Bunionette

La bunionette, ou Tailor's bunion en anglais[1], est une affection causée par une inflammation sur l'os du cinquième métatarse à la base du petit orteil[2]. Elle est similaire à l'hallux valgus, un problème affectant le gros orteil. Elle est appelée ainsi car, au siècle dernier, les tailleurs s'asseyaient les jambes croisées et on croyait alors que c'était la cause de cette saillie de la face externe du pied[3].
Elle est aussi connue sous les noms de métatarsalgie, kératose plantaire intraitable[4], oignon du couturier[5], ou encore quintus varus[6].
La bunionette est habituellement caractérisée par une inflammation, de la douleur et une rougeur à la base du petit orteil.
Souvent, la bunionette est causée par une structure défaillante du pied, sorte de malformation congénitale. L'os du cinquième métatarse commence à se déplacer et dépasser vers l'extérieur, tandis que le petit orteil se déplace vers l'intérieur. Ce changement d'alignement crée un élargissement du côté externe du pied.
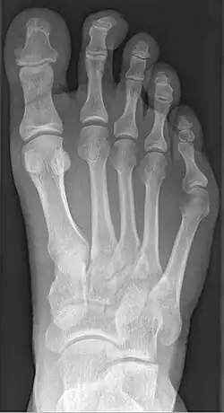
La bunionette est facilement diagnostiquée, car la saillie est apparente. Des radiographies peuvent être prescrites afin d'aider le chirurgien à déterminer l'ampleur de la déformation.
Facteurs aggravants
Traitement
Options non chirurgicales :
- Modification des souliers - Porter des souliers plus larges au niveau des orteils et éviter les souliers à bout pointu ou à talon haut.
- Médication orale - Des anti-inflammatoires non stéroïdiens peuvent aider à soulager la douleur et l'inflammation.
- Traitement par injection - Des injections de corticostéroïde sont communément utilisés pour traiter l'inflammation.
- Rembourrage - Bunionette pads placés sur la zone affectée peuvent aider à réduire la douleur.
- Mettre de la glace - Du froid peut être appliqué pour réduire la douleur et l'inflammation.
Autre option : chirurgie ; elle est souvent considérée quand la douleur perdure sans amélioration avec ces thérapies non chirurgicales[7].
Complications
Les complications de la bunionette sont les suivantes :
- Douleur chronique
- Apparition d’une plaie
- Arthrose
- Ostéite
- Bursite inflammatoire aiguë
- Amplification de la déviation osseuse
- Luxation de l’articulation.
Notes et références
- ↑ (en) Bunionette (Tailor's Bunion) - A Patient's Guide to Bunionette (Tailor's Bunion) sur www.eorthopod.com
- ↑ "Tailor's Bunion". footphysicians.com. Retrieved 2009-12-31.
- ↑ (en) « A Patient's Guide to Bunionette (Tailor's Bunion) » Medical Multimedia Group, 22 juillet 2002, consulté le 31 décembre 2009
- ↑ (en) "Metatarsalgia/intractable plantar keratosis/Tailor's bunion.". National Guideline Clearinghouse. 12/28/2009. Retrieved 2009-12-31.
- ↑ (fr) quintus varus superductus sur www.doctor-rabat.net
- ↑ Le quintus varus ou « oignon » du couturier sur www.epitact.com
- ↑ La Pathologie du "Quintus Varus" sur www.chirorthosarrus.com
- Portail de la médecine