Encéphalomyélite aiguë disséminée
| Symptômes | Inflammation |
|---|
| Spécialité | Neurologie |
|---|
| CIM-10 | G04.0 |
|---|---|
| CIM-9 | 323.61, 323.81 |
| DiseasesDB | 158 |
| eMedicine | 1147044 |
| MeSH | D004673 |
Mise en garde médicale
L'encéphalomyélite aiguë disséminée (traduction de l'anglais ADEM pour Acute disseminated encephalomyelitis) ou encéphalite post-infectieuse ou encéphalite périveineuse ou syndrome de Hurst est une maladie inflammatoire démyélinisante du système nerveux central. Elle est habituellement secondaire à une infection virale ou bactérienne, mais peut aussi apparaître spontanément. Elle consiste en une inflammation auto-immune aboutissant à la destruction des gaines de myéline dans la substance blanche, et présente à cet égard des similitudes (physiopathologiques, cliniques et paracliniques) avec les poussées de sclérose en plaques. L'épisode est aigu et dure quelques mois, évoluant vers une rémission complète dans 50 à 75 % des cas, des formes séquellaires dans 15 à 30 % des cas et la mort dans 5 % des cas. La récupération demande généralement au moins 1 à 6 mois.
Incidence
Aussi appelée encéphalomorose, c'est une maladie rare dont l'incidence vaut 0,8 cas pour 100 000 personnes et par an, touchant préférentiellement l'enfant et l'adolescent, la plupart des cas survenant entre 5 et 8 ans.
Elle touche de façon prédominante les hommes (ratio 2:1).
Quoique la physiopathologie de l'encéphalomyélite aiguë disséminée soit encore largement méconnue, on retrouve des lésions inflammatoires dans la substance blanche du cerveau, les connexions interhémisphériques, le cervelet, le tronc cérébral et la moelle spinale, typiquement en sous-cortical, mais on peut aussi rencontrer des lésions de la substance blanche périventriculaire ou de la substance grise du cortex, du thalamus ou des noyaux gris centraux.
Diagnostic
Clinique
Le début est aigu, typiquement précédé d'un épisode infectieux, viral ou d'une vaccination quelques semaines auparavant et le tableau clinique s'installe rapidement en quelques jours, dominé par des signes multifocaux, tels que :
- déficit moteur, syndrome pyramidal ;
- déficit sensitif ;
- syndrome cérébelleux, ataxie ;
- névrite optique rétrobulbaire, troubles du champ visuel ;
- troubles cognitifs, aphasie ;
- mouvements anormaux : dyskinésies, myoclonies, tremblements ;
- syndrome méningé, syndrome confusionnel (les signes sont disséminés dans l'espace, comme dans la sclérose en plaques mais pas dans le temps, contrairement à icelle).
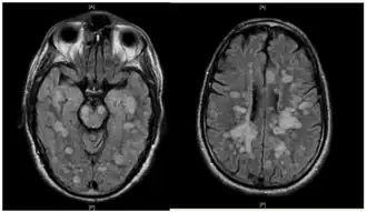
Imagerie
L'IRM cérébrale montre des lésions multifocales de la substance blanche :
- hypersignaux multiples en séquence T2 ou T2-FLAIR ;
- en signal T1, ces lésions fixent fortement le gadolinium[1] ;
- parfois un œdème périlésionnel ;
- parfois des lésions des noyaux gris centraux ou du thalamus.
Liquide cérébrospinal
La ponction lombaire peut montrer une pléiocytose (augmentation du nombre d'éléments) inconstante.
Elle permet surtout d'éliminer une étiologie infectieuse.
Diagnostic différentiel
Les principaux diagnostics à éliminer sont :
- une poussée de sclérose en plaques ;
- une méningoencéphalite infectieuse ;
- un syndrome d'activation macrophagique ;
- une vascularite du système nerveux central.
Traitement
Le traitement est empirique, en raison du peu d'études et de l'absence d'essais contrôlés, il comporte entre autres :
- corticoïdes en bolus ;
- échange plasmatique ;
- immunoglobulines humaines en IV ;
- immunosuppresseurs.
Pronostic
L'évolution est généralement rapide, aboutissant vers la guérison en moins de 6 mois ou le décès dans 5 % des cas. Dans 15 à 30 % des cas, il peut persister des séquelles plus ou moins sévères.
Physiopathologie
Divers
L'industriel français Jean-Luc Lagardère serait décédé de cette maladie le .
Notes et références
- ↑ Utilisé comme agent de contraste pour l'IRM.
- Portail de la médecine