Bronchiolite oblitérante avec organisation pneumonique

Bronchiolite oblitérante avec organisation pneumonique
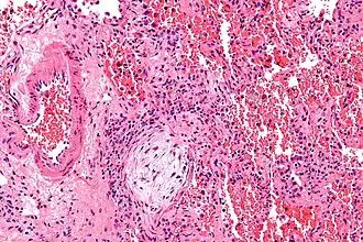
Description de cette image, également commentée ci-après
Micrographie montrant un corps de Masson (excentré à gauche/en bas de l'image - circulaire pâle et paucicellulaire), tel qu'on peut l'observer dans la pneumonie organisatrice cryptogénique. Le corps de Masson obstrue les voies respiratoires. L'artère associée à la voie respiratoire oblitérée est également visible (à l'extrême gauche de l'image). Coloration à l'hématoxyline et à l'éosine.
Symptômes toux, respiration laborieuse, fièvre, fatigue, perte de poids inattendue
Traitement
Spécialité Pneumologie
Classification et ressources externes
DiseasesDB 31684
eMedicine 354305
MeSH D018549

Wikipédia ne donne pas de conseils médicaux Mise en garde médicale

La bronchiolite oblitérante avec organisation pneumonique (BOOP) est une maladie des poumons. Il s'agit d'une réaction non spécifique des poumons à différents types d'attaques externes[1].

Notes et références

  1. C. Dahlqvist et al., « Bronchiolite oblitérante avec pneumonie organisée après chimiothérapie de type FOLFOX 4 », Revue des Maladies Respiratoires, vol. 27, no 1, , p. 84-7. (DOI 10.1016/j.rmr.2009.06.001, lire en ligne [PDF], consulté le )
  • icône décorative Portail de la médecine