Coloration de Gram

La coloration de Gram est une technique de coloration microbiologique utilisée pour visualiser les bactéries (et occasionnellement d'autres micro-organismes) au microscope optique. Elle permet de classer la plupart des bactéries en deux catégories selon la composition de leurs enveloppes cellulaires et en particulier de leur paroi : les « Gram positifs », dont la paroi contient une couche épaisse de peptidoglycane qui fixe bien le colorant primaire et résiste à la décoloration ultérieure, et les « Gram négatifs », dont la paroi moins riche en peptidoglycane fixe moins bien le colorant primaire et le laisse échapper sous l'effet de la décoloration. Une contre-coloration finale permet de visualiser les bactéries (et autres structures) décolorées à l'étape précédente.
C'est une technique extrêmement courante en bactériologie médicale et dans d'autres applications du fait de sa simplicité et de son coût modique. Elle ne permet cependant pas de colorer et de classer toutes les bactéries : les principales limitations proviennent soit de la variabilité du résultat, d'une cellule à l'autre et/ou selon les modalités exactes du protocole (bactéries à « Gram variable »), soit de l'imperméabilité de certaines bactéries aux colorants (bactéries non colorables par la méthode de Gram, comme par exemple les Mycobactéries). Le mécanisme de la coloration, la signification de ses résultats quant à la structure de la paroi bactérienne, ses applications médicales et les moyens de surmonter les difficultés techniques qu'elle pose ont fait l'objet d'un important volume de recherches depuis sa première description à la fin du XIXe siècle.
Histoire

La première mention d'une technique de coloration due au biologiste et médecin danois Hans C. Gram apparaît en 1883 sous la plume de son directeur de laboratoire, C. Friedländer (en)[1]. Leurs recherches sur l'étiologie des pneumonies les amènent à suspecter le rôle pathogène des cocci fréquemment retrouvés dans les prélèvements, mais les observations microscopiques sont gênées par le manque de spécificité des colorants, qui imprègnent aussi bien les micro-organismes que les noyaux cellulaires des tissus infectés et les dépôts tissulaires de fibrine. Gram consigne en détail sa méthode dans une publication qui paraît début 1884[2] : lorsque la coloration primaire au violet de gentiane est suivie de l'application d'une solution d'iode et d'iodure de potassium, ces « microcoques » – probablement des Pneumocoques[3] – se colorent mieux et surtout résistent à l'action décolorante de l'alcool, contrairement aux noyaux et à la fibrine qui sont décolorés. L'observation in situ des micro-organismes est facilitée par l'amélioration du contraste, d'autant plus qu'une contre-coloration au brun Bismarck est déjà intégrée à cette version originale.
Gram ne conçoit pas sa coloration comme un outil de classification des bactéries. Il n'approfondit pas ses travaux à ce sujet et reste très modeste quant à sa découverte, allant jusqu'à qualifier ses résultats de « défectueux et imparfaits »[2],[4]. Il note cependant que dans certains cas plus rares de pneumonies bactériennes, les micro-organismes présents dans les tissus – probablement Klebsiella pneumoniae[3] – réagissent différemment : malgré l'exposition à la solution iodée après la coloration primaire, ils se décolorent sous l'effet de l'alcool. Poursuivant l'étude bactériologique des pneumonies, stimulés par les critiques de Fraenkel (en)[5], Friedländer[6] et Weichselbaum (en)[7] réalisent assez vite qu'elles ne sont pas dues à un seul et unique agent : à travers le prisme de ces infections, la distinction entre bactéries non décolorables (que l'on appellera « Gram positifs ») et décolorables (les futurs « Gram négatifs ») par la méthode de Gram commence à se dessiner.
La coloration de Gram a suscité un immense intérêt scientifique, s'est rapidement imposée comme une méthode de référence et a donné naissance à d'innombrables variantes destinées à corriger les imperfections du protocole primitif ou à améliorer ses performances dans des contextes particuliers. À titre d'illustration, une publication de 1923 recense déjà dix-neuf de ces variantes[8]. Par ordre chronologique, on peut citer entre autres les méthodes de Gram-Nicolle (1895), de Gram-Kopeloff (1922) et de Gram-Hucker (1927). Pour faciliter la coloration de Gram qu'il trouve « difficile à réussir », M. Nicolle ajoute du phénol à la solution de violet de gentiane (colorant primaire), introduit l'usage du mélange acétone-alcool comme décolorant et de la fuchsine basique comme contre-coloration des Gram négatifs[9]. N. Kopeloff et P. Beerman emploient des solutions alcalines de violet de gentiane et d'iode pour améliorer la visibilité des bactéries dans les prélèvements de lait et de matières fécales[10]. G.J. Hucker ajoute de l'oxalate d'ammonium à la solution de violet de gentiane pour stabiliser le colorant primaire et améliorer la résistance des Gram positifs à la décoloration[11].
Principe
Dans sa forme actuelle, la coloration de Gram se déroule en quatre étapes séparées les unes des autres par des rinçages à l'eau[12] :
- une coloration primaire est effectuée par une solution alcoolique de violet cristallisé (forme purifiée du violet de gentiane) ;
- un mordançage par une solution contenant de l'iode fixe ce colorant primaire dans la paroi des bactéries à Gram positif, composée à 50-90% de peptidoglycane ;
- une décoloration par un solvant organique (éthanol, acétone ou mélange des deux) élimine le cristal violet de la paroi des bactéries à Gram négatif, composée à seulement 10% de peptidoglycane ;
- une contre-coloration par un colorant rose ou rouge (safranine ou fuchsine basique) permet de visualiser les Gram négatifs mais ne modifie pas l'aspect des Gram positifs (qui ont retenu leur coloration violette, plus sombre).
Mécanisme biochimique de la coloration
Le mécanisme de la coloration de Gram est fondamentalement lié à la structure de la paroi bactérienne, et les connaissances dans ces deux domaines ont donc progressé de manière parallèle au fil du temps.
Deux grandes catégories d'enveloppes bactériennes

En bas, bactéries à Gram négatif : 1-membrane interne, 2-espace périplasmique, 3-membrane externe, 4-phospholipides, 5-peptidoglycane, 6-lipoprotéines, 7-protéines, 8-LPS, 9-porines.
Dans la deuxième moitié du XXe siècle, le développement de la microscopie électronique a permis de préciser les relations entre les résultats de la coloration de Gram (phénotype « macroscopique ») et l'ultrastructure des enveloppes bactériennes. On sait à présent que la plupart des bactéries peuvent être classées en deux catégories d'après la structure microscopique de leurs enveloppes cellulaires[13] : on les appelle bactéries « Gram positives » et « Gram négatives », bien que les résultats de la coloration de Gram ne soient pas toujours corrélés à la structure réelle pour des raisons techniques (cf. infra, §Limites intrinsèques). En toute rigueur il faut donc faire la distinction entre aspect Gram positif ou négatif (en microscopie optique après coloration de Gram) et structure Gram positive ou négative (en microscopie électronique).
Les bactéries à structure Gram positive, qui prennent le plus souvent un aspect Gram positif à la coloration, ont des enveloppes constituées d'une seule membrane (on parle de bactéries monodermes) doublée extérieurement d'une paroi épaisse de peptidoglycane et d'acides téichoïques[14].
Les bactéries à structure Gram négative, qui prennent le plus souvent un aspect Gram négatif à la coloration, ont des enveloppes plus complexes composées de deux membranes (bactéries didermes). La membrane externe est en partie constituée d'une « endotoxine », le lipopolysaccharide, disposée sur son versant externe. Elle est séparée de la membrane interne par un espace périplasmique partiellement occupé par une fine paroi de peptidoglycane [15].
Réalisation
Préparation des lames
Les frottis et autres préparations bactériologiques destinées à la coloration de Gram sont réalisés de la manière suivante[16] :
- Dégraisser et stériliser les lames porte-objets avant leur utilisation :
- utiliser des lames de verre à extrémité dépolie, conservées dans de l'alcool à 95° changé quotidiennement ;
- au moment de l'utilisation, utiliser une pince métallique pour sortir la lame de l'alcool, l'égoutter et la flamber ;
- laisser refroidir la lame flambée et reporter sur sa partie dépolie les éléments d'identification (n° de prélèvement, de culture etc.)
- Pour l'examen direct des urines :
- déposer 10 µL d'urine bien homogénéisée (non centrifugée) sur une lame à l'emplacement préalablement marqué au crayon gras ;
- laisser sécher à l'air sans étaler.
- Pour l'examen direct des autres liquides biologiques (liquides de ponction, de LBA, LCR etc.) :
- avec une cytocentrifugeuse (en) : déposer 5 à 6 gouttes de prélèvement et une goutte de formol à 37% dans la chambe de la centrifugeuse, puis actionner l'appareil selon les instructions du fournisseur ;
- à défaut (quantité trop faible, liquide visqueux, cytocentrifugeuse non disponible) : déposer 1 ou 2 gouttes de prélèvement sur une lame à l'emplacement préalablement marqué au crayon gras, laisser les gouttes se rejoindre, puis laisser sécher à l'air sans étaler ; si besoin, après séchage, rajouter une ou deux gouttes au même endroit.
- Pour l'examen direct des sécrétions recueillies sur écouvillon :
- si l'on dispose de deux écouvillons (cas idéal) : en réserver un pour les cultures, faire rouler l'extrémité de l'autre écouvillon sur une lame stérile en procédant délicatement pour éviter de perturber la structure interne des cellules et leur disposition les unes par rapport aux autres.
- si l'on dispose d'un seul écouvillon : agiter l'écouvillon dans un peu de sérum salé ou de bouillon de culture stérile, essorer l'écouvillon contre le bord interne du tube, réserver la suspension pour inoculer les cultures et utiliser l'écouvillon pour préparer une lame comme précédemment.
- Pour l'examen direct des prélèvements reçus sans écouvillon (pus profond ou autre fluide contenu dans une seringue, crachats etc.) :
- sélectionner les portions purulentes et/ou sanglantes du prélèvement à l'aide d'un instrument stérile (bâtonnet, pipette, anse) ;
- déposer sur une lame stérile et étaler le dépôt en frottis mince.
Certains prélèvements requièrent un mode opératoire spécifique[16] :
- Pour les prélèvements fluides particulièrement épais et/ou purulents, deux options :
- utiliser une goutte de sérum salé stérile pour diluer le prélèvement directement sur la lame ;
- ou déposer le prélèvement sur une lame, appliquer dessus une deuxième lame, puis les presser l'une contre l'autre en les faisant glisser pour former un frottis ; nettoyer tout débordement avec du papier absorbant imprégné d'antiseptique.
- Pour les produits pathologiques desséchés et/ou en très petite quantité :
- émulsifier le prélèvement dans 500 µL de bouillon de culture stérile, agiter si nécessaire ;
- transférer une goutte de liquide sur une lame et étaler en frottis mince avec la pointe de la pipette.
- Pour les biopsies et autres fragments tissulaires, trois possibilités :
- technique par apposition : placer le fragment dans une boîte de Pétri stérile, le découper en petits morceaux avec des ciseaux ou un scalpel, saisir l'un (ou plusieurs) de ces morceaux avec une pince et appliquer plusieurs fois la tranche de section sur la surface d'une lame, en regroupant les dépôts pour faciliter l'observation ;
- technique par écrasement : pour les tissus mous, procéder par écrasement entre deux lames comme pour les fluides très épais (cf. supra) :
- technique par broyage : en dernière intention, si aucune autre technique n'est applicable, broyer le prélèvement dans un peu de bouillon de culture stérile et déposer une goutte de broyat sur une lame.
Le mode opératoire diffère aussi pour les bactéries provenant d'une culture, selon qu'elle est réalisée[16] :
- En milieu liquide (bouillon) :
- prélever une ou deux gouttes de liquide à la seringue et l'étaler en frottis mince sur une lame ;
- si le bouillon de culture contient des particules de charbon activé, préparer le frottis comme une lame d'hématologie en utilisant une deuxième lame pour étaler le dépôt sur la première.
- En milieu solide (gélose) :
- déposer une goutte de sérum salé stérile sur une lame (l'eau distillée est à éviter car ce liquide hypotonique déforme les cellules bactériennes) ;
- prélever une portion d'une colonie à l'aide d'un instrument stérile (bâtonnet, aiguille, anse) et la déposer dans la goutte de sérum ;
- émulsifier et étaler en frottis mince, en ajustant la densité si besoin par ajout de sérum salé stérile (un texte doit être lisible à travers le frottis).
La fixation (en) tue les cellules bactériennes et les fait adhérer à la lame. Deux techniques sont utilisables[16] :
- Fixation traditionnelle à la chaleur[17] :
- passer la lame dans une flamme (lampe à alcool ou bec Bunsen) pendant quelques secondes, à deux ou trois reprises, en la laissant refroidir entre chaque passage ;
- cette technique améliore la résistance à la décoloration par rapport à l'absence de fixation, mais une exposition excessive à la chaleur produit le résultat inverse (bactéries fragilisées, plus vulnérables à la décoloration cf. infra) et peut déformer les bactéries.
- Fixation au méthanol[18] :
- laisser sécher à l'air la préparation, puis la recouvrir de méthanol pendant au moins une minute ;
- cette technique améliore la résistance à la décoloration, fixe mieux à la lame les cellules provenant de prélèvements liquides (urine, LCR etc.), préserve les hématies et produit un fond plus clair.
Préparation des solutions
La variante recommandée par l'ASM pour l'usage général est la coloration de Gram-Hucker qui s'inspire de la modification proposée par Hucker[19],[11].
Les solutions utilisées peuvent être préparées de la manière suivante[20] :
- solution de violet cristallisé à 2%, selon Hucker :
- solution mère à 10% : dissoudre 40 g de colorant dans 400 mL d'eau distillée (laisser reposer toute une nuit si besoin) ;
- solution d'oxalate d'ammonium à 1% : dissoudre 16 g de réactif dans 1600 mL d'eau distillée, conserver dans une bouteille de verre teinté ;
- solution de travail : mélanger 40 mL de solution mère préalablement filtrée avec 160 mL de solution d'oxalate d'ammonium à 1%.
- solution iodée de Lugol, selon Gram :
- solution mère : dissoudre 25 g d'iode et 50 g d'iodure de potassium dans 500 mL d'eau distillée, laisser reposer jusqu'à dissolution complète dans une bouteille de verre teinté ;
- solution de bicarbonate de sodium à 5% : dissoudre 50 g de réactif dans 1000 mL d'eau distillée ;
- solution de travail : mélanger 60 mL de solution mère de Lugol, 220 mL d'eau distillée et 60 mL de solution de bicarbonate de sodium à 5% dans une bouteille de verre teinté.
- solution de contre-coloration à la safranine à 0.1% :
- solution mère à 1% : dissoudre 5 g de colorant dans 500 mL d'éthanol à 95% ;
- solution de travail à 0.1% : mélanger 20 mL de solution mère avec 180 mL d'eau distillée.
- solution de contre-coloration à la fuchsine basique à 0,1% (ou 0,2%) :
- dissoudre 1 g (ou resp. 2 g) de colorant dans 100 mL d'éthanol absolu (pur) et laisser reposer toute une nuit ;
- filtrer, puis mélanger avec 900 mL d'eau distillée.
Protocole de coloration
Les étapes de la coloration sont les suivantes[19] :
- Préparer et fixer (en) le frottis ou autre préparation contenant les bactéries.
- Procéder à la coloration primaire :
- inonder la lame de solution de cristal violet (Hucker, solution de travail) et laisser agir 30 secondes ;
- déverser l'excès de liquide et rincer délicatement la préparation à l'eau du robinet.
- Procéder au mordançage à l'iode :
- rincer l'excès d'eau avec de la solution iodée (Gram, solution de travail) ;
- inonder la lame de solution iodée et laisser agir 30 secondes ;
- déverser l'excès de liquide et rincer délicatement la préparation à l'eau du robinet.
- Décolorer :
- laisser couler le décolorant (mélange acétone-éthanol 1:1 ou éthanol à 95%[21]) sur la préparation jusqu'à ce que le liquide de rinçage soit incolore (1 à 5 secondes pour l'acétone-éthanol) ;
- ajuster la durée de décoloration à la quantité de bactéries présentes sur la lame (prolonger la décoloration pour les préparations denses et/ou épaisses) ;
- rincer délicatement la préparation à l'eau du robinet.
- Procéder à la contre-coloration[22] et observer :
- inonder la lame de solution colorante et laisser agir 30 secondes (pour la safranine) à 1 minute (pour la fuchsine basique) ;
- déverser l'excès de liquide et rincer délicatement la préparation à l'eau du robinet ;
- laisser sécher à l'air (ou sécher par tamponnement) ;
- observer à l'objectif à immersion : les structures Gram positives sont colorées en bleu-violet et les structures Gram négatives sont colorées en rose-rouge.
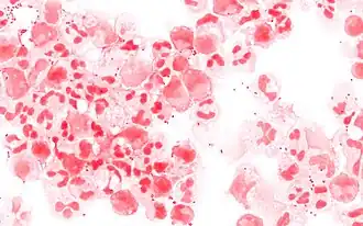
Résultats (galeries de photos)
- Exemples de micro-organismes à Gram positif


Streptocoques sur fond de PNN Gram –
E. faecalis en culture pure
C. diphtheriae d'aspect typique renflé aux extrémités
B. subtilis en culture pure
Cellules d'une levure Gram +
- Exemples de micro-organismes à Gram négatif
E. coli en culture pure
Y. enterocolitica en culture pure
P. fluorescens disposés en chaînettes
Bacilles Gram – non identifiés
N. gonorrhoeae sur fond de PNN Gram –
H. influenzae et PNN dans un produit d'expectoration
Variantes
Coloration de Gram à la fuchsine phéniquée
Cette variante est recommandée par l'ASM pour certaines bactéries difficilement colorables par la méthode standard de Gram-Hucker : Bacteroides, Fusobacterium, Legionella, Campylobacter, Brucella etc.[19] Elle peut paraître inspirée de la méthode de Gram-Nicolle[9] mais c'est ici la coloration secondaire qui est renforcée, pas la coloration primaire. Ce résultat est obtenu par l'adjonction de phénol, qui agit comme un tensioactif et facilite la pénétration du colorant secondaire (contre-colorant), ou simplement par l'utilisation d'une solution de fuchsine basique plus concentrée.
Les solutions peuvent être préparées de la manière suivante[20] :
- solution de violet cristallisé à 2%, selon Hucker : idem cas général (cf. supra)
- solution iodée de Lugol, selon Gram : idem cas général (cf. supra)
- solution de contre-coloration à la fuchsine basique phéniquée à 0.3% :
- solution de contre-coloration à la fuchsine basique à 0.8% : idem cas général (cf. supra) avec 8 g de colorant.
Les étapes de la coloration sont les suivantes[19] :
- Préparer et fixer (en) le frottis ou autre préparation contenant les bactéries : idem cas général (cf. supra).
- Procéder à la coloration primaire, puis au mordançage à l'iode : idem cas général (cf. supra).
- Décolorer :
- laisse couleur de l'éthanol à 95% sur la préparation jusqu'à ce que le liquide de rinçage soit incolore (environ 30 secondes) ;
- rincer délicatement à l'eau du robinet.
- Procéder à la contre-coloration et observer :
- inonder la lame de solution colorante et laisser agir au moins 1 minute ;
- déverser l'excès de liquide et rincer délicatement la préparation à l'eau du robinet ;
- laisser sécher à l'air (ou sécher par tamponnement) ;
- observer à l'objectif à immersion : les structures Gram positives sont colorées en bleu-violet et les structures Gram négatives sont colorées en rose-rouge.
Coloration de Gram-Kopeloff
Cette variante est recommandée par l'ASM pour les bactéries anaérobies et notamment pour le diagnostic microbiologique de vaginose bactérienne[19]. Elle s'inspire directement de la technique décrite par Kopeloff[10]. L'emploi de solutions alcalinisées de colorant primaire et d'iode, d'une solution de contre-coloration plus concentrée, l'exposition prolongée aux colorants et l'exposition abrégée au décolorant améliorent la coloration de ces bactéries qui se colorent mal (trop pâles) avec le protocole de Gram-Hucker.
Les solutions peuvent être préparées de la manière suivante[20] :
- solutions pour la coloration primaire au violet cristallisé, selon Kopeloff :
- solution de violet cristallisé à 1% : dissoudre 10 g de colorant dans 1000 mL d'éthanol à 95% ;
- solution de bicarbonate de sodium à 5% : dissoudre 50 g de réactif dans 1000 mL d'eau distillée.
- solution iodée de Lugol, selon Kopeloff :
- dissoudre 4 g d'hydroxyde de sodium dans 25 mL d'eau distillée ;
- ajouter 20 g d'iode et 1 g d'iodure de potassium et les dissoudre complètement ;
- transférer dans une bouteille en verre ambré et ajouter 975 mL d'eau distillée par portions, en mélangeant bien après chaque portion.
- solution de contre-coloration à la safranine à 2% :
- dissoudre 20 g de colorant dans le volume minimal d'éthanol permettant la dissolution complète (environ 50 mL) ;
- compléter à 1000 mL avec de l'eau distillée.
Les étapes de la coloration sont les suivantes[19] :
- Préparer et fixer (en) le frottis ou autre préparation contenant les bactéries : idem cas général (cf. supra).
- Procéder à la coloration primaire :
- inonder la lame de solution de violet cristallisé (Kopeloff) ;
- ajouter 5 gouttes de solution de bicarbonate de sodium à 5% et homogénéiser en soufflant sur la lame ou à l'aide d'un ventilateur ;
- laisser agir 2 à 3 minutes ;
- déverser l'excès de liquide et rincer délicatement la préparation à l'eau du robinet.
- Procéder au mordançage à l'iode :
- rincer l'excès d'eau avec de la solution iodée (Kopeloff) ;
- inonder la lame de cette même solution iodée et laisser agir au moins 2 minutes ;
- déverser l'excès de liquide et rincer délicatement la préparation à l'eau du robinet.
- Décolorer : laisser couler un mélange acétone-éthanol 3:7 sur la préparation et rincer immédiatement à l'eau du robinet.
- Procéder à la contre-coloration et observer :
- inonder la lame de solution colorante et laisser agir 10 à 30 secondes ;
- déverser l'excès de liquide et rincer délicatement la préparation à l'eau du robinet ;
- laisser sécher à l'air (ou sécher par tamponnement) ;
- observer à l'objectif à immersion : les structures Gram positives sont colorées en bleu-violet et les structures Gram négatives sont colorées en rose-rouge.
Domaine d'application, performances et limitations
Applications & performances
La coloration de Gram est tellement utile qu'elle a pu être qualifiée par certains de « coloration la plus importante en microbiologie »[12]. Elle n'est néanmoins pas exempte d'erreurs potentielles, et connaît des domaines d'application préférentiels tandis que son intérêt réel est débattu dans d'autres.
Dans le cas des arthrites septiques, plusieurs travaux rapportent des résultats décevants et en particulier une sensibilité très faible (souvent inférieure à 10%) de la coloration de Gram pour le diagnostic positif, que ce soit sur articulation native[23],[24] ou sur matériel[25],[26]. D'autres recherches nuancent ces conclusions, rapportant des sensibilités moins basses[27] ou soulignant la pertinence clinique des informations obtenues par cette méthode dans les rares cas de positivité[28],[29].
La situation est similaire dans le cas des pneumonies acquises sous ventilation mécanique (PAVM) : si certains auteurs soulignent la faible valeur prédictive négative de la coloration de Gram[30], d'autres mettent en avant son utilité potentielle pour réduire la consommation d'antibiotiques dirigés contre les bactéries habituellement résistantes telles que P. aeruginosa et les SARM[31]. Pour les pneumonies communautaires, acquises hors de l'hôpital et donc hors ventilation mécanique, une littérature plus consensuelle semble valider son utilité pour identifier la bactérie responsable[32],[33],[34].
Limites intrinsèques
La coloration de Gram ne différencie pas les archées ni cellules eucaryotes, puisque ces organismes sont dépourvus de peptidoglycane[35]. Certains genres bactériens sont plus ou moins inadaptés à cette technique de coloration :
- bactéries non colorables en Gram : soit parce qu'elles sont carrément dépourvues de paroi (Mycoplasma, Ureaplasma), soit parce que leur paroi ne contient pas de peptidoglycane (Chlamydia) ou trop peu (Rickettsia), ou parce qu'elle est cireuse et imperméable aux colorants (Mycobactéries) ;
- bactéries difficilement colorables en Gram : il s'agit des anaérobies et de certains genres bactériens (en particulier Bacteroides, Fusobacterium, Legionella, Campylobacter et Brucella) pour lesquels le recours à une variante (resp. Gram-Kopeloff ou Gram à la fuchsine phéniquée) donne de meilleurs résultats que le protocole standard de Gram-Hucker ;
- bactéries à Gram variable : catégorie à la pertinence discutée[36], on y trouve certains genres (Actinomyces, Arthrobacter, Butyrivibrio, Clostridium, Corynebacterium, Propionibacterium etc.) dont l'aspect Gram positif ou négatif varie d'une cellule à l'autre et/ou selon les modalités exactes du protocole de coloration, selon des mécanismes qui varient d'un genre à l'autre[37].
La coloration de Gram peut être mise en échec en cas de lésions préalables de la paroi bactérienne qui donnent un aspect Gram négatif ou variable à des bactéries normalement Gram positives[18]. C'est le cas notamment :
- lorsque les bactéries ont été phagocytées ou autrement altérées par une réaction inflammatoire significative de l'hôte ;
- en cas d'administration préalable d'antibiotiques, surtout ceux dont le mode d'action vise à détruire la paroi bactérienne (bêtalactamines, glycopeptides, fosfomycine etc.) ;
- en cas d'exposition à des enzymes autolytiques ;
- pour les bactéries cultivées, lorsque les cellules vieillissent et accumulent spontanément ce type de lésions[11],[38],[17].
D'autres facteurs peuvent intervenir[18] :
- pour les bactéries prélevées, l'abondance de mucus dans certains prélèvements peut gêner l'observation en fixant excessivement la contre-coloration (perte de contraste) ;
- pour les bactéries cultivées, la morphologie est idéalement préservée lorsque les cultures sont réalisées en milieu liquide et sont âgées de 18 à 24h ; les cultures trop jeunes ou trop âgées, la présence d'antibiotiques dans le milieu de culture ou d'autres paramètres défavorables (température, atmosphère) peuvent altérer les résultats.
Problèmes & solutions techniques
De nombreuses difficultés techniques potentielles ont été décrites[18]. Beaucoup se traduisent par un excès de décoloration qui confère un aspect faussement Gram négatif à des bactéries Gram positives :
- densité inadéquate de bactéries dans la préparation : le seuil de détection (de l'ordre de 10⁵ bactéries/mL[39]) doit être atteint, mais un excès de matériel nuit à la qualité de la coloration (mauvaise pénétration des colorants et du décolorant) ; la solution est d'adapter le protocole de préparation des lames (cf. supra) pour obtenir une densité adéquate ;
- faux positifs par contamination : plusieurs cas ont été décrits, par exemple par prolifération bactérienne dans les solutions de réactifs[40],[41] ou dans l'alimentation du laboratoire en eau déionisée[42] ;
- exposition à une chaleur excessive, en particulier lors de la fixation : les bactéries sont fragilisées, déformées et plus vulnérables à un excès de décoloration ; la fixation à la chaleur doit être brève si elle est employée[17], mais une fixation au méthanol la remplace avantageusement (cf. supra) ;
- exposition insuffisante au colorant primaire : des expériences dédiées ont démontré que si de très faibles concentrations de violet cristallisé suffisent à colorer les Gram positifs, la marge de manœuvre concernant le temps de décoloration augmente considérablement avec des solutions plus concentrées de colorant primaire[43] ;
- excès de rinçage à l'eau : le problème concerne surtout le premier rinçage, qui suit la coloration primaire avant qu'elle soit stabilisée par l'iode et sert à éviter la formation d'un précipité lorsque les deux solutions entrent en contact ; en pratique un rinçage de l'ordre de 5 secondes à la fin de chaque étape ne semble pas nuire aux résultats[43] ;
- exposition insuffisante à l'iode : en lien avec l'appauvrissement progressif en iode des solutions iodées au cours de leur stockage, surtout si le liquide est souvent exposé à l'air et/ou à la chaleur ambiante ; la solution est d'employer des solutions suffisamment concentrées, fraîchement préparées ou stabilisées par un « iodophore » tel que la PVP (solution de povidone iodée)[17] ;
- exposition excessive au décolorant, que ce soit en intensité et/ou en durée : point crucial de toute la procédure, la durée de la décoloration doit être adaptée à la puissance du décolorant et à l'expérience de l'opérateur ; les utilisateurs débutants ont intérêt à utiliser un décolorant « lent » tel que l'éthanol à 95% qui leur laisse une plus grande marge de manœuvre, les décolorants « rapides » tels que l'acétone-éthanol voire l'acétone pure étant à réserver aux plus expérimentés[18] ;
- excès de contre-coloration : les colorants basiques – et notamment la fuchsine basique – sont susceptibles de se substituer les uns aux autres lorsqu'ils sont appliqués de manière successive[44], bien que l'utilisation d'un mordant tel que l'iode ralentisse beaucoup le processus[45] ; pour éviter d'effacer la coloration primaire, la durée d'application de la contre-coloration doit donc être limitée.
Techniques alternatives
« Gram KOH »
Le but de cette méthode est de confirmer rapidement si une bactérie est à Gram positif ou à Gram négatif sans passer par les étapes de coloration habituelles et sans utiliser de microscope. Il suffit de mettre en contact (sur une lame pour microscope) une colonie isolée avec une goutte d'une solution de potasse (KOH) 3 %. À l'aide d'une pipette Pasteur, on mélange. Quelques secondes plus tard, on tire le mélange vers le haut. Si un filament se forme entre la pipette et la lame, la colonie isolée est alors constituée de bactéries Gram négatives ; si rien n'est entraîné par la pipette, on a affaire à des bactéries Gram positives. La méthode est proposée comme contrôle qualité de la coloration de Gram en 1977[46]. Lors d'une évaluation (John Buck, 1982) les résultats obtenus par cette méthode sur 400 souches de bactéries marines ont été confirmés par la coloration de Gram[47].
Notes et références
Notes
Références
- ↑ Friedländer C « Die Mikrokokken der Pneumonie » Fortschr Med. 1883;1(22):715-733. Accès libre (article en allemand).
- 1 2 Gram HC « Ueber die isolirte Färbung der Schizomyceten in Schnitt- und Trockenpräparaten » Fortschr Med. 1884;2(6):185-189. Accès libre (article en allemand).
- 1 2 Austrian R « The Gram stain and the etiology of lobar pneumonia, an historical note » Bacteriol Rev. 1960;24(3):261–265. DOI 10.1128/br.24.3.261-265.1960
- ↑ Cantey JB « “A defective and imperfect” method: H. Christian Gram and the history of the Gram stain » Ped Infect Dis J. 2015;34(8):848. DOI 10.1097/INF.0000000000000749
- ↑ Fraenkel A « Ueber die genuine Pneumonie (Aetiologie, Pathologie, Klinik, Therapie) » in: Verhandlungen des Congresses für innere Medizin – Dritter Congress, gehalten zu Berlin, 21.–24. April 1884. Wiesbaden : 1884, Verlag von J.F. Bergman, pp.17-31. Accès libre (article en allemand).
- ↑ Friedländer C « Weitere Arbeiten über die Schizomyceten der Pneumonie und der Meningitis » Fortschr Med. 1886;4(21):702-705. Accès libre (article en allemand).
- ↑ Weichselbaum A « XXXV. Ueber die Aetiologie der acuten Lungen- und Rippenfellentzündungen » Med Jahrbücher. 1886;1:483-554. Accès libre (article en allemand).
- ↑ Hucker GJ « Methods of Gram staining » NY Agric Exp Stn Tech Bull. 1923;93. Accès libre.
- 1 2 Nicolle M « Pratique des colorations microbiennes (méthode de Gram modifiée et méthode directe) » Ann Inst Pasteur (Paris). 1895;9(8):664-670. Accès libre
- 1 2 Kopeloff N & Beerman P « Modified Gram stains » J Infect Dis. 1922;31(5):480-482. DOI 10.1093/infdis/31.5.480
- 1 2 3 Hucker GJ & Cohn HJ « Further studies on the methods of Gram staining » NY Agric Exp Stn Tech Bull. 1927;128. Accès libre.
- 1 2 Popescu A & Doyle RJ « The Gram stain after more than a century » Biotech Histochem. 1996;71(3):145-151. DOI 10.3109/10520299609117151
- ↑ Silhavy TJ « The bacterial cell envelope » Cold Spring Harb Perspect Biol. 2010;2(5):a000414. DOI 10.1101/cshperspect.a000414
- ↑ Rohde M « The Gram-positive bacterial cell wall » Microbiol Spectr. 2019;7(3):10.1128/microbiolspec.gpp3-0044-2018. DOI 10.1128/microbiolspec.gpp3-0044-2018
- ↑ Fivenson EM « Co-ordinated assembly of the multilayered cell envelope of Gram-negative bacteria » Curr Opin Microbiol. 2024;79:102479. DOI 10.1016/j.mib.2024.102479
- 1 2 3 4 Chan WW « 3.2.1 Gram Stain » in : Leber AL (ed.) Clinical microbiology procedures handbook. Washington, DC : 4th ed, 2016, p. 3.2.1.4 (ISBN 9781555818807) DOI 10.1128/9781555818814.ch3.2.1
- 1 2 3 4 Magee CM et al. « A more reliable Gram staining technic for diagnosis of surgical infections » Am J Surg. 1975;130(3):341-346. DOI 10.1016/0002-9610(75)90398-0
- 1 2 3 4 5 McClelland R « Gram's stain: The key to microbiology » MLO Med Lab Obs. 2001;
- 1 2 3 4 5 6 Chan WW « 3.2.1 Gram Stain » in : Leber AL (ed.) Clinical microbiology procedures handbook. Washington, DC : 4th ed, 2016, p. 3.2.1.7 (ISBN 9781555818807) DOI 10.1128/9781555818814.ch3.2.1
- 1 2 3 Chan WW « 3.2.1 Gram Stain » in : Leber AL (ed.) Clinical microbiology procedures handbook. Washington, DC : 4th ed, 2016, p. 3.2.1.18 (ISBN 9781555818807) DOI 10.1128/9781555818814.ch3.2.1
- ↑ La décoloration (ou différenciation) est l'étape la plus critique de tout le processus. Un excès de décoloration tend à faire apparaître les Gram positifs comme faussement Gram négatifs. Pour éviter ce problème, les opérateurs moins expérimentés ont intérêt à utiliser un décolorant moins rapide tel que l'éthanol à 95%, qui leur permet de contrôler plus facilement le degré de décoloration.
- ↑ L'ASM recommande la fuschine basique de préférence à la safranine.
- ↑ Bram JT et al. « Gram stain is not clinically relevant in treatment of pediatric septic arthritis » J Pediatr Orthop. 2018;38(9):e536-e540. DOI 10.1097/BPO.0000000000001226
- ↑ Gbejuade H et al. « How well does synovial fluid Gram staining correlate with cultures in native joint infections? » Orthop Rev. 2019;11(4):8156. DOI 10.4081/or.2019.8156
- ↑ Johnson AJ et al. « Should Gram stains have a role in diagnosing hip arthroplasty infections? » Clin Orthop Relat Res. 2010;468(9):2387-2391. DOI 10.1007/s11999-009-1216-9
- ↑ Zywiel MG et al. « Gram stains have limited application in the diagnosis of infected total knee arthroplasty » Int J Infect Dis. 2011;15(10):e702-e705. DOI 10.1016/j.ijid.2011.05.015
- ↑ Zhang J et al. « The accuracy and diagnostic value of Gram staining joint aspirates in suspected joint infections » Hip Int. 2024;34(4):546–552. DOI 10.1177/1120700024123092
- ↑ Kunimatsu J et al. « Is Gram staining a diagnostic tool or a guide for optimal empirical therapy? » Int J Infect Dic. 2013;17(2):e136. DOI 10.1016/j.ijid.2012.06.003
- ↑ Smith C et al. « Multi-centre evaluation of Gram stain in the diagnosis of septic arthritis » J Bone Jt Infect. 2025;10(2):61-7. DOI 10.5194/jbji-10-61-2025
- ↑ Albert M et al. « Utility of Gram stain in the clinical management of suspected ventilator-associated pneumonia. Secondary analysis of a multicenter randomized trial » J Crit Care. 2008;23(1):74-81. DOI 10.1016/j.jcrc.2008.01.004
- ↑ Yoshimura J et al. « Effect of Gram stain–guided initial antibiotic therapy on clinical response in patients with ventilator-associated pneumonia. The GRACE-VAP randomized clinical trial » JAMA Netw Open. 2022;5(4):e226136. DOI 10.1001/jamanetworkopen.2022.6136
- ↑ Musher DM et al. « Diagnostic value of microscopic examination of Gram-stained sputum and sputum cultures in patients with bacteremic pneumococcal pneumonia » Clin Infect Dis. 2004;39(2):165-169. DOI 10.1086/421497
- ↑ Anevlavis S et al. « A prospective study of the diagnostic utility of sputum Gram stain in pneumonia » J Infect. 2009;59(2):83-89. DOI 10.1016/j.jinf.2009.05.011
- ↑ Del Rio-Pertuz G et al. « Usefulness of sputum gram stain for etiologic diagnosis in community-acquired pneumonia: a systematic review and meta-analysis » BMC Infect Dis. 2019;59(2):83-9. DOI 10.1016/j.jinf.2009.05.011
- ↑ Smith AC & Hussey MA (2005) « Gram stain protocols » sur le site de l'ASM, consulté le 7 mai 2025.
- ↑ Preston NW « Centenary of the Gram stain » J Infect. 1984;8(3):277-278. DOI 10.1016/s0163-4453(84)94219-1
- ↑ Beveridge TJ « Mechanisms of Gram variability in select bacteria » J Bacteriol. 1990;172(3):1609-1620. DOI 10.1128/jb.172.3.1609-1620.1990
- ↑ Lasseur P & Schmitt M « Étude de la réaction de Gram » Ann Inst Pasteur (Paris). 1927;41(5):554-575. Accès libre
- ↑ Shanholtzer CJ « Concentrated Gram stain smears prepared with a cytospin centrifuge » J Clin Microbiol. 1982;16(6):1052-1056. DOI 10.1128/jcm.16.6.1052-1056.1982
- ↑ Clarke SC & McIntyre M « Contamination of crystal violet in the Gram stain method » J Clin Pathol. 1995;48(1):92. DOI 10.1136/jcp.48.1.92-b
- ↑ O'Connell K et al. « Pseudo-outbreak of Gram-negative meningitis resulting from contaminated Gram stain reagents » J Bacteriol Mycol. 2016;3(1):1020. Accès libre
- ↑ Medcraft JW & New CW « False-positive gram-stained smears of sterile body fluids due to contamination of laboratory deionized water » J Hosp Infect. 1990;16(1):75-80. DOI 10.1016/0195-6701(90)90051-o
- 1 2 Bartholomew JW « Variables influencing results, and the precise definition of steps in Gram staining as a means of standardizing the results obtained » Stain Technol. 1962;37(3):139-155. DOI 10.3109/10520296209117723
- ↑ Adams E « Studies in Gram staining » Stain Technol. 1975;50(4):227-231. DOI 10.3109/10520297509117063
- ↑ Bartholomew JW et al. « Dye exchange in bacterial cells, and the theory of staining » Stain Technol. 1950;25(4):181-186. DOI 10.3109/10520295009110987
- ↑ Novel quality assurance procedure for the Gram stain Kohn, F. S., and S. A. Henneman. 1977 J. Am. Med. Technol. 39:20-21
- ↑ Nonstaining (KOH) method for determination of gram reactions of marine bacteria J D Buck - Appl Environ Microbiol. 1982 Oct; 44(4): 992–993
- Portail de la biochimie
- Portail de la biologie cellulaire et moléculaire
- Portail de la microbiologie
- Portail de la médecine