Dent permanente

| Élément de |
|---|
| Nom latin |
Dentes permanentes |
|---|---|
| TA98 |
A05.1.03.077 |
| TA2 |
913 |
| FMA |
75152 |
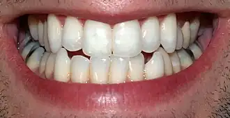
Les dents permanentes ou dents définitives sont les dents qui ne se renouvellent plus.
Chez la plupart des mammifères, ces dents sont issues d'une seconde pousse remplaçant les dents déciduales.
Types de dent permanentes
Humain
La denture humaine possèdent 32 dents permanentes. Les 8 incisives, les 4 canines et les 8 prémolaires remplacent les 20 dents déciduales, les prémolaires remplaçant les 4 molaires déciduales.
Les 12 molaires permanentes poussent comme dents permanentes dès la première pousse.
Chronologie
La première dent définitive fait son éruption vers 5-6 ans : c'est la première molaire ("dent de 6 ans"). La dernière vers 12-13 ans ; c'est généralement une prémolaire sans compter les dents de sagesse inconstantes pouvant apparaître jusqu'à 25 ans.
| Dents permanentes | Âge |
|---|---|
| incisives centrales | 7 - 8 ans |
| incisives latérales inférieures | 7 - 8 ans |
| incisives latérales supérieures | 8 - 9 ans |
| canines inférieures | 9 - 10 ans |
| canines supérieures | 11 - 12 ans |
| premières prémolaires | 10 - 11 ans |
| deuxième prémolaires | 10 - 12 ans |
| premières molaires | 5 - 6 ans |
| deuxièmes molaires | 12 - 13 ans |
| troisièmes molaires | 15 - 25 ans |
Cétacés
Chez les cétacés odontocètes, ces dents ne se développent pas, ils gardent leurs dents de lait toute leur vie.
Voir aussi
Notes et références
Liens externes
- « Dent permanente », sur le dictionnaire de l’Académie nationale de médecine
- Portail de la médecine
- Portail de l’anatomie