Ganglioneuroblastome
Ganglioneuroblastome
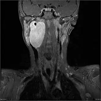
IRM d'un ganglioneuroblastome situé au niveau de la tête et du cou d'un garçon de 7 ans caucasien
| Spécialité | Oncologie |
|---|
| ICD-O | 9490/3 |
|---|---|
| MedlinePlus | 001436 |
| MeSH | D018305 |
Mise en garde médicale
Le ganglioneuroblastome est une variante du neuroblastome entouré par des cellules ganglionnaires.
Il peut être difficile à diagnostiquer[1].
Le ganglioneuroblastome nodulaire peut être divisé par pronostic[2].
Tumeurs neuroblastiques
Il est compris dans le groupe des tumeurs neuroblastiques, qui inclut[3] :
- Ganglioneurome (bénin) ;
- Ganglioneuroblastome (intermédiaire) ;
- Neuroblastome (agressif).
Articles connexes
Notes et références
- (en) Cet article est partiellement ou en totalité issu de l’article de Wikipédia en anglais intitulé « Ganglioneuroblastoma » (voir la liste des auteurs).
- ↑ « Ganglioneuroblastoma of the cerebellum: neuroimaging and pathological features of a case », Arq Neuropsiquiatr, vol. 65, no 2A, , p. 338–40 (PMID 17607440, DOI 10.1590/s0004-282x2007000200029, lire en ligne
) - ↑ « Revision of the International Neuroblastoma Pathology Classification: confirmation of favorable and unfavorable prognostic subsets in ganglioneuroblastoma, nodular », Cancer, vol. 98, no 10, , p. 2274–81 (PMID 14601099, DOI 10.1002/cncr.11773)
- ↑ « Terminology and morphologic criteria of neuroblastic tumors: recommendations by the International Neuroblastoma Pathology Committee », Cancer, vol. 86, no 2, , p. 349–63 (PMID 10421272, DOI 10.1002/(sici)1097-0142(19990715)86:2<349::aid-cncr20>3.0.co;2-y)
Liens externes
- Portail de la médecine