Cellule de Paneth

Les cellules de Paneth, avec les cellules caliciformes, les entérocytes et les cellules entéroendocrines, représentent les principaux types de cellules de l'épithélium de l'intestin grêle. Ce sont des cellules exocrines, également présentes dans l'appendice.
Histoire médicale
Ces cellules sont décrites pour la première fois par le physiologiste autrichien Joseph Paneth (1857-1890), qui leur a donné son nom.
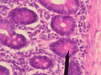
Description
Les cellules de Paneth sont situées exclusivement au fond des cryptes intestinales.
Ce sont des cellules séreuses volumineuses, pyramidales et basophiles à cause de leur sécrétion acidophile.
Elles contiennent des grains de zymogène au pôle apical.
Fonction antimicrobienne
Ces cellules jouent un rôle dans l'anté-immunité intestinale en sécrétant des peptides antimicrobiens (lysozyme, alpha-défensine comme la cryptidine) dans la lumière des cryptes intestinales ; protégeant ainsi les muqueuses intestinales contre les micro-organismes pathogènes.
Elles contribuent à la perméabilité sélective de l'intestin et font partie du système immunitaire[1] qui régule les relations (normalement symbiotiques) de l'intestin avec son microbiote[2].
Pathologie
Un dysfonctionnement des cellules de Paneth peut induire une dysbiose[3],[4]
Notes et références
- ↑ Genser, L., Poitou, C., Brot-Laroche, E., Rousset, M., Thenet, S., & Leturque, A. (2015). La perméabilité intestinale dans les maladies métaboliques: porosité, ou étanchéité?. Médecine des Maladies Métaboliques, 9(1), 11-17|résumé.
- ↑ Kolopp-Sarda, M. N. (2016). Système immunitaire muqueux et microbiote intestinal: Histoire d’une symbiose. Revue Francophone des Laboratoires, 2016(484), 39-47 | http://www.sciencedirect.com/science/article/pii/S1773035X16302222 résumé]
- ↑ Yvon, S., Peter, M., Leveque, M., Jard, G., Tormo, H., Gaucher, M., ... & Eutamène, H. (2014). P189: Proprietes anti-inflammatoire du lait d’anesse sur un modele d’ileite chez la souris. Nutrition Clinique et Métabolisme, 28, S167.
- ↑ Genser, L., Poitou, C., Brot-Laroche, É., Rousset, M., Vaillant, J. C., Clément, K., ... & Leturque, A. (2016). L’altération de la perméabilité intestinale : chaînon manquant entre dysbiose et inflammation au cours de l’obésité ?. médecine/sciences, 32(5), 461-469.
- (en) Cet article est partiellement ou en totalité issu de l’article de Wikipédia en anglais intitulé « Paneth cell » (voir la liste des auteurs).
Voir aussi
Articles connexes
Bibliographie
- Genser, L., Poitou, C., Brot-Laroche, É., Rousset, M., Vaillant, J. C., Clément, K., ... & Leturque, A. (2016). L’altération de la perméabilité intestinale : chaînon manquant entre dysbiose et inflammation au cours de l’obésité ?. médecine/sciences, 32(5), 461-469
- Portail de la médecine
- Portail de l’anatomie
- Portail de la biologie cellulaire et moléculaire