Doigt en maillet
| Causes | Polyarthrite rhumatoïde, lésion du tendon extenseur |
|---|---|
| Symptômes | Douleur et contusion |
| Diagnostic | Clinique et radiologique |
|---|---|
| Traitement | Attelle ou chirurgie[1] |
| Spécialité | Médecine d'urgence et chirurgie plastique |
| Fréquence | Relativement courant[2] |
|---|
| CIM-10 | M20.0 |
|---|---|
| CIM-9 | 736.1 |
| DiseasesDB | 31230 |
| eMedicine | 1242305 |
Mise en garde médicale
Un doigt en maillet, également connu sous le nom de doigt en marteau, est une lésion du tendon extenseur au niveau de l'articulation interphalangienne distale[2]. Il en résulte l'impossibilité d'étendre le bout du doigt sans le pousser[1]. Il y a généralement des douleurs à l'arrière de l'articulation.
Un doigt en maillet résulte généralement d'une hyperflexion de la phalange distale[1]. Cela se produit généralement lorsqu'un ballon percute un doigt tendu et le bloque. Il en résulte soit une lésion du tendon soit un arrachement osseux par le tendon qui reste intacte. Le diagnostic est généralement basé sur les symptômes et confirmé par des radiographies.
Il se traite avec la pose d'une attelle qui maintient le bout du doigt droit en continu pendant 8 semaines. L'articulation médiane reste mobile[1]. Ce traitement doit idéalement commencer dans la semaine suivant la blessure. Si le doigt reste plié pendant des semaines, la guérison peut être plus longue. Si l'arrachement osseux est important, une intervention chirurgicale peut être indiquée. Sans traitement, la déformation du doigt peut devenir permanente[2].
Diagnostic
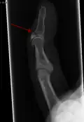
Le diagnostic est généralement basé sur les symptômes et confirmé par des radiographies[1]. La lésion peut être accompagnée d'un œdème et d'une ecchymose[3].
- Radiographie montrant une fracture à l'insertion du tendon extenseur
- Un doigt en maillet sans fracture associée
Traitement
L'objectif est de restaurer l'extension de l'articulation[4]. Le traitement se fait généralement avec une attelle qui maintient l'articulation distale du doigt droite en continu pendant 8 semaines[1]. Ce traitement doit idéalement commencer dans la semaine suivant la blessure. L'attelle peut être portée la nuit uniquement pendant quelques semaines supplémentaires.
La chirurgie n'améliore généralement pas les résultats[2]. Elle peut être nécessaire si le doigt ne peut pas être redressé en appuyant dessus ou si la rupture a arraché plus de 30% de la surface articulaire. La chirurgie peut être préférée à l'utilisation d'une attelle si l'enfant n'est pas compliant[4]. Si le problème persiste ou si la fracture est ouverte, une intervention chirurgicale peut être nécessaire[5]. La chirurgie mettra le doigt en position neutre et passera un câble à travers les articulations inter-phalangiennes, forçant l'immobilisation.
- Un exemple d'attelle pour doigt en maillet.
- Vue latérale d'une attelle pour doigt en maillet. Le côté inférieur est ouvert pour permettre de fléchir le doigt.
Voir aussi
Références
- 1 2 3 4 5 6 « Mallet Finger (Baseball Finger) » [archive du ], OrthoInfo - AAOS, (consulté le )
- 1 2 3 4 Leggit et Meko, « Acute finger injuries: part I. Tendons and ligaments. », American Family Physician, vol. 73, no 5, , p. 810–6 (PMID 16529088)
- ↑ Philip Buttaravoli, Minor Emergencies (Third Edition), Saunders, , 415–418 p. (ISBN 9780323245623, DOI 10.1016/B978-0-323-07909-9.00108-2), « Extensor Tendon Avulsion—Distal Phalanx: (Baseball or Mallet Finger) »
- 1 2 S.Lin et Julie BalchSamora, « Outcomes of Splinting in Pediatric Mallet Finger », The Journal of Hand Surgery, vol. 43, no 11, , p. 1041.e1–1041.e9 (PMID 29776724, DOI 10.1016/j.jhsa.2018.03.037)
- ↑ Tuttle, Olvey et Stern, « Tendon avulsion injuries of the distal phalanx. », Clinical Orthopaedics and Related Research, vol. 445, , p. 157–68 (PMID 16601414, DOI 10.1097/01.blo.0000205903.51727.62)
- Portail de la médecine