Cancer de l'endomètre

Cancer de l'endomètre
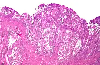
Description de cette image, également commentée ci-après
Coupe histologique d'un adénocarcinome endométrioïde, la forme la plus fréquente de cancer de l'endomètre. Coloration à l'hématoxyline et à l'éosine.
Traitement
Spécialité Oncologie
Classification et ressources externes
CISP-2 X77
CIM-10 C54.1
CIM-9 182
OMIM 608089
DiseasesDB 4252
MedlinePlus 000910
eMedicine 403578
radio/253
MeSH D016889
Patient UK Endometrial-cancer

Wikipédia ne donne pas de conseils médicaux Mise en garde médicale

Le cancer de l'endomètre, appelé aussi cancer du corps utérin, est le cancer qui se développe à partir de l'endomètre qui est le tissu de l'utérus où se produit la nidation. Au sens strict, ce terme générique désigne l'ensemble des tumeurs malignes (cancer) de l'endomètre. Dans l'usage, il désigne l'adénocarcinome de l'endomètre.

Il ne doit pas être confondu avec le cancer du col de l'utérus car les causes et les caractéristiques épidémiologiques de ces deux cancers sont différentes. Le cancer du col est un cancer de la femme jeune associé à une infection génitale par un virus transmis sexuellement, l'HPV (Human Papilloma Virus). Le cancer de l'endomètre touche le plus souvent la femme ménopausée.

Le cancer de l'endomètre est plutôt un cancer de bon pronostic. Souvent découvert précocement lors d'un bilan de saignement utérin chez une femme ménopausée, la tumeur est très fréquemment accessible à un traitement chirurgical curatif. Lorsqu'il est diagnostiqué à un stade plus avancé, les traitements utilisés comportent la chirurgie, la radiothérapie, la chimiothérapie ou l'hormonothérapie. Ces deux dernières thérapies sont le plus souvent appliquées lorsqu'un traitement curatif ne peut pas être envisagé.

Épidémiologie

En 1995, le nombre de cancers de l’endomètre diagnostiqués a été estimé à 4 600 cas en France et 1 200 personnes sont décédées de ce cancer en France.

Le taux d’incidence standardisé à la population des pays industrialisés de 15-25 pour 100 000 femmes[1]. Dans les pays industrialisés, son incidence est de 142 200[2]. Dans le monde, son incidence est de 200 000 nouveaux cas annuels avec 50 000 décès[3], faisant de ce cancer le deuxième plus fréquent de la sphère gynécologique (hors sein, le premier cancer étant celui du col de l'utérus). Cet incidence tend à croître dans les pays industrialisés[4].

Facteur de risque

Le facteur de risque principal non modifiable est l'âge[2]. Ce cancer survient le plus souvent chez la femme de 60 ans.

Le principal facteur de risque reconnu du cancer de l'endomètre est l'obésité[2]. Certains médicaments sont en cause dans l'apparition du cancer de l'endomètre, C'est le cas en particulier du tamoxifène[5] qui est utilisé, entre autres dans le traitement curatif du cancer du sein. Le bénéfice apporté par le tamoxifène dans le cancer du sein est bien souvent très supérieur au risque lié à l'apparition du cancer de l'endomètre.

L'utilisation d’œstrogènes seuls (sans un progestatif) dans le traitement substitutif de la ménopause, double le risque de survenue de ce cancer. L’association œstrogènes-progestatif annule ce sur risque[6].

Il existe également des prédispositions génétiques comme lors du syndrome de Lynch[7], responsable d'un peu moins de 10% des cancers de l'endomètre de la femme jeune[8].

Il existe des facteurs protecteurs comme la parité (nombre de grossesses) ou d'une contraception œstroprogestative[9].

Prévention

La prévention repose, en partie, sur le contrôle des facteurs de risques modifiables. Ainsi, la lutte contre l'obésité permet de réduire la fréquence du cancer de l'endomètre.

Le suivi gynécologique de la femme ménopausée permet le diagnostic précoce du cancer de l'endomètre. Chez une patiente traitée par tamoxifène, tout saignement, écoulement vaginal ou anomalie échographique de la muqueuse utérine doit être exploré à la recherche d'un cancer de ce type.

Différents types

Le cancer de l'endomètre est un carcinome, principalement un adénocarcinome, de différenciation glandulaire.

Les carcinomes de l'endomètre sont de plusieurs types histologiques : l'adénocarcinome endométrioïde est le plus fréquent (75 à 80 % des cas[7]), suivi du carcinome mixte (10 %), de l'adénocarcinome séreux (moins de 10 %, de mauvais pronostic et qui se traite comme un cancer de l'ovaire). Seule la forme endomètioïde est sensible aux hormones. L'adénocarcinome non endomètrioïde se voit plus fréquemment chez l'afro-américaine, avec un plus mauvais pronostic[7].

Les formes rares comprennent :

  • l'adénocarcinome à cellules claires, qui représente 4 %, de mauvais pronostic (grade 3) ;
  • l'adénocarcinome mucineux, qui représente 1 % ;
  • le carcinome indifférentié, de mauvais pronostic ;
  • la carcinosarcome, également de mauvais pronostic (grade 3) ;
  • le carcinome épidermoïde, représente moins de 1 %.

Ces carcinomes de l'endomètre ont la même modalité thérapeutiques, à l'exception du carcinome séreux qui est traité comme un adénocarcinome séreux de l'ovaire.

Clinique

Signes fonctionnels

La métrorragie est le symptôme qui retient toute l'attention du clinicien. Il s'agit le plus souvent de saignement génital, survenant après la ménopause. La survenue d'une métrorragie après la ménopause doit faire suspecter un cancer de l'endomètre, cause de ce saignement dans 5 à 10 % des cas des femmes ne recevant pas de traitement substitutif de la ménopause[10].

Parfois on observe à la place de la classique métrorragie une hydrorrhée (écoulement liquide non hémorragique) ou une leucorrhée.

Les douleurs sont rares et signent une extension du processus tumoral vers les organes adjacents.

Examen clinique

L'interrogatoire recherche des antécédents personnels et familiaux de cancer. Le traitement actuel ainsi que les autres antécédents sont notés pour être pris en compte dans le bilan pré-thérapeutique. Il s'agit d'une tumeur de la femme âgée, certaines ne pourront donc pas être opérée du fait des maladies associées ou de l'état général.

L'examen clinique confirme l'hémorragie extériorisée par le col de l'utérus et l'absence de lésion du col à l'examen au spéculum. La palpation retrouve parfois une masse utérine, parfois latéralisée, dure, voire sensible. La recherche d'adénopathie singuinales ou sus-claviculaire, un surpoids et l'évaluation de l'état général complète le bilan.

Imagerie

L'échographie par voie endovaginale a une très bonne sensibilité pour la détection de ce genre de cancer[11].

Diagnostic

Le diagnostic positif repose sur un prélèvement anatomo-pathologique réalisé lors d'un hystéroscopie.

Bilan d'extension

Le bilan d'extension recherche le degré d'extension locale de la maladie ainsi que la présence de métastases rétropéritonéales, hépatiques et pulmonaires.

Le bilan d'extension comporte au minimum une IRM pelvienne et/ou un scanner abdominal et une radiographie thoracique. L'IRM, avec injection d'un produit de contraste, semble être cependant le meilleur examen dans ce cadre[12].

Classification

Il existe plusieurs classifications permettant de choisir un traitement adapté :

  • classification de la Fédération internationale des gynécologues et obstétriciens (FIGO) ;
  • classification TNM ;
  • classification du MD Anderson Cancer Center[réf. souhaitée] ;
  • classification de l’Institut Gustave-Roussy.

La classification FIGO ("Fédération Internationale de Gynécologie-Obstétrique") est la plus fréquemment utilisée en France.

Une caractérisation moléculaire peut orienter le traitement dans les formes graves suivant le type de mutation retrouvé[13].

Classification de la Fédération internationale des gynécologues et obstétriciens (FIGO)

Elle a été publiée en 1988 et sa dernière version est de 2009[14].

Stade I, tumeur limitée au corps utérin

  • IA : tumeur limitée à l'endomètre
  • IB : envahissement de moins de la moitié du myomètre
  • IC : envahissement de plus de la moitié du myomètre

Stade II, tumeur atteignant le col, sans plus d'extension du myomètre

  • IIA : envahissement des glandes endocervicales uniquement
  • IIB : envahissement du stroma cervical

Stade III, envahissement local et/ou régional

  • IIIA : envahissement de la séreuse et/ou des annexes et/ou cytologie positive dans l'ascite ou dans le lavage péritonéal
  • IIIB : envahissement vaginal
  • IIIC : adénopathie métastatique pelvienne et/ou para-aortique

Stade IV

  • IVA : tumeur envahissant la muqueuse vésicale et/ou la muqueuse intestinale
  • IVB : métastases à distance, y compris les adénopathies inguinales et/ou intra-abdominales.

Grade histologique

Le grade histologique (de 1 à 3) est un facteur pronostic indépendant. Les carcinomes de l'endomètre à cellules claires et les carcinosarcomes sont toujours de grade 3.

Facteurs pronostiques

Les facteurs pronostiques reconnus dans le cancer de l'endomètre sont :

  • le Stade FIGO ;
  • l'infiltration du myomètre ;
  • le grade histologique ;
  • le type histologique (cellules claires et séreux de moins bon pronostic).

La survie à 5 ans est de :

  • 88 à 92 % dans les stades I
  • 69 à 86 % dans les stades II
  • 6 à 42 % dans les stades III
  • < 5 % dans les stades IV.

Traitements

Le traitement d'un cancer relève, le plus souvent, de services spécialisés et expérimentés. Il n'existe pas un traitement unique mais de multiples possibilités de traitement. Le choix de ce dernier impose une certaine expérience.

La prise en charge a fait l'objet de recommandations par la « European Society of Gynaecological Oncology » (ESGO), l'« European SocieTy for Radiotherapy and Oncology » (ESTRO) et l'« European Society of Pathology » (ESP) datent de 2021[15].

Méthodes thérapeutiques

Le traitement du cancer de l'endomètre repose sur la chirurgie, la chimiothérapie, la radiothérapie et les soins de support. La chirurgie est le seul traitement curatif du cancer de l'endomètre. Elle peut être complétée par la radiothérapie et plus rarement par la chimiothérapie si le risque de rechute est important.

Lorsque la tumeur ne peut être extraite de façon complète, ou quand la patiente n'est pas en mesure, ou refuse la chirurgie, le traitement n'est plus curatif. Son objectif consiste alors à réduire les symptômes liés à la maladie et retarder sa progression. Le traitement repose ainsi sur la radiothérapie, la chimiothérapie et l'hormonothérapie.

Chimiothérapie

Les molécules actives sont la doxorubicine, les sels de platine, le cyclophosphamide, le paclitaxel.

Les protocoles les plus fréquemment utilisés sont :

  • doxorubicine-cisplatine ;
  • paclitaxel-carboplatine[16] ;
  • carboplatine-cyclophosphamide.

Lorsqu'une patiente est opérée de façon complète, une chimiothérapie de complément, appelée chimiothérapie adjuvante, peut lui être proposée afin de réduire le risque de récidive.

La chimiothérapie métastatique apporte un bénéfice en termes de survie globale. Cette chimiothérapie dont l'objectif n'est pas de guérir la patiente mais de réduire la symptomatologie et de retarder l'évolution de la maladie doit être adaptée à l'état de la patiente afin de ne pas affecter sa qualité de vie.

Un essai du GOG a montré que cisplatine plus adriamycine était supérieur à l'adriamycine seule, avec un taux de réponses tumorales de 45 % contre 27 %.

Hormonothérapie

Le traitement hormonal par progestatifs est actif dans le cancer de l'endomètre métastatique[17] (hydroxyprogestérone, médroxyprogestérone, mégestrol).

Chirurgie

La chirurgie curative du cancer de l'endomètre comporte une hystérectomie totale (comprenant l'ablation des trompes et des ovaires) avec un curage ganglionnaire adapté au stade de la maladie[18], pouvant être guidé par le prélèvement du ganglion sentinelle[19]. Elle peut être faite par laparotomie classique ou par cœlioscopie avec des résultats équivalents[20]. L'intérêt d'une lymphadénectomie large systématique n'est pas démontré[21]. Elle peut être accompagnée d'une biopsie du péritoine dans les formes que l'on suppose non limitées[22].

Radiothérapie

La radiothérapie des carcinomes de l'endomètre comprend une radiothérapie externe pelvienne (par accélérateur linéaire > 10 MV) de 45 Gy en 5 semaines et une curiethérapie vaginale à bas débit de dose (20 Gy).

Stratégies thérapeutiques

Les formes à risque faible

Il s'agit des carcinomes de l'endomètre avec atteinte du myomètre < 50 % et grade 1 ou 2. Dans ce cas, on propose une hystérectomie totale sans traitement adjuvant.

Dans le cas de femmes jeunes avec désir de grossesse, un dispositif intra-utérin relarguant du levonorgestrel permet d'avoir un taux notable de réponse[23] mais avec un risque de récidive[24].

Tumeurs limitées à l'utérus (stades I et II hors bon pronostic)

Il est proposé une hystérectomie totale avec curage ganglionnaire pelvien, associée à une curiethérapie vaginale post-opératoire. L'intérêt du curage ganglionnaire dans ces formes est toutefois contesté[25],[26]. L'irradiation pelvienne externe n'a également pas démontré d'intérêt[27].

Tumeurs localement étendues, stades IIIA, B et C, IVA

Le traitement consiste en une hystérectomie totale, avec omentectomie (ablation du grand épiploon) et prélèvements ganglionnaires iliaques bilatéraux, avec irradiation externe pelvienne post-opératoire. En cas d'extension au col utérin et/ou vaginale, une curiethérapie vaginale à bas débit de dose de 20 Gy est associée.

La chimiothérapie adjuvante à la chirurgie et la radiothérapie est à l'étude (épirubicine - cisplatine ou paclitaxel - cisplatine) dans les formes stade IIIC, IVA, ainsi que les types histologiques séreux ou à cellules claires.

Formes non opérables d'emblée

La radiothérapie externe avec curiethérapie utéro-vaginale à bas débit est réservée à ces formes[28].

Carcinomes de d'endomètre métastatique

Une chimiothérapie par cisplatine - adriamycine en première ligne ou Paclitaxel - carboplatine en seconde ligne est effectuée. L'hormonothérapie (progestérone haute dose) donne 15 à 30 % de réponse et peut être proposée aux femmes âgées ou dans les cancers d'évolution lente. Les formes résistantes peuvent bénéficier de l'association lenvatinib-pembrolizumab permettant des rémissions plus longues[29].

Dépistage

Il n'existe pas de méthode simple et efficace de dépistage du cancer de l'endomètre, la fiabilité de l'échographie transvaginale n'étant pas assez bonne[30]. Le frottis de l'endomètre est une méthode invasive qui n'est proposée que lorsque les facteurs de risque sont très importants comme lors d'un syndrome de Lynch[18].

L'essentiel est d'informer la femme de ne pas négliger les petits saignements (métrorragies) et de consulter son gynécologue à ce moment[18].

Articles connexes

Notes et références

    1. (en) Nicolaije KA, Ezendam NP, Vos MC, Boll D, Pijnenborg JM, Kruitwagen RF, Lybeert ML, van de Poll-Franse LV, « Follow-up practice in endometrial cancer and the association with patient and hospital characteristics: a study from the population-based p. Profiles registry », Gynecol Oncol, vol. 129, no 2, , p. 324-31. (PMID 23435365, DOI 10.1016/j.ygyno.2013.02.018)
    2. 1 2 3 (en) Oldenburg CS, Boll D, Nicolaije KA, Vos MC, Pijnenborg JM, Coebergh JW, Beijer S, van de Poll-Franse LV, Ezendam NP., « The relationship of body mass index with quality of life among endometrial cancer survivors: a study from the population-based Profiles registry », Gynecol Oncol, vol. 129, no 1, , p. 216-21. (PMID 23296262, DOI 10.1016/j.ygyno.2012.12.041)
    3. (en) Sankaranarayanan R, Ferlay J, « Worldwide burden of gynaecological cancer: the size of the problem » Best Pract Res Clin Obstet Gynaecol. 2006;20:207-25.
    4. (en) Bray F, Dos Santos Silva I, Moller H, Weiderpass E, « Endometrial cancer incidence trends in Europe: underlying determinants and prospects for prevention » Cancer Epidemiol Biomarkers Prev. 2005;14:1132-42
    5. Swerdlow AJ, Jones ME, Tamoxifen treatment for breast cancer and risk of endometrial cancer: a case-control study, J Natl Cancer Inst, 2005;97:375-384
    6. (en) Jick SS, Walker AM, Jick H. « Estrogens, progesterone, and endometrial cancer » Epidemiology. 1993;4:20-4. PMID 8380547
    7. 1 2 3 Lu KH, Broaddus RR, Endometrial cancer, N Engl J Med, 2020;383:2053-2064
    8. Lu KH, Schorge JO, Rodabaugh KJ et al. Prospective determination of prevalence of Lynch syndrome in young women with endometrial cancer, J Clin Oncol, 2007;25:5158-5164
    9. Collaborative Group on Epidemiological Studies on Endometrial Cancer, Endometrial cancer and oral contraceptives: an individual participant meta-analysis of 27 276 women with endometrial cancer from 36 epidemiological studies, Lancet Oncol, 2015;16:1061-1070
    10. (en) Saso S, Chatterjee J, Georgiou E et al. « Endometrial cancer » BMJ. 2011;343:doi:10.1136/bmj.d3954 DOI 10.1136/bmj.d3954
    11. (en) Smith-Bindman R, Kerlikowske K, Feldstein VA et al. « Endovaginal ultrasound to exclude endometrial cancer and other endometrial abnormalities » JAMA. 1998;280:1510-7.
    12. (en) Kinkel K, Kaji Y, Yu KK et al. « Radiologic staging in patients with endometrial cancer: a meta-analysis » Radiology. 1999;212:711
    13. Kandoth C, Schultz N, Cherniack AD et al. Cancer Genome Atlas Research Network: Integrated genomic characterization of endometrial carcinoma, Nature, 2013;497:67-73
    14. (en) Creasman W. « Revised FIGO staging for carcinoma of the endometrium » Int J Gynaecol Obstet. 2009;105:109. PMID 19345353
    15. (en) Concin N, Matias-Guiu X, Vergote I et al. ESGO/ESTRO/ESP guidelines for the management of patients with endometrial carcinoma, Int J Gynecol Cancer, 2021;31:12-39
    16. Miller DS, Filiaci VL, Mannel RS et al. Carboplatin and paclitaxel for advanced endometrial cancer: final overall survival and adverse event analysis of a phase III trial (NRG Oncology/GOG0209), J Clin Oncol, 2020;38:3841-3850
    17. Ethier JL, Desautels DN, Amir E, MacKay H, Is hormonal therapy effective in advanced endometrial cancer? A systematic review and meta-analysis, Gynecol Oncol, 2017;147:158-166
    18. 1 2 3 Crosbie EJ, Kitson SJ, McAlpine JN, Mukhopadhyay A, Powell ME, Singh N, Endometrial cancer, Lancet, 2022;399:412-1428
    19. Soliman PT, Westin SN, Dioun S et al. A prospective validation study of sentinel lymph node mapping for high-risk endometrial cancer, Gynecol Oncol, 2017;146:234-239
    20. (en) de la Orden SG, Reza MM, Blasco JA, Andradas E, Callejo D, Perez T, « Laparoscopic hysterectomy in the treatment of endometrial cancer: a systematic review » J Minim Invasive Gynecol. 2008;15:395
    21. Frost JA, Webster KE, Bryant A, Morrison J, Lymphadenectomy for the management of endometrial cancer, Cochrane Database of Systematic Reviews, 2017(10)
    22. Joo WD, Schwartz PE, Rutherford TJ et al. Microscopic omental metastasis in clinical stage I endometrial cancer: a meta-analysis, Annals of surgical oncology, 2015;22:3695-700
    23. Pal N, Broaddus RR, Urbauer DL et al. Treatment of low-risk endometrial cancer and complex atypical hyperplasia with the levonorgestrel-releasing intrauterine device, Obstet Gynecol, 2018;131:109-116
    24. Gunderson CC, Fader AN, Carson KA, Bristow RE, Oncologic and reproductive outcomes with progestin therapy in women with endometrial hyperplasia and grade 1 adenocarcinoma: a systematic review, Gynecol Oncol, 2012;125:477-482
    25. (en) Benedetti Panici P, Basile S, Maneschi F et al. « Systematic pelvic lymphadenectomy vs no lymphadenectomy in early-stage endometrial carcinoma: randomized clinical trial » J Natl Cancer Inst. 2008;100:1707-1716
    26. (en) The writing committee on behalf of the Astec study group, « Efficacy of systematic pelvic lymphadenectomy in endometrial cancer (Astec): a randomised trial » Lancet. 2009;373:125-136.
    27. (en) The Astec/EN.5 writing committee, « Adjuvant external beam radiotherapy in the treatment of endometrial cancer (MRC Astec and NCIC CTG EN.5 randomised trials): pooled trial results, systematic review, and meta-analysis » Lancet 2009;73:137-146
    28. Sapienza LG, Ning MS, De La Pena R et al. Outcomes and toxicity after salvage radiotherapy for vaginal relapse of endometrial cancer, International Journal of Gynecologic Cancer, 2020;30(10)
    29. Makker V, Colombo N, Casado Herráez a et al. Lenvatinib plus pembrolizumab for advanced endometrial cancer, N Eng J Med, 2022;386:437-448
    30. Breijer M, Peeters JA, Opmeer BC, Clark TJ, Verheijen RH, Mol BW, Timmermans A, Capacity of endometrial thickness measurement to diagnose endometrial carcinoma in asymptomatic postmenopausal women: a systematic review and meta‐analysis, Ultrasound in obstetrics & gynecology, 2012;40:621-9.
    • icône décorative Portail de la médecine