Cycle nasal

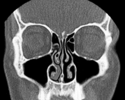
Le cycle nasal est l'alternance inconsciente d'une congestion (ou gonflement) et d'une décongestion (ou dégonflement) partielles des fosses nasales chez l'homme et d'autres animaux[1],[2],[3],[4]. Il en résulte un débit d'air plus important dans une narine avec une alternance périodique entre les narines. Il s'agit d'une congestion physiologique des cornets nasaux due à l'activation sélective d'une moitié du système nerveux autonome par l'hypothalamus. Elle ne doit pas être confondue avec l'obstruction nasale.
Description
Dans la littérature occidentale moderne, elle a été décrite pour la première fois par le médecin allemand Richard Kayser en 1895[5].
Bienfaits
Pour la respiration
Il a été démontré que les cils du côté congestionné suspendent leur motilité jusqu’à ce que ce côté se décongestionne. Ainsi, le cycle garantit qu'un côté du nez est toujours humide ce qui facilite l'humidification, qui est l'une des trois fonctions du nez, les deux autres étant la filtration et le réchauffement de l'air inspiré avant son entrée dans les poumons[6].
Pour l'odorat
Certaines odeurs chimiques se lient facilement aux récepteurs olfactifs, même dans des conditions de flux d'air élevé, tandis que d'autres odeurs nécessitent plus de temps, dans des conditions de faible flux d'air, pour se lier aux récepteurs. Avec un flux d'air élevé d'un côté et un flux d'air plus faible de l'autre, le centre olfactif détecte une plus grande gamme d'odeurs[7],[8],[9],[4].
Notes et références
- (en) Cet article est partiellement ou en totalité issu de l’article de Wikipédia en anglais intitulé « Nasal cycle » (voir la liste des auteurs).
- ↑ J. S. Josephson, Sinus Relief Now: The Ground-Breaking 5-Step Program for Sinus, Allergy, And Asthma Sufferers, Penguin Group, , 15 (ISBN 978-0-39953-298-6, lire en ligne
) - ↑ E. H. Huizing et J. A. M. de Groot, Functional Reconstructive Nasal Surgery, Thieme, (ISBN 978-1-58890-081-4), p. 52
- ↑ Nathalie Mayer, « Respiration alternée : respire-t-on vraiment de nos deux narines ? »
, sur Futura (consulté le ) - 1 2 Alexandra Delbot, « Odorat : un sens en stéréo »
, sur France Culture, (consulté le ) - ↑ (de) Kayser, « Die exakte Messung der Luftdurchgängigkeit der Nase. », Arch. Laryng. Rhinol. (Berl.), vol. 8, , p. 101
- ↑ (en) Thomas Hummel et Antje Welge-Lüssen, Taste and Smell: An Update, Karger Medical and Scientific Publishers, (ISBN 978-3-8055-8123-3, lire en ligne)
- ↑ Sobel, Khan, Saltman et Sullivan, « Olfaction: The world smells different to each nostril », Nature, Macmillan Magazines Ltd., vol. 402, no 6757, , p. 35 (ISSN 0028-0836, PMID 10573415, DOI 10.1038/46944, Bibcode 1999Natur.402...35S, S2CID 4416272)
- ↑ O'Toole, « Smelling roses: Your nostrils may part ways », (consulté le )
- ↑ Kruszelnicki, « Nostrils smell differently 1 », Australian Broadcasting Corporation, (consulté le )
- Portail de la physiologie
- Portail de l’anatomie
- Portail des odeurs, des senteurs et du parfum