Dextrocardie

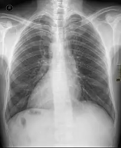
La dextrocardie est une malformation de naissance dans laquelle le cœur se trouve dans la moitié droite du thorax, l'hémithorax droit. La pointe du cœur est aussi orientée à droite.

On trouve trois cas de figure :
- Dextroposition du cœur : une malformation des poumons ou du diaphragme déplace le cœur à droite.
- Dextrocardie isolée.
- Dextrocardie dans le cadre d'un situs inversus où l'ensemble des organes est concerné.
Plus en détail, la dextrocardie peut être associée à une condition génétique plus largement handicapante, comme le syndrome de Marden-Walker, mais ce n'est pas le cas le plus fréquent. Il peut s'agir d'une particularité sans aucune conséquence pathologique ni nécessité d'intervention, le cœur ayant un aspect et un fonctionnement sains (situs inversus en miroir avec l'estomac à droite, le foie à gauche, notamment). La dextrocardie non syndromique (ou au sens strict)[1] peut cependant avoir des conséquences significatives quand elle s'associe à des malformations cardiaques (cardiopathie congénitale). Il s'agit ainsi d'une anomalie plus sérieuse quand l'estomac et le foie se situent quant à eux du côté ordinaire, ce qui est plus souvent associé à un organe mal formé et à de mauvaises connexions des vaisseaux sanguins. Il peut enfin s'agir de dextroposition du cœur, qui s'associe souvent à une cardiopathie congénitale, et résulte d'un déplacement en raison d'une malformation pulmonaire ou diaphragmatique[2]. La dextroposition et la dextroversion peuvent être considérées comme des pseudodextrocardies. La dextroversion est un cas très rare où les cavités cardiaques ne sont pas affectées par l'inversion[3].
Historique
La première publication de l'ère moderne en parlant date de 1788[4], mais d'autres cas ont été décrits au XVIIe siècle[5], dont par Girolamo Fabrizi d'Acquapendente[6].
Épidémiologie
Cette malformation est retrouvée dans 0,01 % des naissances vivantes[7]. Une étude japonaise analysant 1753 échographies de fœtus sur une période de cinq ans n'a découvert que deux cas[8].
Présentation
L'anomalie peut être découverte lors d'un examen systématique, clinique ou radiologique, ou motivée par la présence d'autres malformations.
Notes et références
- ↑ « Orphanet: Dextrocardie », sur www.orpha.net (consulté le )
- ↑ Jacqueline Rossant-Lumbroso, « La dextrocardie », sur Doctissimo (consulté le )
- ↑ « Dextrocardie et pseudodextrocardie: dextroposition et dextroversion! Que faut-il savoir en pratique clinique? | Journal de Cardiologie », sur www.tvcjdc.be (consulté le )
- ↑ Baillie M, An account of a remarkable transposition of the viscera: in a letter to John Hunter, Esq, F.R.S. Phil Trans R Soc London, 1788;78:350-363
- ↑ Cleveland M. Situs inversus viscerum: an anatomic study, Arch Surg, 1926;13:343-368
- ↑ Perloff JK. The cardiac malpositions, Am J Cardiol, 2011;108:1352-1361
- ↑ Evans WN, Acherman RJ, Collazos JC et al. Dextrocardia: practical clinical points and comments on terminology. Pediatr Cardiol, 2010;31:1-6
- ↑ (ja + en) Takumi, Sate et al., « Clinical Course and Prognosis of Minor Abnormal Sonographic Findings in Fetal Echocardiography: Five Years of Experience at a Single Institute », Pediatric Cardiology and Cardiac Surgery, vol. 30, no 5, , p. 563-568 (DOI 10.9794/jspccs.30.563, lire en ligne)
Voir aussi
- Portail du handicap
- Portail de la médecine