Croup
| Symptômes | Toux, enrouement (d) et stridor |
|---|
| Traitement | Stéroïde et adrénaline |
|---|---|
| Spécialité | Pneumologie et pédiatrie |
| CIM-10 | J05.0 |
|---|---|
| CIM-9 | 464.4 |
| DiseasesDB | 13233 |
| MedlinePlus | 000959 |
| eMedicine |
962972 emerg/370 radio/199 |
| MeSH | D003440 |
| Patient UK | Croup |
Mise en garde médicale
Le croup [kʁup][1] (ou laryngo-trachéo-bronchite) est une affection respiratoire habituellement déclenchée par une infection virale aiguë des voies aériennes supérieures. L'infection conduit à un gonflement de l'intérieur de la gorge, qui gêne la respiration normale et produit les symptômes classiques : toux dite « aboyante », stridor, dysphonie. Le croup peut produire des symptômes légers à sévères, souvent aggravés la nuit. Il est souvent traité par une dose unique de stéroïdes oraux. Occasionnellement, l'adrénaline est utilisée si le cas est sévère. L'hospitalisation est rarement requise.
Le croup est diagnostiqué cliniquement, une fois exclues les autres causes potentielles et plus sévères des symptômes, telles que l'épiglottite ou la présence d'un corps étranger dans les voies aériennes. Des recherches plus poussées, comme les tests sanguins, radiographies ou cultures sont rarement indispensables. Il s'agit d'une affection relativement commune qui peut affecter jusqu'à 15 % des enfants à certains endroits, le plus souvent entre 6 mois et 5-6 ans. Il n'est presque jamais observé chez les adolescents ou les adultes.
Bien qu'originellement attribué à la diphtérie, cette étiologie est aujourd'hui peu fréquente dans le monde occidental grâce au succès de la vaccination.
Signes et symptômes
| Fichier audio | |
| Stridor | |
| Stridor inspiratoire et expiratoire chez un enfant de 13 mois. | |
Le croup se caractérise par les symptômes suivants : toux « aboyante », stridor, dysphonie et une gêne respiratoire aggravée la nuit. La toux « aboyante » est souvent décrite comme ressemblant au cri du pinnipède ou du lion de mer. Le stridor est aggravé par l'agitation ou les pleurs et, s'il est présent au repos, il indique un rétrécissement critique des voies aériennes. Tandis que le croup s'aggrave, le stridor peut décroître considérablement.
Les autres symptômes incluent fièvre, coryza (symptômes typiques du rhume) et tirage costal ou inter-costal. L'hypersialorrhée ou un état général très dégradé indiquent d'autres affections.
Causes
Le plus souvent, le croup est dû à une infection virale. Certains auteurs utilisent le terme plus largement, et incluent les laryngo-trachéites aigües, le croup spasmodique, la diphtérie laryngée, la trachéite bactérienne, la laryngo-trachéo-bronchite et la laryngo-trachéo-broncho-pneumopathie.
Les deux premières affections impliquent une infection virale et sont généralement plus légères quant à la symptomatologie. Les quatre dernières sont causées par une infection bactérienne et sont généralement de plus grande sévérité.
Croup viral
Le croup viral, ou laryngotrachéite aigüe, est causé par un virus parainfluenza, en particulier les types 1 et 2, dans 75 % des cas. D'autres causes virales incluent l'influenza A et B, les oreillons, l'adenovirus et le virus respiratoire syncytial. Le croup spasmodique est causé par les mêmes groupes de virus que la laryngotrachéite aigüe mais ne montre pas les signes habituels d'infection (tels que la fièvre, la laryngodynie et l'hyperleucocytose). Son traitement et sa réponse au traitement sont similaires.
Croup bactérien
Le croup bactérien peut être divisé en diphtérie laryngée, trachéite bactérienne, laryngo-trachéo-bronchite et laryngo-trachéo-broncho-pneumopathie. La diphtérie laryngée est causée par Corynebacterium diphtheriae tandis que les autres sont généralement dues à une infection virale primaire à laquelle s'ajoute une infection bactérienne secondaire. Les bactéries communément impliquées sont Staphylococcus aureus, Streptococcus pneumoniae, Haemophilus influenzae et Moraxella catarrhalis.
Physiopathologie
L'infection virale qui cause le croup conduit au gonflement du larynx, de la trachée et des bronches proximales en raison de l'infiltration de leucocytes, en particulier des histiocytes, lymphocytes, plasmocytes et polynucléaires neutrophiles. Le gonflement provoque une obstruction du flux aérien qui, lorsqu'elle est significative, conduit à une augmentation dramatique du travail respiratoire et à un sifflement bruyant et caractéristique dit stridor.
Diagnostic
| Signe | Nombre de points assignés à ce signe | |||||
|---|---|---|---|---|---|---|
| 0 | 1 | 2 | 3 | 4 | 5 | |
| Tirage intercostal | Aucune | Léger | Modéré | Sévère | ||
| Stridor | Aucun | Si agitation |
Au repos | |||
| Cyanose | Aucune | Si agitation |
Au repos | |||
| Niveau de conscience | Normal | Désorienté | ||||
| Flux d'air | Normal | Diminué | Diminué gravement | |||
Le diagnostic du croup est clinique. La première étape est l'exclusion d'autres conditions obstructives des voies aériennes supérieures, en particulier l'épiglottite, la présence d'un corps étranger, la sténose sous-glottique, l'angioœdème, l'abcès rétropharyngé et la trachéite bactérienne.
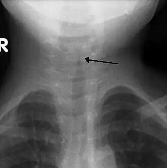
Une radiographie frontale du cou n'est pas systématiquement réalisée mais, si elle est faite, elle peut mettre en évidence l'étrécissement caractéristique de la trachée, réalisant le signe du Clocher. Le signe du Clocher oriente le diagnostic, mais il est absent dans la moitié des cas.
D'autres examens (tels que NFS ou cultures virales) sont déconseillés, ceux-ci n'étant pas indispensables et pouvant causer une agitation aggravant l'affection. Bien que les cultures virales sur aspiration nasopharyngée puissent être utilisées pour confirmer la cause exacte, elles ne sont généralement utilisées que dans le cadre de la recherche. Les infections bactériennes peuvent être évoquées si la condition du sujet ne s'améliore pas sous traitement standard, et dans ce cadre des investigations plus poussées peuvent être indiquées.
Sévérité
Le système de classification de sévérité du croup le plus communément utilisé est le score de Westley. Il est cependant plus généralement utilisé à des fins de recherche que dans la pratique clinique. Les points attribués à chaque signe sont listés dans un tableau ci-contre, et le score final s'étale de 0 à 17.
- Un score total ≤ 2 indique un croup léger. La toux aboyante et la dysphonie peuvent être présentes mais il n'y a pas de stridor au repos.
- Un score total de 3–5 est classé comme croup modéré. Il présente un stridor sonore, mais avec peu d'autres signes.
- Un score total de 6-11 est classé comme croup sévère. Il présente un stridor évident, mais aussi un tirage intercostal marqué.
- Un score total ≥ 12 indique une détresse respiratoire imminente. La toux aboyante et le stridor peuvent ne plus être marqués à ce stade.

85 % des enfants examinés aux urgences pour croup présentent la forme légère. Le croup sévère est rare (< 1 %).
Prévention
Beaucoup de cas de croup peuvent être prévenus par l'immunisation contre l'influenza et la diphtérie. Historiquement, le croup s'est référé à la diphtérie, mais l'introduction de la vaccination a rendu cette pathologie rare dans les pays développés.
Traitement
Les enfants atteints de croup sont généralement gardés au repos. Des stéroïdes sont administrés en routine, associés à de l'adrénaline dans les cas sévères. Les enfants présentant une saturation d'oxygène en dessous des 92 % doivent recevoir une oxygénothérapie, et ceux présentant un croup sévère peuvent être hospitalisés pour observation. En cas d'oxygénothérapie, il est préférable de choisir des alternatives au masque à oxygène qui peut causer une agitation accrue de l'enfant. Sous traitement, moins de 0,2 % des patients requièrent une intubation endotrachéale.
Stéroïdes
Les corticostéroïdes, tels que la dexaméthasone ou le Budésonide, ont montré leur efficacité à tout niveau de sévérité du croup. Cependant, un soulagement significatif n'est souvent obtenu que jusqu'à six heures après l'administration, et ne dure qu'environ 12 heures. Bien qu'aussi efficace lorsqu'administré par voie orale, parentérale ou par inhalation, la voie orale est favorisée. Une dose unique est habituellement suffisante, et considérée comme inoffensive. Les doses de 0,15, 0,3 et 0,6 mg kg−1 de dexaméthasone semble être toutes aussi efficaces.
Adrénaline
Le croup modéré à sévère peut être amélioré temporairement à l'aide d'un nébuliseur d'adrénaline. L'adrénaline produit une réaction plus rapide que les stéroïdes (dans les 10–30 minutes suivant l'administration) mais moins durable (environ deux heures). Si l'état de l'enfant reste amélioré deux à quatre heures après le traitement et qu'il n'y a pas d'autres complications, l'enfant peut généralement quitter l'hôpital.
Autres
D'autres traitements au croup ont été étudiés, mais aucun n'a montré une efficacité suffisamment prouvée pour être utilisé. L'inhalation de vapeur chaude ou d'air humidifié est un traitement traditionnel, mais aucune étude clinique n'a pu montrer une quelconque efficacité et elle est actuellement peu utilisée. L'utilisation de médicaments pour la toux, qui contiennent habituellement du dextrométhorphane et/ou de la guaïfénésine, sont aussi à déconseiller. Dans le passé, on a pu utiliser de l'héliox (un mélange d'hélium et d'oxygène) pour diminuer le travail respiratoire, mais il y a peu de preuves pour justifier son utilisation. Depuis que le croup est majoritairement représenté par une pathologie infectieuse virale, les antibiotiques ne sont plus utilisés, à moins d'une infection bactérienne secondaire. Dans ce cas, la vancomycine et le céfotaxime sont recommandés. Dans les cas sévères associés à l'influenza A ou B, des antiviraux inhibiteurs de la neuraminidase peuvent être utilisés.
Pronostic
Le croup viral est habituellement une maladie spontanément résolutive, mais peut très rarement provoquer le décès par détresse respiratoire et/ou arrêt cardiaque. Les symptômes s'aggravent généralement durant deux jours mais ne durent que jusqu'à sept jours. D'autres complications rares comprennent la trachéite bactérienne, la pneumonie et l’œdème pulmonaire.
Épidémiologie
Le croup touche environ 15 % des enfants et se déclare habituellement entre 6 mois et 5-6 ans. Il représente environ 5 % des admissions à l'hôpital dans cette tranche d'âge. Dans de rares cas, il peut survenir chez des enfants entre 3 mois et 15 ans. Les garçons sont touchés 50 % plus fréquemment que les filles, et la prévalence est accrue en automne.
Culture
Dans L'Éducation sentimentale, Eugène, le jeune fils de Mme Arnoux, est atteint du croup. Dans les Pignons verts Anne Shirley la petite orpheline soigne la petite sœur de Diane qui est atteinte d'un croup sévère. Dans L'Amie prodigieuse d'Elena Ferrante, « Le petit dernier de Mme Spagnuolo était mort du croup. ». Dans Les Contemplations de Victor Hugo, le poème Le Revenant prend pour sujet une mère déplorant la mort de son jeune fils victime du croup.
Historique
Le substantif croup provient du verbe anglais : croup, signifiant « hennir » ou « pleurer / crier comme un cheval ». Le nom apparaît en Écosse et se popularise au XVIIIe siècle.
Le croup diphtérique est connu depuis l'époque de la Grèce ancienne d'Homère, et n'est pas différencié du croup viral avant 1826 par Pierre Bretonneau. Le croup viral est ainsi dénommé « faux croup » par ce dernier, définissant le « vrai croup » comme la conséquence de la diphtérie. Le croup diphtérique est aujourd'hui pratiquement inconnu dans les pays développés grâce au développement d'une immunisation efficace.
Le croup est l'affection dont meurt l'enfant de trois ans évoqué par Victor Hugo dans son poème Le revenant (1843) : « Le croup, monstre hideux, épervier des ténèbres, / Sur la blanche maison brusquement s'abattit, / Horrible, et, se ruant sur le pauvre petit, / Le saisit à la gorge ; ô noire maladie ! De l'air par qui l'on vit sinistre perfidie ! » Publié dans le recueil Les Contemplations, ce célèbre texte évoque la douleur d'une mère confrontée à la perte de son enfant.
C'est aussi la maladie dont meurt le jeune Napoléon Charles le , fils de Louis, frère de Napoléon Bonaparte, et d'Hortense de Beauharnais.
« Depuis vingt ans, il s'est manifesté une maladie qu'on appelle le croup, qui enlève beaucoup d'enfants dans le nord de l'Europe, nous désirerions que vous proposiez un prix de 12 000 francs qui sera donné au médecin auteur du meilleur mémoire sur cette maladie et sur sa manière de le traiter. »
— Demandé par Napoléon Bonaparte au Ministre de l'Intérieur
Notes et références
- ↑ Prononciation en français de France standardisé retranscrite selon la norme API.
- Félix Fénéon, Nouvelles en trois lignes, 1906, éditeur Libella, collection Libretto, 162 p. , Paris, 2019 (ISBN 978-2-36914-446-5), p.125.
- Portail de la médecine
