Fracture de l'extrémité supérieure du fémur
| CISP-2 | L75 |
|---|---|
| CIM-10 | S72.0 |
| CIM-9 | 820 |
| eMedicine |
825363 sports/48 |
| MeSH | D006620 |
Mise en garde médicale
Une fracture de l'extrémité supérieure du fémur (ou fracture de l'extrémité proximale du fémur), appelée couramment « fracture de la hanche » ou fracture du col du fémur, désigne une fracture du fémur localisée au niveau de son épiphyse supérieure.
Elles font suite à une chute[1], elles sont douloureuses et responsables d’impotence fonctionnelle. Les contraintes mécaniques tendent à séparer les fragments osseux. Elles sont d’évolution peu favorable du fait de la lésion associée de l’artère circonflexe postérieure.
Épidémiologie

- Faible (< 150 / 100 000)
- Moyen (150-250 / 100 000)
- Élevé (> 250 / 100 000)
Les fractures de l'extrémité proximale du fémur sont fréquentes chez les personnes âgées. Elles sont liées à l'ostéoporose, ce qui explique qu'elles frappent plus précocement et plus fréquemment les femmes que les hommes. Elles surviennent souvent après quatre-vingts ans à l'occasion d'un traumatisme minime, telle une chute de sa hauteur. Parfois aussi, elles sont spontanées et entraînent la chute. Leur gravité vient de la fragilité des patients atteints. Globalement un tiers des patients décède dans l'année suivant l'accident, un tiers devient plus ou moins dépendant et seulement un tiers récupère une fonction normale[3]. Aux États-Unis, l'incidence annuelle chez les femmes de plus de 65 ans est légèrement inférieure à 1 %. Elle est de moitié chez les hommes de la même tranche d'âge. Elle a diminué de près de 20 % depuis 1995[4].
Le taux de mortalité à 1 an après une fracture au niveau de la hanche est de 26,7% aux États-Unis[5].
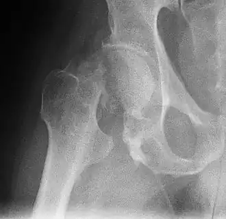
Anatomie
L'extrémité supérieure du fémur comprend le grand trochanter, le petit trochanter, le col du fémur et la tête du fémur. Deux tiers des fractures passent dans le massif des trochanters, un tiers seulement intéresse vraiment le col du fémur.
Fracture du col
Fracture pertrochantérienne
Fractures par coup de feu en dessous des deux trochanters
On classifie les fractures du col du fémur selon la classification de Garden[6]:
- Garden I : fracture engrenée en valgus
- Garden II : fracture sans déplacement
- Garden III : fracture en varus, avec déplacement
- Garden IV : fracture en varus, avec déplacement important et désolidarisation [7]
Diagnostic
Le diagnostic est posé après une chute avec le plus souvent impossibilité de se relever. La jambe fracturée est raccourcie, le pied est tourné vers l'extérieur. Parfois, la fracture est engrenée et le patient peut continuer à marcher pendant plusieurs jours.
Le diagnostic est confirmé par des radiographies de la hanche de face et de profil.
Il existe plusieurs classifications des fractures selon la localisation et selon le déplacement.
Elles se repèrent par la classique triple déformation du membre inférieur qui est en adduction, raccourcie et en rotation externe et on la confirme par un bilan radiographique (bassin et hanche) où l’on peut distinguer :
- deux types via la classification de Pauwels selon l’orientation du trait fracturaire : vertical instable et horizontal stable.
- quatre stades via la classification de Garden selon l’orientation des travées qui bougent avec le déplacement de la tête fémorale : si elles se déplacent vers le haut on parle de valgus (1), ouvrant l’angle cervico diaphysaire ; alors que vers le bas, fermant l’angle cervico diaphysaire on parle de varus (3-4).
Le risque de nécrose augmente avec le déplacement et donc avec le stade de Garden.
Prise en charge

Le traitement n'est pas toujours chirurgical. Les fractures dites stables (Garden I) engrenées peuvent consolider spontanément en suspendant l'appui pendant 6 semaines.
Les fractures du col du fémur non déplacées peuvent être synthétisées par vissage, les fractures déplacées bénéficieront le plus souvent d'un remplacement du col et de la tête du fémur par une prothèse de hanche.
Les fractures du massif des trochanters sont réparées par un matériel d'ostéosynthèse comme une vis plaque.
Le traitement chirurgical précoce évite les complications de décubitus justifiant la thérapeutique anticoagulante systématique. Il est différent selon le stade :
- Conservateur via ostéosynthèse pour les stades 1 et 2 quel que soit l’âge et pour les stades 3 et 4 chez les jeunes patients, le risque est alors la nécrose et la pseudarthrose ;
- Radical, par prothèse, pour les patients âgés aux stades 3 ou 4, le risque est alors la luxation et le désassemblage.
Notes et références
- ↑ Lance C. Brunner, Liza Eshilian-Oates et Tony Y. Kuo, « Hip fractures in adults », American Family Physician, vol. 67, no 3, , p. 537–542 (ISSN 0002-838X, PMID 12588076, lire en ligne, consulté le )
- ↑ J. A. Kanis, A. Odén, E. V. McCloskey et H. Johansson, « A systematic review of hip fracture incidence and probability of fracture worldwide », Osteoporosis International, vol. 23, no 9, , p. 2239–2256 (ISSN 0937-941X, PMID 22419370, PMCID PMC3421108, DOI 10.1007/s00198-012-1964-3, lire en ligne, consulté le )
- ↑ (en) B. Abrahamsen, T. van Staa, R. Ariely, M. Olson, et C. Cooper « Excess mortality following hip fracture: a systematic epidemiological review » Osteoporos Int. 2009 Oct;20(10):1633-50.
- ↑ (en) Brauer CA, Coca-Perraillon M, Cutler DM, Bosen AB, « Incidence and mortality of hip fractures in the United States » JAMA 2009;302:1573-1579
- ↑ (en) Irene Papanicolas, Kristen Riley, Olukorede Abiona et Mina Arvin, « Differences in health outcomes for h igh‐need h igh‐cost patients across h igh‐income countries », Health Services Research, vol. 56, no S3, , p. 1347–1357 (ISSN 0017-9124 et 1475-6773, PMID 34378796, PMCID PMC8579207, DOI 10.1111/1475-6773.13735, lire en ligne, consulté le )
- ↑ R. S. Garden. Obituary. British Medical Journal, vol 285, 11 December 1982, p.1751.
- ↑ U.L.P. - Faculté de Médecine Strasbourg - DCEM1 2004/ 2005 - Module 12B - Appareil Loco-Moteur P. SIMON 17/09/03 Fractures de l'extrémité supérieure du fémur.
- Portail de la médecine