Cancer bronchique à petites cellules
| Spécialité | Oncologie |
|---|
| CISP-2 | R84 |
|---|---|
| ICD-O | M8041/3 |
| DiseasesDB | 7616 |
| MedlinePlus | 000122 |
| eMedicine | 280104 |
| MeSH | D018288 |
Mise en garde médicale

Les cancers bronchiques à petites cellules (ou carcinomes pulmonaires à petites cellules) sont des cancers du poumon plus fréquents chez les fumeurs, aussi bien chez le sujet âgé que chez le sujet jeune. Ils sont le plus souvent de siège hilaire ou médiastino-pulmonaire ; plus rarement, ils peuvent se présenter comme une tumeur périphérique, isolée (moins de 10 % des cas). On distingue les formes intrathoraciques pures et les formes extrathoraciques d'emblée. Leur évolution est très rapide localement et à distance et s'accompagne souvent de syndrome paranéoplasique.
Épidémiologie
Facteurs de risque
Le tabagisme est le principal facteur de risque des cancers bronchiques à petites cellules[1]. L'odds ratio des fumeurs actifs, comparés aux non fumeurs, de développer un cancer à petites cellules, est de 14,3[2]. Il est de 13,4 pour l'ensemble des cancers du poumon[2]. Des cas sporadiques sont cependant décrits chez les non fumeurs[3].
L'intensité du tabagisme, la précocité de l'addiction, et sa durée, augmentent tous le risque de cancer à petites cellules[2]. L'arrêt du tabac permet de diminuer le risque, dès la première année du sevrage, et le risque continue de diminuer au cours des 10 ans qui suivent[4].
Fréquence
Les cancers bronchiques à petites cellules constituent 15 à 20 % des cancers primitifs pulmonaires[1]. Historiquement, ils atteignaient en majorité les hommes, qui en 1973 constituaient 72 % des patients, mais le sex ratio s'est équilibré à partir de 2002[1]. La fréquence de la maladie a également diminué, en raison du recul du tabagisme, mais aussi de la modification de la composition des cigarettes[2]. Les patients sont des adultes d'âge mûr, souvent entre 65 et 70 ans[5].
Manifestations cliniques
Mode de découverte
Au moment du diagnostic, les patients présentent généralement des symptômes liés à la croissance rapide de la tumeur à l'intérieur du thorax[5] : toux, essoufflement, voire un syndrome cave supérieur[6] par compression des vaisseaux.
Les syndromes paranéoplasiques sont fréquents, et atteignent le plus souvent le système endocrine[5]. Les plus courants sont l'hyponatrémie[7] (15 % des patients) liée à un syndrome de sécrétion inappropriée d'hormone anti-diurétique, le syndrome de Cushing[8] (2 à 5 % des patients) par production de corticotropine par les cellules tumorales, et la myasthénie[9] de Lambert-Eaton (3 % des patients).
Imagerie
Le but des examens d'imagerie est de réaliser le bilan d'extension de la tumeur, et ainsi d'obtenir la stadification la plus précise possible. De celle-ci dépendra en effet le traitement mis en route[10].
Radiographie thoracique et scanner
TEP scanner
Biomarqueurs
Plusieurs biomarqueurs sont dosables, sans toutefois présenter un intérêt dans le diagnostic ou le suivi[5]. La GRP, produite par les cellules neuroendocrines, en fait partie[11].
Stratégie diagnostique
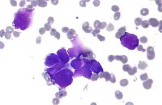
Anatomie pathologique
Le diagnostic histologique doit être obtenu par une biopsie de la tumeur. Celle-ci peut être réalisée[5] par fibroscopie bronchique, par EBUS ou chirurgicalement par médiastinoscopie.
La classification histologique des cancers à petites cellules a été établie par l'OMS en 1999[12]. Ils appartiennent à la famille des tumeurs neuroendocrines[5].
Des critères morphologiques ont été établis. Les cancers à petites cellules présentent[5] des cellules de petite taille, avec peu de cytoplasme et un noyau finement granulé dépourvu de nucléoles. Ces tumeurs étant très actives, il existe un grand nombre de mitoses avoisinant des plages de nécrose.
Les cancers à petites cellules expriment des marqueurs de différenciation neuroendocrine, en particulier la chromogranine et la synaptophysine[5]. L'antigène NSE n'est en revanche pas spécifique[5], car exprimé par deux tiers des cancers non à petites cellules, de même que l'antigène TTF1[5].
Stades
Classification TNM de 2007[13],[14]:
- T (tumeur) :
- T1 : tumeur ≤ 3 cm dans sa plus grande dimension, sans envahissement de la bronche souche :
- T1a : tumeur ≤ 2 cm ;
- T1b : tumeur de plus de 2 cm sans dépasser 3 cm ;
- T2 : tumeur de 3 à 7 cm dans ou présentant une atteinte de la bronche souche à 2 cm ou plus de la carène, une invasion de la plèvre viscérale ou entraînant une atélectasie ou d’une pneumopathie obstructive n'intéressant par l'intégralité du poumon :
- T2a : tumeur de plus de 3 cm sans dépasser 5 cm ;
- T2b : tumeur de plus de 5 cm sans dépasser 7 cm ;
- T3 : Tumeur de plus de 7 cm ou envahissant la paroi thoracique, le diaphragme, le nerf phrénique, la plèvre médiastinale, pariétale ou le péricarde pariétal ; ou une tumeur dans la bronche souche à moins de 2 cm de la carène sans l'envahir ; ou associée à une atélectasie ou une pneumopathie obstructive du poumon entier ; ou accompagnée d'un ou plusieurs autres nodules distincts dans le même lobe ;
- T4 : Tumeur de toute taille envahissant le médiastin, le cœur, les gros vaisseaux, la trachée, le nerf laryngé récurrent, l'œsophage, les vertèbres, ou la carène ; ou présence d'un nodule tumoral distinct dans un autre lobe du poumon atteint.
- T1 : tumeur ≤ 3 cm dans sa plus grande dimension, sans envahissement de la bronche souche :
- N (envahissement ganglionnaire régional) :
- N0 : pas d'atteinte ganglionnaire ;
- N1 : atteinte des ganglions intrapulmonaires, péribronchiques et/ou hilaires homolatéraux ;
- N2 : atteinte des ganglions médiastinaux homolatéraux et/ou sous carinaires ;
- N3 : atteinte des ganglions médiastinaux controlatéraux, hilaires controlatéraux, scalènes ou susclaviculaires homo- ou controlatéraux.
- M (métastases à distance) :
- M0 : pas de métastases à distance ;
- M1 : présence de métastases à distance :
- M1a : métastases pulmonaires controlatérales, pleurales ou péricardiques ;
- M1b : métastases extra-thoraciques.
En cancérologie, la stadification est la classification standardisée des tumeurs selon leur extension locale, régionale et à distance[15]. La stadification des cancers bronchiques à petites cellules la plus couramment utilisée est de type TNM[16]. Les classifications TNM sont basées sur trois critères : la taille de la tumeur (T), l'envahissement ganglionnaire (N) et la présence et la localisation des métastases (M).
La classification TNM actuelle a été établie par l'IASLC en 2007[13], et est en cours de modification pour que la nouvelle version soit intégrée à la 8e édition de la classification TNM des tumeurs malignes[16]. Cette classification a valeur de référence internationale et est issue de la base de données gérée par l'IASLC, qui collige les dossiers de 81 015 patients suivis à travers le monde[13].
Les sites de métastase les plus fréquents sont le foie, les surrénales, l'os, la moelle osseuse et le cerveau[17].
De la classification TNM découle une stadification validée par l'OMS[14].
La classification binaire en stade précoce et stade avancé, établie en 1957 par la Veterans Administration Lung Study Group présente une moins bonne corrélation au pronostic que celle de l'IASLC et son utilisation, autrefois répandue, n'est plus recommandée[18].
Traitement
Le traitement des cancers à petites cellules est à base de radiothérapie et de chimiothérapie.
Pronostic
Au moment du diagnostic, seulement 5 % des patients présentent une tumeur localisée ; 21 % ont une extension ganglionnaire régionale, et 70 % sont au stade métastatique[19].
Le pronostic est sombre, avec une survie à 5 ans de 40 % pour les stades IA et de 1 % pour les stades IV[20].
Certains facteurs de bon pronostic ont été identifiés[21] : sexe féminin, plus jeune âge, bon état général et faible nombre de sites métastatiques. La présence d'un syndrome cave supérieur au moment du diagnostic initial n'est pas un facteur de mauvais pronostic[6].
Notes et références
- 1 2 3 (en) R. Govindan, « Changing Epidemiology of Small-Cell Lung Cancer in the United States Over the Last 30 Years: Analysis of the Surveillance, Epidemiologic, and End Results Database », Journal of Clinical Oncology, American Society of Clinical Oncology (ASCO), vol. 24, no 28, , p. 4539-4544 (ISSN 0732-183X, DOI 10.1200/jco.2005.04.4859, lire en ligne).
- 1 2 3 4 (en) Fabio Barbone, Massimo Bovenzi, Furio Cavallieri et Giorgio Stanta, « Cigarette Smoking and Histologic Type of Lung Cancer in Men », Chest, Elsevier BV, vol. 112, no 6, , p. 1474-1479 (ISSN 0012-3692, DOI 10.1378/chest.112.6.1474, lire en ligne).
- ↑ (en) Ana Tavares e Castro, Joana Clemente, L. Carvalho, Sara Freitas et Jessica Cemlyn-Jones, « Small-cell lung cancer in never-smokers: A case series », Lung Cancer, Elsevier BV, vol. 93, , p. 82-87 (ISSN 0169-5002, DOI 10.1016/j.lungcan.2016.01.006, lire en ligne).
- ↑ (en) Sadik A. Khuder et Anand B. Mutgi, « Effect of Smoking Cessation on Major Histologic Types of Lung Cancer », Chest, Elsevier BV, vol. 120, no 5, , p. 1577-1583 (ISSN 0012-3692, DOI 10.1378/chest.120.5.1577, lire en ligne).
- 1 2 3 4 5 6 7 8 9 10 (en) David Planchard et Cécile Le Péchoux, « Small cell lung cancer: new clinical recommendations and current status of biomarker assessment », European Journal of Cancer, Elsevier BV, vol. 47, , S272-S283 (ISSN 0959-8049, DOI 10.1016/s0959-8049(11)70173-3, lire en ligne).
- 1 2 (en) Florian Würschmidt, Henry Bünemann et Hans-Peter Heilmann, « Small cell lung cancer with and without superior vena cava syndrome: A multivariate analysis of prognostic factors in 408 cases », International Journal of Radiation Oncology*Biology*Physics, Elsevier BV, vol. 33, no 1, , p. 77-82 (ISSN 0360-3016, DOI 10.1016/0360-3016(95)00094-f, lire en ligne).
- ↑ (en) Christian Grohé, Rossanna Berardi et Volker Burst, « Hyponatraemia\u2014SIADH in lung cancer diagnostic and treatment algorithms », Critical Reviews in Oncology/Hematology, Elsevier BV, vol. 96, no 1, , p. 1-8 (ISSN 1040-8428, DOI 10.1016/j.critrevonc.2015.04.005, lire en ligne).
- ↑ (en) Hélène Nagy-Mignotte, Oxana Shestaeva, Lucile Vignoud, Pascale Guillem, Stéphane Ruckly, Olivier Chabre, Linda Sakhri, Michael Duruisseaux, Mireille Mousseau, Jean-François Timsit et Denis Moro-Sibilot, « Prognostic Impact of Paraneoplastic Cushing’s Syndrome in Small-Cell Lung Cancer », Journal of Thoracic Oncology, Elsevier BV, vol. 9, no 4, , p. 497-505 (ISSN 1556-0864, DOI 10.1097/jto.0000000000000116, lire en ligne).
- ↑ (en) Min Zhang, Yueqiao Hao, Jinmeng Hu, Yajun Zhang, Weichao Liu et Shanshan Lu, « Lambert-Eaton myasthenic syndrome in patients with small cell lung cancer: Report of five cases », J Can Res Ther, Medknow, vol. 11, no 5, , p. 95 (ISSN 0973-1482, DOI 10.4103/0973-1482.163853, lire en ligne).
- ↑ (en) Treadwell JR, Mitchell MD, Tsou A, Torigian D, Aggarwal C et Schoelles KM, Imaging for the Pretreatment Staging of Small Cell Lung Cancer, Rockville, Agency for Healthcare Research and Quality, , 102 p. (lire en ligne).
- ↑ :
« La GRP, équivalent chez les mammifères de la bombésine chez les amphibiens, est secrétée par le cancer bronchique à petites cellules »
- ↑ (en) W. D. Travis, T. V. Colby, B. Corrin, Y Shimosato et E Brambilla, Histological Typing of Lung and Pleural Tumours, Springer, coll. « World Health Organization. International Histological Classification of Tumours », , 156 p. (ISBN 978-3-642-60049-4, lire en ligne).
- 1 2 3 (en) Patti A. Groome, Vanessa Bolejack, John J. Crowley, Catherine Kennedy, Mark Krasnik, Leslie H. Sobin et Peter Goldstraw, « The IASLC Lung Cancer Staging Project: Validation of the Proposals for Revision of the T, N, and M Descriptors and Consequent Stage Groupings in the Forthcoming (Seventh) Edition of the TNM Classification of Malignant Tumours », Journal of Thoracic Oncology, Elsevier BV, vol. 2, no 8, , p. 694-705 (ISSN 1556-0864, DOI 10.1097/jto.0b013e31812d05d5, lire en ligne).
- 1 2 « Cancer bronchique à petites cellules - Référentiel national de RCP », sur Institut National du Cancer, (consulté le )
- ↑ « Stadification », sur Société canadienne du cancer (consulté le ).
- 1 2 (en) Andrew G. Nicholson, Kari Chansky, John Crowley, Ricardo Beyruti, Kaoru Kubota, Andrew Turrisi, Wilfried E.E. Eberhardt, Jan van Meerbeeck et Ramón Rami-Porta, « The International Association for the Study of Lung Cancer Lung Cancer Staging Project: Proposals for the Revision of the Clinical and Pathologic Staging of Small Cell Lung Cancer in the Forthcoming Eighth Edition of the TNM Classification for Lung Cancer », Journal of Thoracic Oncology, Elsevier BV, vol. 11, no 3, , p. 300-311 (ISSN 1556-0864, DOI 10.1016/j.jtho.2015.10.008, lire en ligne).
- ↑ (en) Bonnie S Glisson et Lauren A Byers, « Pathobiology and staging of small cell carcinoma of the lung », sur UpToDate.com (consulté le ).
- ↑ (en) Patrick Micke, Andreas Faldum, Tsegay Metz, Kai-Michael Beeh, Fernando Bittinger, Jan-Georg Hengstler et Roland Buhl, « Staging small cell lung cancer: Veterans Administration Lung Study Group versus International Association for the Study of Lung Cancer : what limits limited disease? », Lung Cancer, Elsevier BV, vol. 37, no 3, , p. 271-276 (ISSN 0169-5002, DOI 10.1016/s0169-5002(02)00072-7, lire en ligne).
- ↑ (en) American Lung Association, Epidemiology and Statistics Unit, Research and Program Services Division, « Trends in lung cancer morbidity and mortality », sur www.lung.org, (consulté le ).
- ↑ (en) Frances A. Shepherd, John Crowley, Paul Van Houtte, Pieter E. Postmus, Desmond Carney, Kari Chansky, Zeba Shaikh et Peter Goldstraw, « The International Association for the Study of Lung Cancer Lung Cancer Staging Project: Proposals Regarding the Clinical Staging of Small Cell Lung Cancer in the Forthcoming (Seventh) Edition of the Tumor, Node, Metastasis Classification for Lung Cancer », Journal of Thoracic Oncology, Elsevier BV, vol. 2, no 12, , p. 1067-1077 (ISSN 1556-0864, DOI 10.1097/jto.0b013e31815bdc0d, lire en ligne).
- ↑ (en) Nathan R. Foster, Sumithra J. Mandrekar, Steven E. Schild, Garth D. Nelson, Kendrith M. Rowland, Richard L. Deming, Timothy F. Kozelsky, Randolph S. Marks, James R. Jett et Alex A. Adjei, « Prognostic factors differ by tumor stage for small cell lung cancer », Cancer, Wiley-Blackwell, vol. 115, no 12, , p. 2721-2731 (ISSN 0008-543X, DOI 10.1002/cncr.24314, lire en ligne).
Voir aussi
Liens externes
- « Cancers à petites cellules », sur Institut National du Cancer (consulté le )
- M. Gatineau et E. Jauffret, « Cancers bronchiques à petites cellules », sur Faculté de médecine Pierre et Marie Curie (consulté le )
- « Cancer du poumon à petites cellules », sur Orphanet, (consulté le )
- « Cancer bronchique à petites cellules », sur OncoLogik, (consulté le )
- Portail de la médecine