Carcinome adénoïde kystique

Carcinome adénoïde kystique
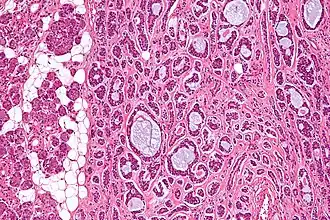
Description de cette image, également commentée ci-après
Aspect en microscopie optique.
Traitement
Spécialité Oncologie
Classification et ressources externes
ICD-O M8200/3
MeSH D003528

Wikipédia ne donne pas de conseils médicaux Mise en garde médicale

Un carcinome adénoïde kystique, ou cylindrome, est un cancer de la famille des adénocarcinomes, le plus souvent développé aux dépens des glandes salivaires, mais aussi de la trachée ou du canal lacrymal.

Liens externes

  • « Carcinome adénoïde kystique », sur Hôpital Lariboisière (consulté le ).
  • Yassine Ouadnouni, Mohammed Bouchikh, Ahmed Jahid, Abdellah Achir, Mohamed Smahi, Yassine Msougar, Marouane Lakranbi, Leila Herrak, Najat Mahassini, Abdelatif Benosman, « Carcinome adénoïde kystique tracheal », Pan Afr Med, (lire en ligne).
  • icône décorative Portail de la médecine