Corpuscule de Hassal
Corpuscules de Hassal

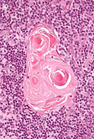
Micrographie des corpuscules de Hassal
| Système |
|---|
| Page |
|---|
Les corpuscules de Hassal, appelés aussi corpuscules thymiques, sont des structures arrondies, éosinophiles, lamellaires et en bulbe d’oignon situées dans la zone médullaire du thymus de l'homme. D'origine endodermique, ces structures épithéliales doivent leur nom au médecin britannique Arthur Hill Hassall (en) qui les a découvertes en 1846[1].
Leur fonction reste encore obscure mais il semble qu'ils peuvent, grâce à la production de la cytokine TSLP (thymic stromal lymphopoietin), intervenir dans le processus inflammatoire.
Notes et références
- ↑ (en) Xiaoping Wang et al., « Post-Aire maturation of thymic medullary epithelial cells involves selective expression of keratinocyte-specific autoantigens », Frontiers in Immunology, (DOI 10.3389/fimmu.2012.00019)
- Portail de l’anatomie
- Portail de la médecine