Fibrosarcome
| Médicament | Dacarbazine |
|---|---|
| Spécialité | Oncologie |
| CIM-10 | C49 (ILDS C49.M42) |
|---|---|
| ICD-O | M8810/3 |
| MeSH | D005354 |
Mise en garde médicale
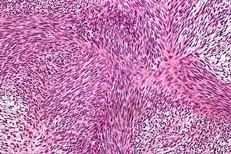
Le fibrosarcome est une prolifération conjonctive maligne caractérisée par une différenciation purement fibroblastique. Les fibrosarcomes se développent dans les tissus mous de l'ensemble du corps.
Caractéristiques

Ils peuvent apparaitre de manière solitaire, aux sites d'injection de vaccins.
Ces derniers - appelés « fibrosarcomes aux sites d'injection » (FSSI) - sont en nette augmentation chez les chats domestiques, depuis le début des années 1990 (par rapport aux fibrosarcomes apparaissant ailleurs qu'aux sites de vaccination), ce qui « a conduit à envisager l’implication éventuelle des injections vaccinales dans la genèse des FSSI »[2], caractérisés - chez le chat domestique vacciné - par un premier pic vers 6-7 ans puis par un second vers 10-11 ans[3], alors que les fibrosarcomes situés hors des sites de vaccination n'apparaissent qu'en moyenne vers 11 ans[4],[5], et ils sont plus agressifs (taux de récidive très supérieur[6]).
Causes
Ces cancers existent chez diverses espèces animales, dont l'espèce humaine et le chat.
Chez l'animal, il existe un cas particulier connu des vétérinaires : le « Complexe fibrosarcome félin » [1], dont l'incidence épidémiologique augmente (plus grand nombre de chats touchés, et chats touchés plus précocement)[1]. Cette augmentation de l’incidence des fibrosarcomes aux sites d’injection semble corrélée à la vaccination antirabique (maintenant obligatoire voir la page 25 et suivantes de la thèse de T-JM Perrot (2005) citée en bibliographie de cet article), et dès 1991, certains auteurs ont soupçonné une implication de l'aluminium utilisé comme adjuvant vaccinal (36). En 1993, une étude épidémiologique (KASS et al) 44) conclut à une corrélation entre l'apparition des fibrosarcomes et les vaccinations utilisant des vaccins inactivés (FeLV et vaccin contre la rage). Grâce aux données collectées par les vétérinaires, on constate que la prévalence de cette pathologie a augmenté entre 1987 et 1991 : la part des fibrosarcomes apparaissant aux sites d’injection a augmenté de 5 % environ chaque année, avec une augmentation majeure de 1987 à 1988[7],[8],[9].
Évolution
Sans traitement approprié et précoce, le pronostic est mortel, via une ou des récidives locales, et la prolifération de métastases à distance.
Voir aussi
Articles connexes
Liens externes
- (fr)
Bibliographie
- (fr) T-JM Perrot(2005), « Complexe fibrosarcome félin : potentiel d'implication des injections vaccinales adjuvées, non adjuvées. Étude préliminaire de deux vaccins », Thèse de doctorat vétérinaire ; école nationale vétérinaire d'Alfort, soutenue le , PDF, 89 pp
Notes et références
- Le Petit Larousse de La Médecine
- Encyclopédie Vulgaris Médical : Fibrosarcome
- 1 2 3 4 Thomas, Jean-Michel Perrot(2005), Complexe fibrosarcome félin : potentiel d'implication des injections vaccinales adjuvées, non adjuvées. Étude préliminaire de deux vaccins, Thèse de doctorat vétérinaire ; école nationale vétérinaire d'Alfort, soutenue le 21 avril 2005, PDF, 89 pp
- ↑ Hendrick MJ, Goldschmidt MH (1991). Do injection site reactions induce fibrosarcoma in cats ? J. Am. Vet. Med. Assoc., 199, 968.
- ↑ Doliger S, Devauchelle P. Données actuelles sur les tumeurs du “complexe fibrosarcome félin ”. Point Vét., 1998, 29 (192), 27-35
- ↑ Doddy FD, Glickman LT, Glickman NW, Janovitz EB. Feline fibrosarcomas at vaccination sites and non-vaccination sites. J. Comp. Path., 1996, 114, 165-174
- ↑ Doliger S, Delisle F, Devauchelle P. Le complexe fibrosarcome du chat: actualités thérapeutiques. Action Vét., 1992, 1233, 17-22
- ↑ Weigand M, Brewer WG. Vaccine-sites sarcomas in cats. Compend. Cont. Educ. Pract. Vet., 1996, 18, 869-875
- ↑ Hendrick MJ, Goldschmidt MH, Shofer FS, Wang YY, Somlyo AP. Postvaccinal sarcomas in the cat : epidemiology and electron probe microanalytical identification of aluminium. Cancer Res., 1992, 52, 5391-5394.
- ↑ Hendrick MJ, Shofer FS, Goldschmidt MH, Havildand JC, Schelling SH, Engler SJ et al. Comparison of fibrosarcomas that developed at vaccination sites and at nonvaccination sites in cats: 239 cases (1991-1992). J. Am. Vet. Med. Assoc., 1994, 205, 1425-1429
- ↑ voir aussi le tableau 1 de la thèse de T-JM Perrot(2005) cité en bibliographie
- Portail de la médecine