Boulimie
| Causes | Génétique et facteurs environnementaux[1],[2] |
|---|---|
| Symptômes | Vomissement |
| Complications | Carie dentaire, humeur dépressive, anxiété, abus de substances, suicide[1] |
| Diagnostic | Basé sur les antécédents médicaux de la personne[3] |
|---|---|
| Différentiel | Anorexie, hyperphagie boulimique, syndrome de Kleine-Levin, trouble de la personnalité limite [3] |
| Traitement | Thérapie cognitivo-comportementale[1] |
| Médicament | Inhibiteurs sélectifs de la recapture de la sérotonines, antidépresseurs tricycliques[2],[4] |
| Pronostic | La moitié se rétablit au bout de 10 ans avec un traitement[2]. |
| Spécialité | Psychiatrie |
| Fréquence | 3. 6 millions (2015)[5] |
|---|
| CISP-2 | P86 |
|---|---|
| CIM-10 | F50.2 |
| CIM-9 | 307.51 |
| OMIM | 607499 |
| DiseasesDB | 1770 |
| MedlinePlus | 000341 |
| eMedicine |
806548 med/255 |
| MeSH | D052018 |
| Patient UK | Bulimia-nervosa |
Mise en garde médicale
La boulimie nerveuse, également connue sous le nom de boulimie, est un trouble des conduites alimentaires caractérisé par des crises de frénésie alimentaire suivie, ou non, d'une purge[1]. La frénésie alimentaire consiste à manger une grande quantité de nourriture en un court laps de temps[1]. La purge consiste à essayer de se débarrasser de la nourriture consommée[1]. Cela peut se faire en vomissant ou en prenant des laxatifs[1]. Parmi les autres méthodes de perte du poids peuvent être inclus l'utilisation de diurétiques, de stimulants, le jeûne hydrique ou un exercice physique excessif[1],[2].
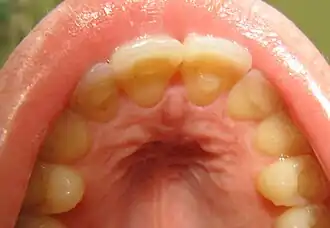
La majorité des personnes atteintes de boulimie ont un poids normal[6]. Les vomissements forcés peuvent entraîner un épaississement de la peau sur les jointures et une carie dentaire[1]. La boulimie est fréquemment associée à d'autres troubles mentaux tels que la dépression, l'anxiété et des problèmes de drogue ou d'alcool[1]. Le risque de suicide et d'automutilation[7] est également élevé.
La boulimie est plus fréquente chez ceux ayant un proche atteint de la maladie[1]. Le taux de risque estimé dû à la génétique se situe entre 30 % et 80 %[2]. Le stress psychologique, la pression sociale pour atteindre un certain type de corps, une faible estime de soi et l'obésité[1],[2], sont d'autres facteurs de risque de la maladie. La vie dans une société qui encourage les régimes amaigrissants et le fait d'avoir des parents qui s'inquiètent du poids sont également des risques[2]. Le diagnostic est basé sur les antécédents médicaux du patient[3] ; Cependant, cela est difficile, car les gens sont généralement réservés au sujet de leurs habitudes de leurs frénésies alimentaires et de purge[2]. En outre, le diagnostic d'anorexie mentale prend le pas sur celui de boulimie[2]. D'autres troubles similaires sont l'hyperphagie boulimique, le syndrome de Kleine-Levin et le trouble de la personnalité limite[3].
La thérapie cognitivo-comportementale est le principal traitement de la boulimie[1],[8]. Les antidépresseurs de la classe des inhibiteurs sélectifs de la recapture de la sérotonine (ISRS) ou d'antidépresseurs tricycliques peuvent avoir un effet limité[2],[4]. Bien que les résultats obtenus avec la boulimie soient généralement meilleurs que chez ceux souffrant d'anorexie, le risque de décès chez les personnes touchées est plus élevé que celui de la population en général[7]. Dix ans après avoir reçu un traitement, environ 50 % des personnes sont complètement rétablies[2].
À l'échelle mondiale, on estimait que la boulimie touchait 3,6 millions de personnes en 2015[5]. Environ 1 % des jeunes femmes souffrent de boulimie à un certain moment donné et environ 2 % à 3 % des femmes en souffrent à un moment donné de leur vie[7]. La condition est moins courante dans les pays en voies de développement[2]. La boulimie est environ neuf fois plus susceptible de survenir chez les femmes que chez les hommes[3]. Chez les femmes, les taux sont les plus élevés chez les jeunes adultes[3]. La boulimie a été nommée et décrite pour la première fois par le psychiatre britannique Gerald Russell en 1979[9],[10].
Épidémiologie
Sa prévalence estimée est comprise entre 1 et 1,5 % de la population : 1,5 % chez les femmes et 0,5 % chez les hommes. La population touchée est plutôt urbaine, et âgée de 10 à 19 ans[11].
Ces chiffres pourraient être sous-estimés du fait de la difficulté à détecter la boulimie avec comportement compensatoire, qui ne crée pas d'obésité symptomatique[12].
Diagnostic
Repérage
Le repérage repose soit sur une évaluation clinique, avec des questions spécifiques, soit l'utilisation de questionnaires adaptés comme le SCOFF-F ou l'ESP. Il permet une prise en charge précoce et donc la réduction du risque de passage en forme chronique et les complications associées[13].
La population cible sont les jeunes adolescentes, aux antécédents familiaux de TCA, avec un IMC normal. Certaines activités professionnelles ou de loisirs sont à risque : mannequinat, courses hippiques, culturisme, natation synchronisée, danse, athlétisme et gymnastique[13].
Critères DSM-5
Les critères diagnostics sont[11] :
- Survenue d'épisodes récurrents d'hyperphagie incontrôlée : absorptions alimentaires largement supérieures à la moyenne en peu de temps avec une impression de perdre le contrôle des quantités ingérées ou de la possibilité d'arrêter l'épisode.
- Recours à des comportements compensatoires afin d'éviter la prise de poids : vomissements provoqués, prise de laxatifs ou diurétiques, jeûnes, exercice physique excessif.
- Au moins 1 fois par semaine pendant au moins 3 mois.
- Avec perturbation de l'estime de soi, de manière excessive, par la forme ou le poids du corps.
- Ne survient pas exclusivement au cours d'une période d'anorexie mentale.
Un trouble durable ponctué de crises
La boulimie se manifeste par des comportements compulsifs de consommation de nourriture, en grande quantité. Visant à compenser un sentiment de mal-être, les aliments choisis sont assez stéréotypés : très caloriques, souvent sucrés (gâteaux, crèmes, glaces…) parfois salés (charcuterie, fromages…). Ce trouble se distingue de la gourmandise, le boulimique ne ressentant pas nécessairement la faim, sa fringale l'incitant à manger même ce qu'il n'aime pas[14].
L'état d'anxiété du boulimique se solde par des crises, dans lesquelles se cumulent une fixation de l'idée de manger, un sentiment de honte et une attitude vorace. La manducation vient combler un manque, de manière similaire à une addiction, et conduit à des actes aberrants ou incontrôlés. L'ingestion massive et brutale de nourriture s'arrête avec la sensation de saturation, parfois jusqu'à ce qu'apparaissent de violentes douleurs abdominales. Le sujet est alors souvent en proie à un malaise physique, associé à la souffrance psychologique, la culpabilité d'avoir cédé à la pulsion et la dévalorisation de son image[15].
Ces prises alimentaires sont souvent associées à un maintien du poids, en raison des tactiques de contrôle du poids plus ou moins dangereuses ou inefficaces : vomissements, exercice physique, crise d'anorexie, usage de laxatifs, de diurétiques, de lavements ou de médicaments coupe-faim. La boulimie peut être isolée en trouble du comportement mais se combine parfois avec d'autres : les syndromes dépressifs, les troubles anxieux, des conduites addictives (comorbidité).
30 à 60 % des individus souffrant de troubles alimentaires souffrent également d'un trouble de la personnalité de type borderline. La boulimie est alors un symptôme[16].
Complications
La boulimie peut être à l'origine d'un syndrome pseudo-occlusif, d'une prise de poids, d'une dénutrition, d'une hypertrophie des glandes salivaires, d'érosions dentaires, d'une œsophagite peptique, d'un syndrome de Mallory-Weiss, d'une insuffisance rénale fonctionnelle, d'une ostéoporose, et de troubles hydroélectrolytiques (hypokaliémie, hypocalcémie et hyponatrémie)[11].
Étiopathogénie
Les causes de la boulimie sont complexes et multiples, issues d’une combinaison de facteurs émotionnels, comportementaux, psychologiques et sociaux. Ces facteurs sont paradoxalement très proches de ceux de l'anorexie mentale, les deux maladies étant fréquemment liées. Un même patient peut souffrir d'une combinaison des deux maladies, ou d'une alternance d'anorexie et de boulimie.
La boulimie est généralement associée de l'anxiété, du stress, de la dépression et à des troubles de règles (aménorrhée et dysménorrhée). Selon une étude, une protéine bactérienne pourrait même être en cause dans l'apparition de ce TCA[17].
Facteurs psychologiques et sociaux
Des émotions diverses et contradictoires expliquent l'apparition d'un comportement boulimique : l'excès d'ennui et l’envie d'exister, le besoin de calmer sa nervosité ou d'extérioriser son agressivité, une identification à une image de force, la recherche d'un réconfort ou encore une réaction face à une frustration, un sentiment d'injustice ou d'abandon[18].
Violence sexuelle
40 % des femmes boulimiques ayant subi une violence sexuelle dans leur enfance ont des comportements de vomissement et/ou des crises de fringale plus importants que les autres, surtout si l’abus sexuel était intrafamilial, violent et précoce (avant 14 ans)[19]. Dans ces cas, une dévoration compulsive, frénétique et autodestructrice est observée.
Une corrélation est notée entre trouble du comportement alimentaire (boulimie et anorexie) et trouble de la sexualité. Une proportion anormalement élevée de cas d'abus sexuel lors de l'enfance et de l'adolescence a été soulignée par plusieurs études épidémiologiques[20],[21].
Une interprétation psychiatrique voit la boulimie comme une réaction de défense contre la séduction et l'acte sexuel par la déformation du corps (obésité notamment) ; à l'instar de l'anorexie qui viserait les mêmes objectifs en ramenant le corps à l'état pré-pubère (aménorrhée notamment).
Traitement
Les aides psychologiques les mieux évaluées sont les psychothérapies cognitivo-comportementales. Les résultats sont controversés, mais elles semblent plus efficaces que des traitements médicamenteux tels que la fluoxétine.[réf. nécessaire]
Anecdotiquement, les thérapies utilisant l'hypnose ericksonienne ont été étudiées sur petits échantillons[22], et semblent prometteuses[23] car elles permettent la modification de croyances profondes qu'a personne boulimique sur elle-même. De plus, cette thérapie permettrait une durée de soin plus courte vis-à-vis d'autres prises en charge. Cependant, les études sur le sujet restent incomplètes[24].
D'autres psychothérapies sont utilisées, mais leurs évaluations comparatives sont encore plus pauvres : psychothérapie psychanalytique ou d'inspiration psychanalytique, thérapies systémiques familiales, psychothérapie interpersonnelle.
Une thérapie nutritionnelle y est associée, mais très souvent les résultats obtenus par celle-ci ne durent pas, ce qui prouve que la boulimie est un symptôme. Une thérapie qui vise plus particulièrement le trouble de la personnalité sous-jacent à la boulimie donnera plus de résultat. Elle peut se faire individuellement, mais (comme dans le cas des personnalités alcooliques ou toxicomanes) elle est plus performante lorsqu'il s'agit d'une thérapie de groupe. Il existe également des groupes de soutien, sur le modèle des Alcooliques anonymes : les Outremangeurs Anonymes. La prise en charge doit aussi favoriser l'insertion sociale, familiale, scolaire.
Rarement, des antidépresseurs seront prescrits, pour surmonter un cap particulièrement pénible.
La nutrition entérale exclusive est un troisième traitement possible. Il se fait par la pose d'une sonde naso-gastrique au domicile du sujet. Celui-ci pendant une durée de quelques semaines sera alimenté exclusivement par poche, en n'ayant droit de boire que de l'eau. La personne réapprendra à manger au fur et à mesure par la suite. Ce type de cure permet de diminuer fortement les crises[25]. En cas de récidive, le traitement peut être repris avec une baisse de l'efficacité. Un suivi psychologique est demandé en parallèle du traitement.
Évolution
- Disparition avec le temps mal expliquée[26][réf. nécessaire], le plus souvent, mais non sans souffrance qui doit justifier une consultation spécialisée.
- Passage à la chronicité : la boulimie perdure[27][réf. nécessaire], avec des rechutes fréquentes, et des risques sérieux pour la santé[28]. Cela pourrait montrer la fixation du sujet sur un ou des évènements non résolus dans sa vie.
- Apparition d'une dépression, de conduites addictives (drogues, alcool) : déplacement du symptôme de la boulimie vers d'autres modes d'expression de la souffrance.
- Porte d'entrée vers l'anorexie : retournement de la pulsion sur la personne propre et renversement dans le contraire[29].
- Invalidité scolaire, affective, sociale : déplacement du vide ressenti dans d'autres domaines.
- Durée de vie réduite.
Notes et références
- 1 2 3 4 5 6 7 8 9 10 11 12 13 « Fiche d'information sur la boulimie » [archive du ], sur Office on Women's Health, (consulté le )
- 1 2 3 4 5 6 7 8 9 10 11 12 Hay PJ, Claudino AM, « Bulimia nervosa », BMJ Clinical Evidence, vol. 2010, , p. 1009 (PMID 21418667, PMCID 3275326)
- 1 2 3 4 5 6 American Psychiatric Association, Diagnostic and Statistical Manual of Mental Disorders, Arlington, VA, American Psychiatric Publishing, , Fifth éd., 345-349 (ISBN 978-0-89042-555-8, lire en ligne)
- 1 2 McElroy SL, Guerdjikova AI, Mori N, O'Melia AM, « Current pharmacotherapy options for bulimia nervosa and binge eating disorder », Expert Opinion on Pharmacotherapy, vol. 13, no 14, , p. 2015-26 (PMID 22946772, DOI 10. 1517/14656566.2012.721781)
- 1 2 (en) Theo Vos, Christine Allen, Megha Arora et Ryan M. Barber, « Global, regional, and national incidence, prevalence, and years lived with disability for 310 diseases and injuries, 1990–2015: a systematic analysis for the Global Burden of Disease Study 2015 », The Lancet, vol. 388, no 10053, , p. 1545–1602 (DOI 10.1016/S0140-6736(16)31678-6, lire en ligne)
- ↑ Bulik CM, Marcus MD, Zerwas S, Levine MD, La Via M, « The changing "weightscape" of bulimia nervosa », The American Journal of Psychiatry, vol. 169, no 10, , p. 1031-6 (PMID 23032383, PMCID 4038540, DOI 10. 1176/appi.ajp.2012 .12010147)
- 1 2 3 « Epidemiology of eating disorders: incidence, prevalence and mortality rates », Current Psychiatry Reports, vol. 14, no 4, , p. 406–14 (PMID 22644309, PMCID 3409365, DOI 10.1007/s11920-012-0282-y)
- ↑ « A systematic review of evidence for psychological treatments in eating disorders: 2005-2012 », The International Journal of Eating Disorders, vol. 46, no 5, , p. 462–9 (PMID 23658093, DOI 10.1002/eat.22103)
- ↑ « Bulimia nervosa: an ominous variant of anorexia nervosa », Psychological Medicine, vol. 9, no 3, , p. 429–48 (PMID 482466, DOI 10.1017/S0033291700031974)
- ↑ « Bulimia nervosa: 25 years on », The British Journal of Psychiatry, vol. 185, no 6, , p. 447–8 (PMID 15572732, DOI 10.1192/bjp.185.6.447)
- 1 2 3 Collège national des universitaires en psychiatrie, Association pour l’enseignement de la sémiologie psychiatrique, Collège universitaire national des enseignants en addictologie, Référentiel de psychiatrie et addictologie, 2ème édition (ISBN 978-2-86906-419-5)
- ↑ « Chiffres clés de la boulimie », sur carenity.com (consulté le )
- 1 2 Haute Autorité de Santé, Fédération Française Anorexie Boulimie, « Boulimie et hyperphagie boulimique : Repérage et éléments généraux de prise en charge, Méthode Recommandations pour la pratique clinique », Recommandation de bonne pratique, (lire en ligne)
- ↑ Castilla et Bastin 1988, p. 15
- ↑ Castilla et Bastin 1988, p. 50-52
- ↑ Boulimie et trouble de la personnalité AAPEL. BOULIMIE.US. Boulimie, troubles alimentaires. Borderline état limite, hyperphagie
- ↑ « Anorexie et boulimie : définition, symptômes, traitements », Sciences et Avenir, (lire en ligne, consulté le )
- ↑ Castilla et Bastin 1988, p. 173-186
- ↑ (en) Waller « Sexual abuse and the severity of bulimic symptoms » Brit. J. Psychiatry 1992;161:90-93.
- ↑ (en) Everill JT, Waller G, « Reported sexual abuse and eating psychopathology : a review of the evidence for a causal link », Int J Eat Disord., vol. 18, no 1, , p. 1-11 (PMID 7670438)
- ↑ (en) Allison KC, Grilo CM, Masheb RM, Stunkard AJ, « High self-reported rates of neglect and emotional abuse, by persons with binge eating disorder and night eating syndrome », Behav Res Ther., vol. 45, no 12, , p. 2874-83 (PMID 17659255, PMCID PMC2134835, lire en ligne)
- ↑ (en) Marianne Barabasz, « Hypnotizability in Bulimia », International Journal of Eating Disorders, vol. 10, no 1, , p. 117–120 (DOI 10.1002/1098-108X(199101)10:1<117::AID-EAT2260100113>3.0.CO;2-T, lire en ligne).
- ↑ « La méthode aide à soigner les troubles alimentaires », La République du Centre, , p. 18 (lire en ligne
) - ↑ (en) Marianne Barabasz, « Cognitive Hypnotherapy With Bulimia », American Journal of Clinical Hypnosis, vol. 54, no 4, , p. 353–364 (DOI 10.1080/00029157.2012.658122, lire en ligne).
- ↑ Daniel Rigaud et Association Autrement (dir.), « Anorexie mentale, boulimie, compulsions alimentaires et troubles du comportement alimentaire - Sevrage des crises de boulimie par sonde gastrique - Association Autrement »
, sur www.anorexie-et-boulimie.fr, (consulté le ) - ↑ 50 % des patients n'ont plus de symptômes après 5 à 10 ans.
- ↑ 20 % des patients présentent encore de la boulimie après 5 à 10 ans de suivi.
- ↑ Voir Carence alimentaire en sélénium
- ↑ Pulsions et destin des pulsions, Métapsychologie, Freud, 1915.
Voir aussi
Articles connexes
Bibliographie
Récits, romans
- Anne Colmerauer puis sous le nom d'Anne Calife, Meurs la faim, Gallimard, 1999 (ISBN 978-2070527496), rééditions The Menthol House, 2010 Meurs la faim, à interpréter dans le sens "quelle meurs la faim !" a été le premier récit d'autofiction sur la boulimie, publiée par la Collection Frontières, éditions Gallimard. Cette autofiction montre l'organisation familiale défaillante, sans repère et très ambigue ainsi que la mise en place de la boulimie dans la petite enfance, jusqu'à l'adolescence.
- Camille de Peretti, Thornytorinx, Paris, Belfond, 2005 (ISBN 2714441424) cette autofiction aborde le sujet de la boulimie et anorexie montrant aussi la stratégie du vomissement.
- Kathryn Hansen, Brain Over Binge, 2014 (ISBN 0984481702) et The Brain over Binge Recovery Guide, 2016 (ISBN 0984481745) (anglais). L'auteur explique son histoire avec la boulimie et comment elle s'en est sortie. Sa méthode se base sur deux principes simples: 1. Manger suffisamment. ("eat adequatly") 2. Se détacher et ne pas répondre aux envies boulimiques. ("dismiss binge urges").
- Amélie Nothomb, Une forme de vie, Albin Michel, 2010 Cette correspondance fictive entre Amélie Nothomb, l'auteur, et un soldat de l'armée américaine devenu obèse, comme d'autres conscrits, pendant son séjour militaire en Irak, décortique avec humour et sensibilité les raisons de cette obésité.
Ouvrages de vulgarisation
- Karin Bernfeld, Déjouer les troubles alimentaires, Librio-Flammarion, 2007
- Denise de Castilla et Christiane Bastin (préf. Albert-François Creff), La boulimie : mieux se connaître pour en guérir, Robert Laffont, coll. « Réponses », , 202 p. (ISBN 978-2-221-05436-9)
- Catherine Hervais, Les toxicos de la bouffe, éditions Payot Poche, 2007
- Annick Loupias, La tortue sur le dos, éd. de L'Homme, 2001
- François Nef, La boulimie : des théories aux thérapies, Sprimont (Belgique), Mardaga, coll. « Pratiques psychologiques », , 174 p. (ISBN 978-2-87009-930-8, présentation en ligne)
- Franck Senninger, La boulimie, édition Jouvence, 2004
Témoignage
- Vittoria Pazalle, Anorexie et boulimie : journal intime d'une reconstruction, Éditions Dangles 2007
Revue
- « Fluoxétine, Boulimie : pas de progrès » et « Boulimie : les traitements symptomatiques sont peu efficaces » in La revue Prescrire no 275, p. 568 et 602 à 607, septembre 2006
Liens externes
- Notices dans des dictionnaires ou encyclopédies généralistes :
- Ressources relatives à la santé :
- Classification internationale des soins primaires
- Diseases Ontology
- DiseasesDB
- Héritage mendélien chez l'humain
- ICD-10 Version:2016
- ICD9Data.com
- MalaCards
- Medical Dictionary for Regulatory Activities Terminology
- Medical Subject Headings
- MedlinePlus
- NCI Thesaurus
- PatientLikeMe
- Store medisinske leksikon
- WikiSkripta
- Ressource relative à la recherche :
- Fédération Française Anorexie Boulimie (FFAB)
- Permanence téléphonique "Anorexie Boulimie Info Écoute" : 0810 037 037 (numéro violet : prix appel + 6 cts / min) assurée par des médecins, psychologues et associations spécialisés dans les TCA
- Troubles du comportement alimentaire : anorexie et boulimie - Site de la Sécurité Sociale (Ameli)
- Boulimie et hyperphagie boulimique. Repérage et éléments généraux de prise en charge - Site de la Haute Autorité de Santé (HAS)
- Vidéo : "Mince alors !" pour la prévention de l'anorexie et de la boulimie
- Fédération Nationale des Associations liées aux Troubles des Conduites Alimentaires - Aide et information à destination des patients et de leurs proches
- Portail de la médecine
- Portail de la psychologie
- Alimentation et gastronomie