Gingivite ulcéronécrotique

La gingivite ulcéronécrotique (GUN) est une inflammation destructrice des tissus mous parodontaux, non contagieuse. Les symptômes principaux se caractérisent par de la douleur, des gingivorragies ainsi qu'une ulcération des papilles interdentaires (en). Elle fait partie, avec la parodontite ulcéronécrotique (PUN), du groupe des maladies parodontales nécrosantes.
La douleur gingivale qui caractérise la GUN la distingue de la parodontite chronique, plus courante, qui est rarement douloureuse. Les organismes responsables sont principalement des bactéries anaérobies, en particulier des Fusobacteriota et des espèces de Spirochaetota.
Les facteurs de risque incluent une mauvaise hygiène bucco-dentaire, le tabagisme, une mauvaise alimentation, le stress ou encore un système immunitaire affaibli. Lorsque les attaches des dents à l'os sont touchées, on parle de parodontite ulcéronécrotique (PUN). Le traitement de la GUN consiste en l'élimination des tissus gingivaux morts et l'administration d'antibiotiques, puis en l'amélioration de l'hygiène bucco-dentaire de manière à prévenir les récidives. Bien que l'affection apparaisse rapidement, elle disparaît généralement vite une fois traitée et n'entraîne pas de complications.
Étiologie
La gingivite ulcéronécrotique (GUN) est une conséquence de l'association de facteurs généraux, bactériens et psychologiques. Il existe des facteurs favorisants comme l'accumulation de plaque dentaire, le tabagisme, le stress, la malnutrition ou encore l'immunodépression sévère.
Les bactéries en cause sont des bacilles fusiformes à Gram négatif anaérobies stricts (Prevotella intermedia et Fusobacterium nucleatum), des spirochètes (Treponema sp.) et des Selenomonas sputigena. Des virus tels le cytomégalovirus et celui d'Epstein-Barr seraient également impliqués.
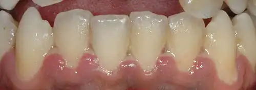
Diagnostic
La gingivite ulcéronécrotique (GUN) se caractérise par des lésions nécrotiques au niveau de la gencive marginale, des zones de nécrose recouvertes d'une pseudomembrane blanc jaunâtre de consistance molle faite de leucocytes et de bactéries (la zone ulcéreuse est sous-jacente). L'ulcère nécrotique commence au sommet de la papille et la sépare en un versant vestibulaire et un lingual. Il y a une gingivorragie spontanée, une halitose fréquente et parfois des adénopathies.
Au début, une seule papille est touchée mais l'atteinte peut s'étendre aux autres papilles avec un lien nécrotique. La nécrose peut s'étendre sur toutes les faces vestibulaires, plus rarement sur les faces linguales ou palatines.
Tant que l'inflammation concerne la gencive, il s'agit d'une GUN. Dès lors que l'os est touché, on parle de parodontite ulcéronécrotique (PUN).
Traitement
Le traitement comprend :
- un détartrage ultrasonique pour retirer plaque et tartre ;
- l'application d'eau oxygénée sur la zone nécrosée pour décoller la pseudomembrane ;
- des bains de bouche à l'eau tiède à base d'eau oxygénée puis de chlorhexidine.
En cas d'atteinte systémique, des antibiotiques oraux comme le métronidazole peuvent être administrés.
Notes et références
Voir aussi
Articles connexes
Liens externes
- « CAT devant une Gingivite ulcéro-nécrotique », www.fmdrabat.ac.ma (consulté le )
- Portail de la médecine