Demodex
Demodex, les Démodex, est un genre d'acariens de la famille des Demodecidae. Il regroupe des acariens minuscules et très communs de la peau et de la fourrure de très nombreux mammifères où ils vivent dans ou à proximité des follicules pileux dont ceux de l'humain et de ses animaux domestiques, mais également de ceux de nombreux micromammifères. La plupart du temps symbiotes, ils contribuent à nettoyer la peau, notamment du sébum. Ils peuvent cependant en cas d'immunodéficience pulluler et alors jouer un rôle dans certaines pathologies dermatologiques, notamment la démodécie. Une centaine d'espèces a été identifiée dont deux vivent sur l’humain, Demodex folliculorum et Demodex brevis mais leur nombre est sans doute sous-estimé. Demodex canis qui vit sur le chien domestique, est également très courant.
Les Demodex constituent non seulement un important sujet d'étude vétérinaire et médicale, mais aussi un excellent modèle pour les analyses faunistiques et parasitologiques concernant les différents aspects du fonctionnement et de l'évolution de la relation hôte-parasite. Les connaissances les concernant sont, en 2022, extrêmement lacunaires.


Demodex vient du grec δημός (dēmós) « graisse » et δήξ, δηκός (dḗx, dēkós) « ver du bois ».
Espèces hôtes concernées
Les Demodex sont présents dans la plupart des ordres de mammifères. Ils montrent une grande spécificité quant à leur hôte et sont courants chez de nombreuses espèces. Ce genre représente 106 espèces sur les 122 de la famille des Demodecidae. En raison de leurs modifications morphologiques, y compris la miniaturisation, ou de diverses adaptations au parasitisme dans les différents microhabitats, offerts par la peau, les tissus et les organes de l'hôte, les Demodex peuvent prétendre être les acariens parasites les plus spécialisés des mammifères, leur relation étant le fruit d'une longue coévolution.
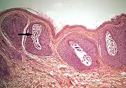
Ces acariens habitent une série de structures cutanées, y compris les follicules pileux normaux et sensoriels et différents types de glandes, ainsi qu'une variété de tissus organiques, tels que la langue, les gencives, les segments antérieurs du tube digestif ou les canaux auditifs[2].
Des représentants des Demodex ont été recensés sur tous les continents en dehors des régions polaires, et leur présence est généralement dictée par celle d'un hôte typique ; cependant, aucune étude de ce groupe n'a été menée dans de nombreuses zones de son aire de répartition, même pour des espèces de mammifères communes. Près de 5 000 espèces de mammifères seraient ainsi des hôtes potentiels.
En 2020, la plus grande diversité de Demodex concerne avant tout les rongeurs (43 espèces) et les chauves-souris (27 espèces) mais aussi les ongulés (17 espèces), les carnivores (15 espèces), les primates (6 espèces) et les marsupiaux (3 espèces)[2].
Il s'agit par exemple de Demodex folliculorum et Demodex brevis chez l'humain, de quatre espèces différentes chez le chien dont Demodex canis, de Demodex sciurinus chez l'écureuil roux d'Eurasie, de Demodex talpae chez la taupe d'Europe ou de Demodex crocidurae et Demodex foveolator chez la musaraigne des jardins[2],[3].

Chez l'humain

Chez l'humain, la faune des Demodex est composée de Demodex folliculorum décrite en et Demodex brevis décrite en , auxquelles s'ajoute la sous-espèce D. folliculorum subsp. sinensis décrite depuis la Chine en .
Ils sont naturellement présents sur ou dans la peau et font partie de notre microbiote cutané, essentiellement sur le visage, près du nez, des cils et des sourcils, mais ils peuvent aussi – plus rarement – coloniser d’autres parties du corps.
La peau humaine semble les tolérer et il est extrêmement rare de voir un humain infesté par un Démodex propre à une autre espèce, y compris par le Démodex du chien, et ce malgré la proximité avec cet animal domestique. Ce cas se produit cependant parfois en cas d'immunodéficience.
La colonisation semble se faire au fur et à mesure de la vie, au gré des contacts entre personnes, en particulier entre parents et enfants (contacts entre cheveux, cils, sourcils, glandes sébacées du nez).
Soit pour des raisons immunitaires, soit en raison de taux différents de production de sébum, le nouveau-né n’en porte pas et les enfants en portent peu, et on en porte de plus en plus avec l’âge : 96 à 98 % des personnes âgées ont une peau abondamment colonisée par les Démodex. D'après une étude publiée en [4], 100 % des personnes de plus de 18 ans sont porteurs d'au moins une des deux espèces de Demodex.



Description
Les Demodex adultes liés aux humains mesurent de 150 à 480 µm (moins d'un demi-millimètre) de long[5], D. brevis étant légèrement plus court que D. folliculorum[6] alors que les plus petites espèces ne mesurent que 70–80 µm (moins d'un dixième de millimètre)[2].
Leur organisme, adapté à leur habitat, est très différent de ceux des autres acariens vivant sur la peau : leur corps, composé de deux parties fusionnées, est allongé, en forme de cil et il est presque translucide. Huit pattes presque relictuelles, très courtes, garnissent le premier segment. Le corps est couvert d'écailles permettant un bon ancrage dans le follicule pileux ou sébacé lui-même. La bouche a une forme lui permettant de manger du sébum ou des cellules de peau qui s’accumulent dans les follicules.
Les Demodex peuvent quitter leur follicule et évoluer sur la peau, généralement la nuit où ils semblent fuir la lumière, à une vitesse d'environ 8 à 16 centimètres par heure[6].
Dimorphisme sexuel
Les femelles de Demodex folliculorum sont un peu plus courtes et plus rondes que les mâles alors que c'est l'inverse chez le Demodex de la taupe[3].
Alimentation
Se nourrissant de sébum, ces acariens ont un système digestif inhabituellement efficace, qui leur permet de ne produire que peu de déchets autres que gazeux[7].
On a longtemps pensé qu'ils n'avaient pas d'anus et que les excréments résiduels étaient stockés dans leur corps jusqu'à la fin de leur vie[8]. En 2022, une étude de la revue Molecular Biology and Evolution a finalement révélé qu'ils avaient bien un anus[9],[10].
Cycle de vie
En climat tempéré, le cycle de vie des Demodex humains se déroule sur quelques semaines. Le mâle et la femelle Demodex ont une ouverture génitale permettant une fécondation interne[11]. L'accouplement a lieu à l’entrée d’un follicule.
Les œufs sont pondus dans le follicule pileux ou dans les glandes sébacées. Les pattes de la larve n’apparaissent qu’après 3-4 jours. Il leur faut environ sept jours pour se développer en adultes.
Les Demodex morts se décomposent dans les follicules pileux ou les glandes sébacées. Ils sont chassés des glandes avec le sébum ou disparaissent avec la chute des poils.
Impact parasitaire
Les Demodex sont des parasites spécialisés probablement abondants au sein des populations hôtes. Ce sont des parasites stationnaires, dont tout le cycle de vie se déroule sur l'hôte ; cependant, en fonction de l'espèce, de sa topographie, de la dynamique saisonnière et du mécanisme de transmission, ils peuvent présenter un niveau variable de prévalence d'infestation, qui peut atteindre 100 %.
En général, la présence de ces acariens ne produit pas de symptômes, même en cas de forte intensité d'infestation et de densité élevée sur la peau. La colonisation semble contrôlée par le système immunitaire de chaque espèce.
Chez les humains, dans la grande majorité des cas, ces acariens passent tout à fait inaperçus toute la vie des individus, sans symptômes négatifs.
Mais il arrive, dans certains cas généralement liés à une inhibition du système immunitaire (causée par exemple par un stress important ou une maladie), que les Demodex ou d’autres acariens connaissent une explosion démographique spectaculaire, qui se traduit alors par une pathologie dite démodécie, également nommée démodécose, démodicose et demodicidosis[2].
Les symptômes de la démodécie comprennent généralement la présence de diverses lésions cutanées (pityriasis folliculorum, démodécidose rosacée, folliculite pustuleuse, éruptions papulo-pustuleuses du cuir chevelu, dermatite périorale et taches hyperpigmentées du visage, Orgelet, Blépharite), la perte de cheveux, l'inflammation du bord des paupières et la conjonctivite, ainsi que des modifications au niveau des muqueuses gingivales ; toutefois, elle peut également se présenter sous une forme généralisée.
Des complications peuvent également survenir sous la forme d'infections bactériennes ou fongiques secondaires.
De forts indices laissent penser que certaines maladies de la peau comme la rosacée, puissent être induites par une bactérie Bacillus oleronius retrouvée dans les Démodex[12].
Cette parasitose peut être accrue par une immunité réduite de l'hôte, une mauvaise condition ou un régime alimentaire incorrect, comme des carences en vitamines et en micronutriments[2].
Malgré la forte prévalence de l'infestation dans les populations de mammifères sauvages, la démodécose est observée relativement rarement. Cependant, elle constitue un problème sérieux pour l'homme, les animaux domestiques et le bétail.
La démodécose canine, maladie du chien domestique, causée par Demodex canis, se caractérise par une évolution particulièrement dangereuse, avec une issue chronique, voire fatale.
Des médicaments à base d'acaricide et notamment d'amitraze sont alors employés par les vétérinaires[13]. Cette démodécose est également décrite chez les chats et les bovins, ou chez des animaux de laboratoire comme les souris et les hamsters[2].
Liste des espèces
Liste des espèces selon Izdebska & Rolbiecki (2020)[2] et Cierocka, Izdebska & Rolbiecki (2021)[3]
- Primates
- Demodex araneae Nutting, 1950 (Ateles)
- Demodex brevis Akbulatova, 1963 (redescription, Desch and Nutting 1972) (Homo sapiens)
- Demodex folliculorum (Simon, 1842) (redescription Desch and Nutting, 1972) (Homo sapiens)
- Demodex folliculorum sinensis Xie, Liu, Hsu and Hsu, 1982 (Homo sapiens)
- Demodex macaci Karjala, Desch and Starost, 2005 (Macaca mulatta)
- Demodex saimiri Lebel and Nutting 1973 (Saimiri sciureus)
- Rongeurs
- Demodex agrarii Bukva, 1994 (Apodemus agrarius)
- Demodex apodemi Hirst, 1918 (Apodemus agrarius)
- Demodex arvicolae Zschokke, 1888 (Microtus agrestis)
- Demodex aurati Nutting, 1961 (Mesocricetus auratus)
- Demodex auricularis Izdebska, Rolbiecki and Fryderyk, 2014 (Apodemus sylvaticus)
- Demodex bandicotae Izdebska, Rolbiecki, Morand and Ribas, 2017 (Bandicota indica)
- Demodex buccalis Bukva, Vítovec and Vlček 1985 (Myodes glareolus)
- Demodex castoris Izdebska, Fryderyk and Rolbiecki, 2016 (Castor fiber)
- Demodex caviae Bacigalupo and Roveda, 1954 (Cavia porcellus)
- Demodex conicus Izdebska and Rolbiecki, 2015 (Mus musculus)
- Demodex corniculatus Izdebska, 2012 (Apodemus flavicollis)
- Demodex criceti Nutting and Rauch, 1958 (Mesocricetus auratus)
- Demodex cricetuli Hurley and Desch, 1994 (Cricetulus migratorius)
- Demodex cuniculi Pfeiffer, 1903 (Oryctolagus cuniculus)
- Demodex flagellurus Bukva, 1985 (Mus musculus)
- Demodex fusiformis Izdebska and Rolbiecki, 2015 (Mus musculus)
- Demodex gapperi Nutting, Emejuaiwe and Tisolel, 1971 (Myodes gapperi)
- Demodex glareoli Hirst, 1919 (Myodes glareolus)
- Demodex gliricolens Hirst, 1921 (Arvicola amphibius)
- Demodex gracilentus Izdebska and Rolbiecki, 2013 (Apodemus agrarius)
- Demodex huttereri Mertens, Lukoschus and Nutting, 1983 (Apodemus agrarius)
- Demodex lacrimalis Lukoschus and Jongman, 1974 (Apodemus sylvaticus)
- Demodex leucogasteri Hughes and Nutting, 1981 (Onychomys leucogaster)
- Demodex longior Hirst, 1918 (Apodemus sylvaticus)
- Demodex marculus Izdebska and Rolbiecki, 2015 (Mus musculus)
- Demodex microti Izdebska and Rolbiecki, 2013 (Microtus arvalis)
- Demodex mollis Izdebska, Rolbiecki, Fryderyk and Mierzyński, 2017 (Apodemus flavicollis)
- Demodex muscardini Hirst, 1917 (Muscardinus avellanarius)
- Demodex musculi Oudemans, 1897 (redescription, Izdebska and Rolbiecki, 2015) (Mus musculus)
- Demodex nanus Hirst, 1918 (redescription Desch, 1987) (Rattus norvegicus, Rattus rattus)
- Demodex norvegicus Bukva, 1995 (Rattus norvegicus)
- Demodex peromysci Lambert, Lukoschus and Whitaker, 1983 (Peromyscus leucopus)
- Demodex phodopi Desch, Davis and Klompen, 2006 (Phodopus sungorus)
- Demodex plecoti Izdebska Rolbiecki, Mierzyński and Bidziński, 2019(Plecotus auritus)
- Demodex ponderosus Izdebska and Rolbiecki, 2014 (Rattus norvegicus)
- Demodex ratti Hirst, 1917 (redescription Bukva, 1995) (Rattus norvegicus)
- Demodex ratticola Bukva, 1995 (Rattus norvegicus)
- Demodex rosus Bukva, Vítovec and Vlček, 1985 (Apodemus flavicollis)
- Demodex sabani Desch, Lukoschus and Nadchatram, 1984 (Leopoldamys edwardsi, Leopoldamys sabanus, Niviventer cremoriventer, Niviventer rapit, Rattus annandalei, Rattus tiomanicus, Sundamys muelleri)
- Demodex sciurinus Hirst, 1923 (Sciurus vulgaris)
- Demodex sinocricetuli Desch and Hurley, 1997 (Cricetulus barabensis)
- Demodex sungori Desch, Davis and Klompen, 2006 (Phodopus sungorus)
- Demodex vibrissae Izdebska, Rolbiecki and Fryderyk, 2016 (Mus musculus)
- Chauve-souris
- Demodex aelleni Fain, 1960 (Myotis daubentonii)
- Demodex artibei Vargas, Bassols, Desch, Quintero and Polaco, 1995 (Artibeus aztecus)
- Demodex bicaudatus Kniest and Lukoschus, 1981 (Macroglossus minimus)
- Demodex carolliae Desch, Lebel, Nutting and Lukoschus, 1971 (Carollia perspicillata)
- Demodex chiropteralis Hirst, 1921 (Plecotus auritus)
- Demodex desmodi Desch, 1994 (Desmodus rotundus)
- Demodex longissimus Desch, Nutting and Lukoschus, 1972 (Carollia perspicillata)
- Demodex macroglossi Desch, 1981 (Macroglossus minimus)
- Demodex melanopteri Lukoschus, Jongman and Nutting, 1972 (Eptesicus brasiliensis melanopterus)
- Demodex mexicanus Vargas, Bassols, Desch, Quintero and Polaco, 1995 (Corynorhinus mexicanus)
- Demodex molossi Desch, Nutting and Lukoschus, 1972 (Molossus molossus)
- Demodex mystacina Desch, 1989 (Mystacina tuberculata)
- Demodex neoopisthosomae Desch, Lukoschus and Nadchatram, 1986 (Eonycteris spelaea)
- Demodex novazelandica Desch, 1989 (Mystacina tuberculata)
- Demodex nycticeii Desch, 1996 (Nycticeius humeralis)
- Demodex phyllostomatis Leydig, 1859 (Phyllostomus hastatus)
- Demodex spelaea Desch, Lukoschus and Nadchatram, 1986 (Eonycteris spelaea)
- Taupes, musaraignes, hérissons, tatous, Lagomorphes
- Demodex crocidurae Cierocka, Izdebska & Rolbiecki, 2021 (Crocidura suaveolens)
- Demodex cuniculi Pfeiffer, 1903 (Oryctolagus cuniculus)
- Demodex dasypodi Desch and Stewart, 2002 (Dasypus novemcinctus)
- Demodex erinacei Hirst, 1917 (Erinaceus europaeus)
- Demodex foveolator Bukva, 1984 (Crocidura suaveolens)
- Demodex intermedius Lukoschus, Mertesn, Nutting and Nadchatram, 1984 (Tupaia glis)
- Demodex neomydis Bukva, 1995 (Neomys anomalus)
- Demodex talpae Hirst, 1921 (Talpa europaea)
- Demodex soricinus Hirst, 1918 (redescription Bukva, 1993) (Plecotus auritus, Sorex araneus)
- Marsupiaux
- Demodex antechini Nutting and Sweatman, 1970 (Antechinus stuartii)
- Demodex marsupiali Nutting, Lukoschus and Desch, 1980 (Didelphis marsupialis)
- Demodex tortellinioides Desch and Holz, 2006 (Antechinus agilis)
- Ongulés
- Demodex acutipes Bukva and Preisler, 1988 (Cervus elaphus)
- Demodex aries Desch, 1986 (Ovis aries)
- Demodex bantengi Firda, Nutting and Sweatman, 1987 (Bos javanicus)
- Demodex bisonianus Kadulski and Izdebska, 1996 (Bison bonasus)
- Demodex bovis Stiles, 1892 (redescription Desch and Nutting 1971) (Bos taurus, Bos taurus indicus, Bison bonasus)
- Demodex caballi (Railliet, 1895) (redescription, Desch and Nutting 1978 (Equus caballus)
- Demodex cafferi Nutting and Guilfoy, 1979 (Syncerus caffer)
- Demodex caprae Railliet, 1895 (Capra hircus)
- Demodex cervi Prietsch, 1886 (Rusa unicolor)
- Demodex equi Railliet, 1895 (Equus caballus)
- Demodex ghanensis Oppong, Lee and Yasin, 1975 (Bos taurus)
- Demodex kutzeri Bukva, 1987 (Alces alces, Capreolus capreolus, Cervus elaphus, Cervus elaphus nelsoni, Cervus nippon, Dama dama, Odocoileus hemionus, Odocoileus virginianus)
- Demodex odocoilei Desch and Nutting, 1974 (Odocoileus virginianus, Odocoileus hemionus)
- Demodex ovis Railliet, 1895 (redescription, Desch 1986) (Ovis aries)
- Demodex phylloides Csokor, 1879 (Sus scrofa scrofa, Sus scrofa domesticus)
- Demodex pseudaxis Schpringol’ts-Schmidt, 1937 (Cervus nippon hortulorum)
- Demodex tauri Bukva, 1986 (Bos taurus)
- Carnivores
- Demodex ailuropodae Xu, Xie, Liu, Zhou and Shi, 1986 (Ailuropoda melanoleuca)
- Demodex bonapartei Nutting, 1950 (Mustela erminea)
- Demodex canis (Leydig, 1859) (redescription, Nutting and Desch, 1978) (Canis lupus familiaris)
- Demodex cati Megnin, 1877 (redescription, Desch and Nutting, 1979) (Felis catus)
- Demodex cornei: Izdebska and Rolbiecki, 2018 (Canis lupus familiaris)
- Demodex cyonis Morita, Ohmi, Kiwaki, Ike and Nagata, 2018 (Canis lupus familiaris)
- Demodex erminae Hirst, 1919 (Mustela erminea)
- Demodex gatoi Desch and Stewart, 1999 (Felis catus)
- Demodex injai Desch and Hillier, 2003 (Canis lupus familiaris)
- Demodex lutrae Izdebska and Rolbiecki, 2014 (Lutra lutra)
- Demodex melesinus Hirst, 1921 (Meles meles)
- Demodex phocidi Desch, Dailey and Tuomi, 2003 (Phoca vitulina)
- Demodex tigris Shi, Xie and Hsu, 1985 (Panthera tigris amoyensis)
- Demodex uncii Desch, 1993 (Uncia uncia)
- Demodex ursi Desch, 1995 (Ursus americanus)
- Demodex zalophi Dailey and Nutting, 1979 (Zalophus californianus)
Notes et références
- ↑ Owen, 1843 : Lectures on the Comparative Anatomy and Physiology of the Invertebrate Animals, delivered at the Royal College of Surgeons in 1843. Longman, Brown, Green, and Longmans, London
- 1 2 3 4 5 6 7 8 (en) Joanna N. Izdebska et Leszek Rolbiecki, « The Biodiversity of Demodecid Mites (Acariformes: Prostigmata), Specific Parasites of Mammals with a Global Checklist and a New Finding for Demodex sciurinus », Diversity, vol. 12, no 7, , p. 261 (ISSN 1424-2818, DOI 10.3390/d12070261, lire en ligne)
- 1 2 3 (en) Karolina Cierocka, Joanna N. Izdebska et Leszek Rolbiecki, « Demodex crocidurae, a New Demodecid Mite (Acariformes: Prostigmata) Parasitizing the Lesser White-Toothed Shrew and a Redescription of Demodex talpae from European Mole with Data on Parasitism in Soricomorpha », Animals, vol. 11, no 9, , p. 2712 (ISSN 2076-2615, PMID 34573678, PMCID PMC8470759, DOI 10.3390/ani11092712, lire en ligne)
- ↑ (en) Megan S. Thoemmes, Daniel J. Fergus, Julie Urban et Michelle Trautwein, « Ubiquity and Diversity of Human-Associated Demodex Mites », PLOS ONE, vol. 9, no 8, , e106265 (ISSN 1932-6203, PMID 25162399, PMCID PMC4146604, DOI 10.1371/journal.pone.0106265, lire en ligne, consulté le )
- ↑ « demodex.info »(Archive.org • Wikiwix • Archive.is • Google • Que faire ?) (consulté le )
- 1 2 (en) Rufli T., Mumcuoglu Y., « The hair follicle mites Demodex folliculorum and Demodex brevis: biology and medical importance. A review. », Dermatologica, 1981 ; 162(1):1-11.
- ↑ « La mémoire dans la peau », sur le site de France Culture (consulté le )
- ↑ (en-GB) « There are thousands of mites living on your face » [vidéo], sur BBC.com, (consulté le )
- ↑ Gentside, « Connaissez-vous les Demodex, ces acariens qui vivent sur notre visage ? », sur msn.com, (consulté le )
- ↑ (en) Gilbert Smith, Alejandro Manzano-Marín, Mariana Reyes-Prieto et Cátia Sofia Ribeiro Antunes, « Human Follicular Mites: Ectoparasites Becoming Symbionts », Molecular Biology and Evolution, vol. 39, no 6, , msac125 (ISSN 1537-1719, DOI 10.1093/molbev/msac125, lire en ligne, consulté le )
- ↑ (en) Rush, A. 2000. « Demodex folliculorum », Animal Diversity Web. Ouvert le 7 janvier 2007
- ↑ (en) « New Study Shows Role for Bacteria in Development of Rosacea Symptoms | Rosacea.org », sur www.rosacea.org (consulté le )
- ↑ (en) J. Fourie, P. Dumont, L. Halos, F. Beugnet et M. Pollmeier, « Efficacy of a topical application of Certifect(®) (fipronil 6.26% w/v, amitraz 7.48% w/v, (S)-methoprene 5.63% w/v) for the treatment of canine generalized demodicosis. », Parasite, vol. 20, , p. 46 (PMID 24256940, DOI 10.1051/parasite/2013046)
Liens externes
- (en) Animal Diversity Web : Demodex (consulté le )
- (fr + en) EOL : Demodex (consulté le )
- (fr + en) GBIF : Demodex Owen, 1843 (consulté le )
- (fr) INPN : Demodex Owen, 1843 (TAXREF) (consulté le )
- (en) OEPP : Demodex (consulté le )
- (en) Demodex, « un habitant du follicule pileux humain, et un acarien avec lequel nous vivons en harmonie », par M. Halit Umar, Micscape Magazine, mai 2000, comprend plusieurs photographies au microscope
- (en) Demodicosis, article de Manolette R Roque, MD
- Portail de l’arachnologie
- Portail de la médecine
- Portail de la médecine vétérinaire
- Portail de la parasitologie