Angiolipome
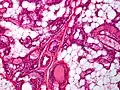
L’angiolipome est une tumeur bénigne des tissus mous associant du tissu adipeux et des vaisseaux capillaires.
Anatomie pathologique
Histopathologie
Diagnostic différentiel
Notes et références
- Portail de la médecine
L’angiolipome est une tumeur bénigne des tissus mous associant du tissu adipeux et des vaisseaux capillaires.
.jpg)
.jpg)

