Fracture de Monteggia

Fracture de Monteggia
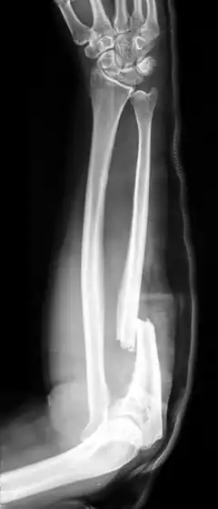
Description de cette image, également commentée ci-après
Radiographie d'une fracture de Monteggia
Traitement
Spécialité Orthopédie et chirurgie orthopédique (d)
Classification et ressources externes
CISP-2 L72
CIM-10 S52.0
CIM-9 813.03, 813.13
eMedicine 1231438
MeSH D009011

Wikipédia ne donne pas de conseils médicaux Mise en garde médicale

La fracture de Monteggia est une fracture osseuse de l'avant-bras sur l'os de l'ulna avec luxation de la tête du radius. Ce traumatisme est dénommé Monteggia en raison de l'étude médicale effectuée par le chirurgien et anatomiste italien Giovanni Battista Monteggia (1762-1815).

Observations

En 1814, Giovanni Battista Monteggia décrit une fracture isolée de l'ulna, mais n'a pas le temps de déceler la luxation de la tête radiale associée, car il meurt d'une infection nosocomiale en 1815. Ce n'est qu'en 1850 que Joseph-François Malgaigne fait la description des deux lésions de la fracture qu'il surnomme « fracture de Monteggia ».

Les causes de la fracture de l'avant-bras sont souvent dues à une chute sur une main tendue à l'avant-bras en pronation excessive, quand la paume est tournée vers l'arrière et le radius se trouve alors devant l'ulna, (lésion hyper-pronation). Selon l'impact et les forces appliquées dans chaque direction, le degré d'absorption de l'énergie détermine ou non l'implication de la tête radiale avec déchirure des ligaments de l'articulation du coude. Le coup direct sur le dos de l'avant-bras supérieur serait une autre cause survenant plus rarement, mais une telle fracture de la diaphyse ulnaire isolée n'est pas une fracture de Monteggia, mais une fracture de l'avant-bras.

Classification

Il y a quatre types (selon le déplacement de la tête radiale) :

  • I - type d'extension (60 %) - diaphyse ulnaire angulaire antérieure (tendu) et dislocation de la tête radiale antérieure.
  • II - Type de flexion (15 %) - diaphyse ulnaire angulaire arrière (fléchit) et de la tête radiale dislocation arrière.
  • III - type latéral (20 %) - diaphyse ulnaire angulaire latéralement (courbé vers l'extérieur) et dislocation de la tête radiale sur le côté.
  • IV - type combiné (5 %) - diaphyse ulnaire et axe radial sont à la fois fracturés et la tête radiale est disloquée, généralement en avant.

Thérapie

L'ostéosynthèse (réduction ouverte et fixation interne) de la diaphyse ulnaire est considérée comme la norme de soins chez les adultes. Elle favorise la stabilité de la dislocation de la tête radiale et permet une mobilisation très tôt pour prévenir les raideurs. L'articulation du coude est particulièrement sensible à la perte de mouvement. Chez les enfants, les résultats d'un traitement précoce sont très bons. Si le diagnostic est tardif, la chirurgie reconstructive est nécessaire et les complications sont beaucoup plus fréquentes avec de moins bons résultats. En général, la fracture de l'ulna est chirurgicalement stabilisée par des plaques métalliques chez les enfants par fixation intra-médullaire pour un positionnement précis, avec une immobilisation plâtrée pendant trois à quatre semaines après l'intervention chirurgicale.

Chez les adultes, la guérison est plus lente et les résultats généralement pas aussi bons que chez l'enfant. Plusieurs interventions chirurgicales peuvent être nécessaires pour corriger ce type de fracture car elle est souvent une fracture très complexe qui nécessite l'intervention d'un chirurgien orthopédiste qualifié, généralement un «spécialiste», familier avec ce type de blessure.

Bibliographie

  • (de) Jacques Duparc, Norbert Gschwend, Roger Lemaire: Chirurgische Techniken in Orthopädie und Traumatologie, Elsevier,Urban&FischerVerlag, 2005, (ISBN 3437225367)
  • Christian Lefèvre, Dominique Le Nen, Frédéric Dubrana, Éric Stindel, Weiguo Hu; « Fractures diaphysaires des deux os de l'avant-bras chez l'adulte » [14-044-A-10]; Encyclopédie médico-chirurgicale ;
  • Bernard Cadot, Hugues Asfazadourian, Christophe Oberlin « Traitement des fractures diaphysaires récentes et anciennes des os de l'avant-bras de l'adulte » [44-342]; Encyclopédie médico-chirurgicale ;
  • Jean-Luc Jouve, Jean-Marc Guillaume, Michel Jacquemier,Gérard Bollini, Philippe Petit « Fractures de l'avant-bras chez l'enfant » [14-045-A-10]; Encyclopédie médico-chirurgicale ;

Liens externes

  • icône décorative Portail de la médecine