Carcinome pulmonaire à cellules géantes

Carcinome pulmonaire à cellules géantes
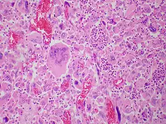
Description de l'image Giant cell carcinoma - Case 284 (13107156794).jpg.
Traitement
Spécialité Oncologie
Classification et ressources externes
CIM-10 C33 et C34
CIM-9 162
ICD-O 8031/3
MeSH D018286

Wikipédia ne donne pas de conseils médicaux Mise en garde médicale

Le carcinome pulmonaire à cellules géantes est un sous-type de carcinome pulmonaire à grandes cellules (ou carcinome anaplasique à grandes cellules).

Notes et références

    Voir aussi

    • icône décorative Portail de la médecine
    • icône décorative Portail de la biologie cellulaire et moléculaire