.004, lire en ligne, consulté le )
- ↑ (en) L. Hardell, M. Carlberg, F. Soderqvist et K. H. Mild, « Long-term use of cellular phones and brain tumours: increased risk associated with use for >=10 years », Occupational and Environmental Medicine, vol. 64, no 9, , p. 626–632 (ISSN 1351-0711, PMID 17409179, PMCID PMC2092574, DOI 10.1136/oem.2006.029751, lire en ligne, consulté le )
- ↑ (en) Lennart Hardell, Michael Carlberg, Fredrik Söderqvist et Kjell Hansson Mild, « Case-control study of the association between malignant brain tumours diagnosed between 2007 and 2009 and mobile and cordless phone use », International Journal of Oncology, vol. 43, no 6, , p. 1833–1845 (ISSN 1019-6439 et 1791-2423, PMID 24064953, PMCID PMC3834325, DOI 10.3892/ijo.2013.2111, lire en ligne, consulté le )
- ↑ (en) Michael Carlberg et Lennart Hardell, « Evaluation of Mobile Phone and Cordless Phone Use and Glioma Risk Using the Bradford Hill Viewpoints from 1965 on Association or Causation », BioMed Research International, vol. 2017, , p. 1–17 (ISSN 2314-6133 et 2314-6141, PMID 28401165, PMCID PMC5376454, DOI 10.1155/2017/9218486, lire en ligne, consulté le )
- ↑ (en) Lennart Hardell, Michael Carlberg et Kjell Hansson Mild, « Epidemiological evidence for an association between use of wireless phones and tumor diseases », Pathophysiology, vol. 16, nos 2-3, , p. 113–122 (DOI 10.1016/j.pathophys.2009.01.003, lire en ligne, consulté le )
- ↑ Wild, C. (2011). IARC report to the Union for International Cancer Control (UICC) on the interphone study.|URL=https://inis.iaea.org/search/search.aspx?orig_q=RN:43095259
- ↑ Le CIRC classe les champs électromagnétiques de radiofréquences comme « peut-être cancérogènes pour l'homme ». - Communiqué de presse de l'OMS/CIRC, 31 mai 2011 [PDF]
- ↑ Bondy ML, Scheurer ME, Malmer B et al. Brain Tumor Epidemiology Consortium. Brain tumor epidemiology: consensus from the Brain Tumor Epidemiology Consortium, Cancer, 2008;113:1953-1968
- ↑ Pearce MS, Salotti JA, Little MP et al. Radiation exposure from CT scans in childhood and subsequent risk of leukaemia and brain tumours: a retrospective cohort study, Lancet, 2012;380:499-505
- 1 2 (en) S. Shete, FJ Hosking, LB Robertson et al., « Genome-wide association study identifies five susceptibility loci for glioma », Nat Genet, no 1, , p3899-904 (lire en ligne).
- ↑ (en) Wrensch M, Jenkins RB, Chang JS et al. « Variants in the CDKN2B and RTEL1 regions are associated with high-grade glioma susceptibility » Nat Genet. 2009;41:905-908
- ↑ (en) Omuro A, DeAngelis LM, « Glioblastoma and other malignant gliomas, a clinical review », JAMA, 2013;310:1842-1850
- ↑ (en) Linos E, Raine T, Alonso A, Michaud D, « Atopy and risk of brain tumors: a meta-analysis » J Natl Cancer Inst. 2007;99:1544-1550
- ↑ Nicole M. Gatto, Pamela Ogata et Brittany Lytle, « Farming, Pesticides, and Brain Cancer: A 20-Year Updated Systematic Literature Review and Meta-Analysis », Cancers, vol. 13, no 17, , p. 4477 (ISSN 2072-6694, PMID 34503287, PMCID 8431399, DOI 10.3390/cancers13174477, lire en ligne, consulté le )
- ↑ Pascal Petit, Gérald Gandon, Stéphan Chabardès et Vincent Bonneterre, « Agricultural activities and risk of central nervous system tumors among French farm managers: Results from the TRACTOR project », International Journal of Cancer, vol. 151, no 10, , p. 1737–1749 (ISSN 1097-0215, PMID 35781883, PMCID 9796624, DOI 10.1002/ijc.34197, lire en ligne, consulté le )
- ↑ Dominique Figarella-Branger et Corinne Bouvier « Classification anatomopathologique des gliomes : faits et controverses : Les tumeurs gliales [Histological classification of human gliomas : state of art and controversies] » Bulletin du cancer (Bull. cancer) 2005;92(4):301-9. Article complet.
- ↑ (en) Louis DN, Ohgaki H, Wiestler OD, Cavenee WK, Burger PC, Jouvet A, Scheithauer BW, Kleihues P. « The 2007 WHO classification of tumours of the central nervous system » Acta Neuropathol. août 2007;114(2):97-109.
- ↑ (en) MJ van den Bent MJ, « Interobserver variation of the histopathological diagnosis in clinical trials on glioma: a clinician's perspective » Acta Neuropathol. 2010;120:297-304
- ↑ C. Daumas-Duport et al. « Classification des oligodendrogliomes de l'hôpital Sainte-Anne : Mise au point à l'usage des études rétrospectives [Reappraisal of the sainte-anne hospital classification of oligodendrogliomas in view of retro] » Neuro-chirurgie (Neuro-chir.) Congrès : Les oligodendrogliomes cérébraux de l'adulte et de l'enfant [Cerebral oligodendrogliomas of adult and child]. Congrès de la Société de neurochirurgie de langue française No 55, Bello Horizonte, Brésil (22 septembre 2005). 2005, vol. 51, CAH2, no 3-4, p. 247-253. Résumé
- ↑ Bradley WG Jr, Waluch V, Yadley RA, Wycoff RR, Comparison of CT and MR in 400 patients with suspected disease of the brain and cervical spinal cord, Radiology, 1984;152:695-702
- ↑ (en) Cairncross G, Macdonald D, Ludwin S et al. « Chemotherapy for anaplastic oligodendroglioma. National Cancer Institute of Canada Clinical Trials Group » J Clin Oncol. 1994;12:2013-21.
- ↑ (en) van den Bent MJ, Taphoorn MJ, Brandes AA et al. « Phase II study of first-line chemotherapy with temozolomide in recurrent oligodendroglial tumors: the European Organization for Research and Treatment of Cancer Brain Tumor Group Study 26971 » J Clin Oncol. 2003;21:2525-8.
- ↑ (en) Soffietti R, Baumert BG, Bello L et al. « Guidelines on management of low-grade gliomas: report of an EFNS-EANO* Task Force » Eur J Neurol. 2010;17:1124-33.
- ↑ (en) Mandonnet E, Delattre JY, Tanguy ML et al. « Continuous growth of mean tumor diameter in a subset of grade II gliomas » Ann Neurol. 2003;53:524-82.
- ↑ (en) Pignatti F, van den Bent M, Curran D et al. « Prognostic factors for survival in adult patients with cerebral low-grade glioma » J Clin Oncol. 2002;20:2076-84.
- ↑ (en) McGirt MJ, Chaichana KL, Attenello FJ et al. « Extent of surgical resection is independently associated with survival in patients with hemispheric infiltrating low-grade gliomas » Neurosurgery 2008;63:700-7.
- ↑ (en) van den Bent MJ, Afra D, de Witte O et al. « Long-term efficacy of early versus delayed radiotherapy for low-grade astrocytoma and oligodendroglioma in adults: the EORTC 22845 randomised trial » Lancet 2005;366:985-90.
- ↑ (en) Berges R, Balzeau J, Peterson AC, Eyer J. « A tubulin binding peptide targets glioma cells disrupting their microtubules, blocking migration, and inducing apoptosis » Mol Ther. juillet 2012;20(7):1367-77. DOI 10.1038/mt.2012.45
- Portail de la médecine