Exonucléophagie




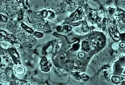
L'exonucléophagie consiste en l'absorption du noyau du polynucléaire neutrophile par l'amibe Entamoeba gingivalis lors des parodontites chroniques et agressives. Ce phénomène laisse en place des globules blancs énucléés hors contrôle dans le biofilm de la gencive infectée et serait à l'origine de destruction tissulaire.
Notes et références
- Botero D, RestrepoM. Amibiasis Intestinal. En parasitosHumana CIB. 4 Edicion. Medellin, Colombia. 2003. pags 30-62.
- Amibiasis en el siglo XXI. Sociedad Mexicana de Parasitologia', A. C. 1, Edicion 2008. Raul Romero Cabello.
- Antiparasitic treatments of periodontitis and peri-implantitis: 12-month multicentric follow-up. AOS 2013;261:22-28 EDP Sciences 2013
- Bonner M. Tant de bouches à guérir... des parasites qui les vampirisent. Vaincre la parodontite. Éditions Amyris, 2009
- Portail de l’hématologie