Exostose
| Spécialité | Rhumatologie |
|---|
| DiseasesDB | 18621 |
|---|---|
| MeSH | D005096 |
| Patient UK | Diaphyseal-Aclasis |
Mise en garde médicale
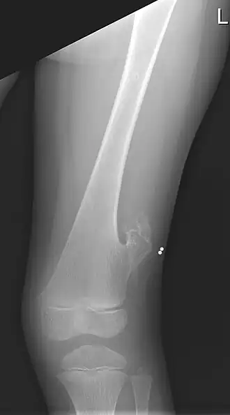
L'exostose est le développement d'un ostéochondrome, une excroissance osseuse bien différenciée qui conduit au développement d'un nouvel os à la surface d'un os. Elle peut être causée par un traumatisme comme un choc, une inflammation ou être d'origine héréditaire. Produite par une coiffe de cartilage germinatif pendant la croissance, c'est la tumeur osseuse bénigne la plus fréquente[1].
On distingue :
- les exostoses sporadiques[1] ;
- la maladie des exostoses multiples, une maladie génétique[2] ;
Une évolution maligne peut survenir dans moins de 1 % des cas d’exostose sporadique et chez 3 % à 5 % des personnes atteintes d'exostoses multiples[1].
Les exostoses peuvent provoquer des douleurs chroniques d'intensité variable, selon la forme, la taille et l'emplacement de la lésion. Les excroissances sont souvent petites comme sur les côtes, mais parfois des excroissances plus grosses peuvent se développer par exemple sur les chevilles, les genoux, les épaules, les coudes et les hanches. Elles peuvent prendre la forme d'éperons, appelés éperons calcanéens (en). Elles sont très rares sur le crâne.
Certaines exostoses peuvent résulter d'une ostéomyélite, une infection osseuse. Le « pied de Charcot », une dégradation neuropathique des pieds (en) observée principalement chez les diabétiques, peut également produire des éperons osseux qui peuvent alors devenir symptomatiques.
Ils se forment généralement sur les os des articulations et peuvent se développer vers le haut. Par exemple, si un éperon calcanéen se forme sur la cheville, il peut se développer jusqu'au tibia.
Description
L'ostéochondrome est un excroissance osseuse bien identifiable mais disposée en continuité parfaite avec l'os porteur. Elle peut toutefois inclure des résidus cartilagineux plus ou moins calcifiés[1].
Typologie
Selon l'implantation des exostoses, on distingue :
- ostéochondromes :
- l'exostose buccale (en) ;
- la cheville de footballeur (en) (exostose de l'os de la cheville) ;
- l’« exostose du surfeur », qui affecte le conduit auditif des personnes pratiquent des sports nautiques en eau froide[3] ;
- le torus mandibulaire ;
- le torus palatinus.
- autres ossifications de surface :
- l'exostose subunguéale ;
- ossifications parostéales atypiques[4].
Maladies héréditaires
- Maladie des exostoses multiples ou exostoses multiples héréditaires (EMH)[5],[6]
Ostéophytes
Les ostéophytes sont des éperons osseux qui se développent sur les bords des articulations quand l'os a été stressé ou le cartilage s'est désagrégé, sous l'effet notamment d'une arthrose[7]. Ceux-ci ne sont pas toujours distingués des exostoses d'une manière clairement définie[8].
Notes et références
- 1 2 3 4 « Diagnostic d'une exostose et de ses complications », sur EM-Consulte (consulté le ).
- ↑ https://www.orpha.net/consor/cgi-bin/OC_Exp.php?Lng=FR&Expert=321
- ↑ « Exostose du Surfeur : Kézako ? », sur Blog Surf Prevention (consulté le ).
- ↑ « Diagnostic d'un ostéochondrome et de ses complications », sur EM-Consulte (consulté le ).
- ↑ TA El-Sobky, S Samir, AN Atiyya, S Mahmoud, AS Aly et R Soliman, « Current paediatric orthopaedic practice in hereditary multiple osteochondromas of the forearm: a systematic review. », Sicot-J., vol. 4, , p. 10 (PMID 29565244, PMCID 5863686, DOI 10.1051/sicotj/2018002)
- ↑ W Wuyts, GA Schmale et HA Chansky, « Hereditary Multiple Osteochondromas. », sur GeneReviews, (consulté le )
- ↑ Page 171 in: Michael W. Ross, Sue J. Dyson, Diagnosis and Management of Lameness in the Horse - E-Book, Elsevier Health Sciences, (ISBN 9781437711769)
- ↑ (en) « The Medico-chirurgical Review and Journal of Medical Science », Burgess and Hill,
Voir aussi
- Kyste synovial
- Liste de signes radiographiques associés à des affections cutanées
- Ostéome
- Ostéosclérose
- Pachyostose
- Portail de la médecine