Cartilage épiphysaire

Cartilage épiphysaire
Identifiants
Nom latin
Lamina epiphysialis
MeSH
D006132
TA98
A02.0.00.020
TA2
395
FMA
75427

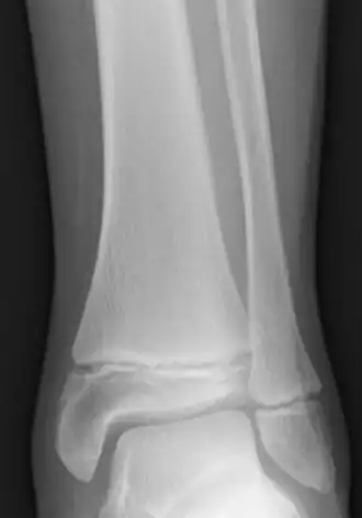
Le cartilage épiphysaire (ou plaque épiphysaire ou physe ou cartilage de conjugaison ou cartilage conjugal ou cartilage de croissance ou cartilage métaphyso-épiphysaire) est une plaque de cartilage hyalin unissant la métaphyse et l'épiphyse des os longs avant la fin de la croissance. C'est la partie d'un os long où la croissance osseuse a lieu et où l'os long s'allonge.

Terminologie

En 2019, ce terme n'est pas encore fixé par la deuxième version de la nomenclature anatomique internationale (en latin et anglais, non-traduite en français), qui retient le terme latin de lamina epiphysialis, en anglais epiphyseal plate, mais admet aussi physis[1], physe en français[2].

Pour autant le terme physe est de plus en plus utilisé, en particulier par l'Académie nationale de médecine dans son dictionnaire, en remplacement des synonymes historiques pour désigner la zone de croissance des os longs[2].

Description

Les cartilages épiphysaires sont des couches de cartilage hyalin entre l'épiphyse et la métaphyse des os longs.

Ils sont limités du côté de l'épiphyse par un sillon circulaire : l'encoche d'ossification de Ranvier. Cette dernière présente trois zones : une zone cartilagineuse, une zone osseuse et une zone fibreuse périphérique.

La zone périphérique est en continuité avec la virole périchondrale. Cette dernière formant un manchon autour du cartilage épiphysaire en continuité avec le périoste métaphysaire.

La zone fibreuse de l'encoche de Ranvier et la virole périchondrale contribuent au modelage et à la solidité du cartilage de conjugaison.

Embryologie

Les cartilages épiphysaire apparaissent pendant la période fœtale. Leur développement est lié aux hormones de croissance (en particulier l'IGF-1).

Durant la croissance, les cartilages épiphysaires génèrent du tissu osseux faisant croitre en longueur l'os.

L'ossification définitive du cartilage est provoquée par l'action des hormones sexuelles au moment de la puberté.

Le cartilage épiphysaire disparait à la fin de la croissance dès 12 ans pour les filles (en moyenne vers 14 - 15 ans) et dès 14 ans pour les garçons (en moyenne vers 15 - 17 ans)[3],[4],[5],[6]. Il est remplacé par la ligne épiphysaire.

Histologie

L'ossification endochondrale des cartilages épiphysaires est responsable du développement osseux initial à partir du cartilage in utero et chez les nourrissons et de la croissance longitudinale des os longs.

Les chondrocytes des cartilages épiphysaires sont en division constante par mitose du côté épiphysaire. Ces cellules filles s'empilent face à l'épiphyse tandis que les cellules plus âgées sont poussées vers la diaphyse. Au fur et à mesure que les chondrocytes plus anciens dégénèrent, les ostéoblastes ossifient les restes pour former un nouvel os. À la puberté, l'augmentation des niveaux d'œstrogènes, tant chez les femmes que chez les hommes, entraîne une augmentation de l'apoptose des chondrocytes dans les cartilages épiphysaires[7]. L'épuisement des chondrocytes dû à l'apoptose conduit à moins d'ossification et la croissance ralentit et s'arrête lorsque tout le cartilage a été remplacé par de l'os, ne laissant qu'une fine cicatrice épiphysaire qui disparaît[8].

Les cartilages épiphysaires sont organisés en couches[9] :

Couches de l'épiphyse à la diaphyse Description
Couche germinale de réserve Zone bien vascularisée contenant des cellules indifférenciées qui vont se différencier en chondrocytes proliférants sous l'influence des hormones de croissance.
Couche sériée ou zone proliférative Zone composée de chondrocytes ronds agencés en colonne et synthétisant une matrice extracellulaire riche en collagène (type II et XI) et en protéoglycanes.
Couche des cellules hypertrophiques Les chondrocytes arrêtent la mitose et commencent à s'hypertrophier en accumulant du glycogène, des lipides et de la phosphatase alcaline. Ils synthétisent du collagène X et des facteurs angiogéniques. Elles prennent progressivement un aspect vacuolaire par apoptose. Cette zone n'est pas vascularisée et est une zone de fragilité. C'est la zone des décollements épiphysaires.
Couche d'ossification ou zone dégénérative Cette couche est très vascularisée. C'est le début du processus d'ossification (ossification primaire) par destruction des débris cellulaires par des cellules phagocytaires et par calcification de la structure cartilagineuse. Le tissu cartilagineux calcifié est résorbé par les ostéoclastes. et les ostéoblastes forment du tissu ostéoïde.
Couche de remaniement Dans cette zone se produit l'ossification secondaire qui constitue l'os spongieux métaphysaire.

Aspect clinique

Des défauts dans le développement des cartilages épiphysaires peuvent entraîner des troubles de la croissance connus collectivement sous le nom d'ostéochondrodysplasie. Elles peuvent provoquer une petite taille et des déformations généralisées des os et des articulations en raison d'un fonctionnement anormal des cellules cartilagineuses de la plaque de croissance[10].

Le défaut le plus courant est l'achondroplasie, où il y a un défaut dans la formation des cartilages épiphysaires. L'achondroplasie est la cause la plus fréquente de nanisme. Elle se manifeste également par des déformations généralisées des os et des articulations.

La maladie des exostoses multiples est une maladie génétique causée par des irrégularités de croissance des cartilages épiphysaires des os longs des membres supérieurs[11] et inférieurs[12]. Il en résulte généralement des déformations des membres et un certain degré de limitations fonctionnelles.

Les fractures de Salter-Harris sont des fractures impliquant les plaques épiphysaires et qui interférent avec la croissance, la taille ou les fonctions physiologiques[13].

La maladie d'Osgood-Schlatter résulte d'un stress sur la plaque épiphysaire du tibia, entraînant une croissance osseuse excessive et une masse douloureuse au genou.

Il existe des implications cliniques importantes de la physiologie de la plaque de croissance. Par exemple, la chirurgie de croissance guidée, également connue sous le nom d'épiphysiodèse est utilisée pour corriger ou redresser les déformations osseuses dans une variété de troubles orthopédiques pédiatriques tels que le tibia varum de Blount, le rachitisme, l'arthrogrypose multiple congénitale et les ostéochondrodysplasies[14],[15],[16]. Ceci s’applique également aux déformations osseuses et articulaires telle que le genu varum, le genu valgum[15] ou le genu recurvatum[16].

Anatomie comparée

John Hunter a étudié l'élevage de poulets. Il a observé des os se développer aux extrémités et a ainsi démontré l'existence des plaques épiphysaires. Hunter est considéré comme le "père de la plaque de croissance"[17].

Notes et références

  1. (en) « TA2 Part II », dans Federative International Programme for Anatomical Terminology, Terminologia Anatomica, FIPAT.library.dal.ca., , 104 p. (lire en ligne [PDF]).
  2. 1 2 « Physe », sur Dictionnaire médical de l'Académie de Médecine, (consulté le ).
  3. Crowder et Austin, « Age ranges of epiphyseal fusion in the distal tibia and fibula of contemporary males and females », Journal of Forensic Sciences, vol. 50, no 5, , p. 1001–7 (PMID 16225203, DOI 10.1520/JFS2004542) :
    « complete fusion in females occurs as early as 12 years in the distal tibia and fibula. All females demonstrated complete fusion by 18 years with no significant differences between ancestral groups. Complete fusion in males occurs as early as 14 years in both epiphyses. All males demonstrated complete fusion by 19 years »
  4. Jarret, « Puberty: Tanner Stages – Boys », Pediatric HOUSECALLS (consulté le )
  5. Jarret, « Puberty: Tanner Stages – Girls », Pediatric HOUSECALLS (consulté le )
  6. « When do most males' growth plates close? », Zoodoc (consulté le )
  7. Zhong, Carney, DH, Boyan, BD et Schwartz, Z, « 17β-Estradiol regulates rat growth plate chondrocyte apoptosis through a mitochondrial pathway not involving nitric oxide or MAPKs. », Endocrinology, vol. 152, no 1, , p. 82–92 (PMID 21068162, DOI 10.1210/en.2010-0509)
  8. « Skeletal System / Bone Development and Growth » [archive du ] (consulté le )
  9. William K. Ovalle et Nahirney, Patrick C., Netter's essential histology : with Student consult online access, Philadelphia, Pa., 1st, (ISBN 9781929007868)
  10. El-Sobky, Shawky, Sakr et Elsayed, « A systematized approach to radiographic assessment of commonly seen genetic bone diseases in children: A pictorial review », Journal of Musculoskeletal Surgery and Research, vol. 1, no 2, , p. 25 (DOI 10.4103/jmsr.jmsr_28_17, S2CID 79825711)
  11. E.L.-Sobky, Samir, Atiyya et Mahmoud, « Current paediatric orthopaedic practice in hereditary multiple osteochondromas of the forearm: a systematic review », SICOT-J, vol. 4, , p. 10 (PMID 29565244, PMCID 5863686, DOI 10.1051/sicotj/2018002)
  12. Duque Orozco, Abousamra, Rogers et Thacker, « Radiographic Analysis of the Pediatric Hip Patients With Hereditary Multiple Exostoses (HME) », Journal of Pediatric Orthopaedics, vol. 38, no 6, , p. 305–311 (PMID 27328120, DOI 10.1097/BPO.0000000000000815, S2CID 23800752)
  13. Mirghasemi, Mohamadi, Ara et Gabaran, « Completely displaced S-1/S-2 growth plate fracture in an adolescent: case report and review of literature », Journal of Orthopaedic Trauma, vol. 23, no 10, , p. 734–738 (ISSN 1531-2291, PMID 19858983, DOI 10.1097/BOT.0b013e3181a23d8b, S2CID 6651435)
  14. Journeau, « Update on guided growth concepts around the knee in children. », Orthop Traumatol Surg Res, vol. S1877-0568, no 19, , S171–S180 (PMID 31669550, DOI 10.1016/j.otsr.2019.04.025)
  15. 1 2 EL-Sobky, Samir, Baraka et Fayyad, « Growth modulation for knee coronal plane deformities in children with nutritional rickets: A prospective series with treatment algorithm. », JAAOS: Global Research and Reviews, vol. 4, no 1, , e19.00009 (PMID 32159063, PMCID 7028784, DOI 10.5435/JAAOSGlobal-D-19-00009)
  16. 1 2 Trofimova, Buklaev, Petrova et Mulevanova, « Guided growth for correction of knee flexion contracture in patients with arthrogryposis: preliminary results. », Pediatric Traumatology, Orthopaedics and Reconstructive Surgery, vol. 4, no 4, , p. 64–70 (DOI 10.17816/PTORS4464-70)
  17. « Growth Plate (Physeal) Fractures », EMedicine.com (consulté le )

Liens externes

  • icône décorative Portail de l’anatomie
  • icône décorative Portail de la médecine