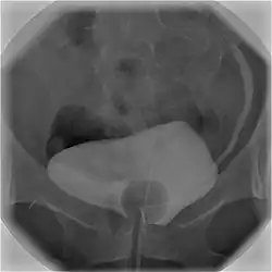
Cystographie

La cystographie est une radiographie qui permet d'explorer les parois de la vessie et de l'urètre. Cet examen utilise des rayons X et un produit à base d'iode. Ce dernier est le plus souvent injecté directement dans la vessie à l'aide d'une sonde passant par l'urèthre (cystographie rétrograde), plus rarement en piquant dans la vessie à travers la paroi abdominale (cystographie suspubienne)[1].
Indications
La cystographie est plus fréquemment pratiquée chez les hommes du fait des affections de la prostate (adénome prostatique, cancer de la prostate) qui parce qu'elles rendent la miction difficile, génèrent une vidange incomplète de la vessie que l'examen objective aisément. Dans d'autres circonstances, comme les saignements urinaires, elle permet de voir les contours internes de la paroi vésicale et en réalisant une image en soustraction de diagnostiquer des tumeurs de la paroi de la vessie, des polypes vésicaux ou des calculs urinaires. Elle permet aussi de diagnostiquer un reflux vésico-urétéral (reflux d'urine dans l'uretère et vers les reins lors de la miction)[2]. Elle est aussi utilisée dans les infections urinaires répétitives. Chez l'enfant elle permet principalement le diagnostic des malformations urétrales et des reflux vésico-urétéraux[3].
Divers
Les clichés sont réalisés en deux temps. D'abord pendant le remplissage de la vessie, puis dans un second temps, pour étudier les parois de l'urèthre, des clichés seront pris pendant que le patient urine[1]. La cystographie est complémentaire de l'échographie permettant de voir des anomalies qui échappent à cette dernière[3],[4]. On appelle cystogramme les images obtenues avec la cystographie.
Références
- 1 2 « Fiche pratique : préparer sa cystographie » [PDF], sur Société française de radiologie (consulté le ).
- ↑ « Cystographie », sur Encyclopédie Larousse en ligne (consulté le ).
- 1 2 « Votre enfant va avoir une cystographie rétrograde », sur Imagerie médicale de l'Est-Lillois (consulté le ).
- ↑ « Votre enfant va avoir une cystographie rétrograde », sur Hôpital universitaire des enfants Reine Fabiola (consulté le ).
- Portail de la médecine