Agent de contraste pour l'IRM

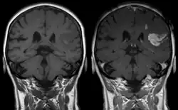
Effet de l'agent de contraste sur les images : défaut de la barrière hémato-encéphalique après un AVC pondéré en T1, image de gauche sans, image de droite avec administration de produit de contraste.

Un agent ou produit de contraste pour l'IRM est un agent de contraste utilisé pour améliorer la visibilité des structures internes du corps en imagerie par résonance magnétique (IRM)[1]. Les composés les plus couramment utilisés pour l'amélioration du contraste sont à base de gadolinium. Ceux-ci raccourcissent les temps de relaxation magnétique (T1 et T2) des protons des molécules d’eau : le temps pendant lequel les spins de ces protons regagnent leur état initial après excitation par l’onde de radiofréquence[2].

Gadolinium(III)

L'ion Gd3+ est utilisé comme agent de contraste pour l'imagerie par résonance magnétique (IRM) où il est associé à un chélateur ou ligand pour réduire son exposition à l'organisme et sa haute cytotoxicité (dose létale médiane : 0,34 mmol/kg IV (souris)[3]).

Il possède sous sa forme ionique sept électrons non appariés, ce qui réduit les temps de relaxation longitudinaux (T1) et transversaux (par effet T2*) des tissus avoisinants, créant un signal T1 plus important et donc une image plus contrastée. Ces produits gadolinés sont injectés par voie intraveineuse et permettent d'imager l'ensemble du réseau veineux.

Ils sont éliminés par voie rénale (par filtration glomérulaire). Ils sont rarement injectés par voie intra-articulaire dilué.

Les chélates de Gd3+ sont hydrophiles et franchissent seulement une barrière hémato-encéphalique compromise, telle que les lésions et les tumeurs.

Gadolinium-2 Gadolinium atom[4]

Agents de contraste à base de gadolinium (GBCA) autorisés

Noms commerciaux, approuvés pour un usage chez l'homme par l'Agence européenne des médicaments (AEM)[5], FDA[6] (dose standard[7] DS) :

  • macrocycliques :
    • ioniques :
      • gadotérate (Dotarem, Clariscan) : AEM, FDA (DS : 0,1 mmol/kg),
    • non ioniques :
      • gadobutrol (en) (Gadovist : Europe, Gadavist : États-Unis) AEM, FDA (DS : 0,1 mmol/kg),
      • gadotéridol (en) (ProHance) : AEM, FDA (DS : 0,1 mmol/kg) ;
  • linéaires (suspendus par l'AEM[8], faible stabilité thermodynamique) :
    • ioniques :
      • gadopentétate de diméglumine (en) (Magnevist[9], Europe : Magnegita, Gado-MRT ratiopharm) FDA (Magnetol) (DS : 0,1 mmol/kg)),
      • gadobénate (MultiHance) : FDA, AEM (foie) (DS : 0,1 mmol/kg),
      • gadoxétate de disodium (en) (Eovist, Europe : Primovist) FDA,
    • non ioniques (faible stabilité cinétique) :
      • gadoversétamide (en) (OptiMARK) FDA (DS : 0,1 mmol/kg),
      • gadodiamide (en) (Omniscan) : FDA (DS : 0,1 mmol/kg).

Effets indésirables

Le gadolinium(III), dû à sa haute toxicité, est uniquement administré chélaté. En effet, Gd3+ a un rayon atomique très proche du calcium[10] et peut donc s'y substituer dans les nombreux processus biologiques où il intervient (canaux calciques, régularité du rythme cardiaque, etc.), entrainant des effets plus ou moins sérieux selon la dose injectée[11].

Le gadolinium (sous forme chélatée ou libre) est retenu dans le cerveau, en particulier dans le noyau dentelé et le globus pallidus[12], dès une injection d'un agent de contraste à base de gadolinium (GBCA) (en quantité plus importante pour les linéaires)[13]. Le système glymphatique pourrait être la voie d'accès principale des GBCA au cerveau en intraveineuse[14]. Des études in vitro ont trouvé les agents linéaires (chélateurs moins stables) plus neurotoxiques que ceux macrocycliques[15],[16]. Une étude a trouvé qu'un rehaussement du signal T1 sans administration de contraste (indicateur de la présence de gadolinium) sur les IRM cérébraux d'individus ayant reçu une ou plusieurs injections d'agents linéaires et macrocycliques corrélaient significativement avec une fluence verbale moindre[17]. La confusion est une possible conséquence clinique reportée par plusieurs études[15].

Les injections intrathécales de doses supérieures à mmol sont associées à de sévères complications neurologiques et peuvent entraîner la mort[18],[19].

Les GBCA sont néphrotoxiques, peuvent provoquer une réaction inflammatoire et peuvent entrainer la mort en cas d'insuffisance rénale[11],[20]. Des cas de fibroses néphrogéniques systémiques ont été rapportés avec l'usage d'agents linéaires et macrocycliques[21],[22] chez des insuffisants rénaux chroniques et aigües (ex. : néphrite interstitielle[23]) bien que beaucoup plus fréquemment par les premiers.

Les agents linéaires (Omniscan, Magnevist) ont été suspendus par l'Agence européenne des médicaments (AEM) en 2017. L'usage des produits macrocycliques reste autorisé en France à la dose la plus faible possible et que lorsque le diagnostic ne peut être obtenu sans[24].

Une étude rétrospective danoise estimait une incidence de douze cas de fibrose néphrogénique systémique par million dans la population générale du pays, un taux plus élevé que dans d'autres pays avec une utilisation comparable de GBCA. Les auteurs suggèrent que ces derniers sous-diagnostiquent la maladie par méconnaissance des médecins, au contraire des hôpitaux danois qui identifièrent la présence de gadolinium par des analyses par spectrométrie de masse de biopsies cutanées[23].

Manganèse

Des agents de contraste utilisant le manganèse (Mn2+), tels le MnLMe ou Mn-PyC3A, au lieu du Gd3+, sont un sujet de recherches et développements[25]. Le manganèse est rapidement éliminé par les reins, est retenu environ deux-trois fois moins que l'acide gadotérique dans les tissus[26] et est endogène.

Des chélates de Mn-DPDP (Mangafodipir) améliorent le signal T1[27] Le chélate se dissocie in vivo en manganèse et DPDP où le premier est absorbé par voie intracellulaire et excrété dans la bile, tandis que le dernier est éliminé par filtration rénale[28]. Le mangafodipir a été utilisé dans des essais cliniques de neuroimagerie humaine, en rapport avec les maladies neurodégénératives telles que la sclérose en plaques[29],[30].

Oxyde de fer (superparamagnétique)

Ils sont constitués de nanoparticules d'oxyde de fer (diamètre compris entre quelques nanomètres et quelques dizaines de nanomètres). On les appelle « SPION » (pour superparamagnetic iron oxide nanoparticles). Ils ne sont presque plus utilisés.

Administration orale

Des chélates de gadolinium et de manganèse peuvent augmenter le signal T1 des images de l'appareil digestif. Des produits naturellement riches en manganèse tels que le bleuet et le thé vert peuvent être utilisés[31].

Le perflubron a été utilisé comme agent de contraste IRM gastro-intestinal pour l'imagerie pédiatrique[32]. Cet agent de contraste agit en réduisant le nombre d'ions hydrogène dans une cavité corporelle, la faisant ainsi apparaître sombre sur les images.

Notes et références

  1. Peter A. Rinck, Magnetic Resonance in Medicine. A critical introduction., TRTF – The Round Table Foundation / EMRF – European Magnetic Resonance Forum, , 14th éd. « Magnetic resonance contrast agents », sur Magnetic Resonance in Medicine (www.magnetic-resonance.org)
  2. Marc Port, « Principe de l'IRM : les agents de contraste », sur CultureSciences-Chimie, (consulté le ).
  3. Jean-Marc Idee, « Profil toxicologique des chélates de gadolinium pour l’IRM : où en est-on ? » [PDF], .
  4. I Kambali et G. OSullivan, « Spectroscopic Studies of Soft X-Ray Emission from Gadolinium Plasmas », Atom Indonesia, vol. 40, no 2, , p. 57 (ISSN 2356-5322 et 0126-1568, DOI 10.17146/aij.2014.270, lire en ligne, consulté le )
  5. « EMA recommendations on Gadolinium-containing contrast agents », sur ema.europa.eu, European Medicines Agency (consulté le ).
  6. « Information on Gadolinium-Containing Contrast Agents », Fda.gov (consulté le ).
  7. https://www.radiology.wisc.edu/wp-content/uploads/2017/10/gadolinium-based-contrast-dosing-charts.pdf
  8. « EMA's final opinion confirms restrictions on use of linear gadolinium agents in body scans », (consulté le ).
  9. ANSM, « Magnevist », sur agence-prd.ansm.sante.fr, 27 octobre 2014.
  10. A. Dean Sherry, Peter Caravan et Robert E. Lenkinski, « A primer on gadolinium chemistry », Journal of magnetic resonance imaging: JMRI, vol. 30, no 6, , p. 1240–1248 (ISSN 1053-1807, PMID 19938036, PMCID 2853020, DOI 10.1002/jmri.21966, lire en ligne, consulté le ).
  11. 1 2 « Institut UTINAM - UMR 6213 - Gadolinium », sur utinam.cnrs.fr (consulté le ).
  12. Robert J. McDonald, Jennifer S. McDonald, David F. Kallmes et Mark E. Jentoft, « Intracranial Gadolinium Deposition after Contrast-enhanced MR Imaging », Radiology, vol. 275, no 3, , p. 772–782 (ISSN 0033-8419, DOI 10.1148/radiol.15150025, lire en ligne, consulté le ).
  13. A. Luana Stanescu, Dennis W. Shaw, Nozomu Murata et Kiyoko Murata, « Brain tissue gadolinium retention in pediatric patients after contrast-enhanced magnetic resonance exams: pathological confirmation », Pediatric Radiology, vol. 50, no 3, , p. 388–396 (ISSN 1432-1998, PMID 31989188, DOI 10.1007/s00247-019-04535-w, lire en ligne, consulté le ).
  14. Toshiaki Taoka et Shinji Naganawa, « Gadolinium-based Contrast Media, Cerebrospinal Fluid and the Glymphatic System: Possible Mechanisms for the Deposition of Gadolinium in the Brain », Magnetic resonance in medical sciences: MRMS: an official journal of Japan Society of Magnetic Resonance in Medicine, vol. 17, no 2, , p. 111–119 (ISSN 1880-2206, PMID 29367513, PMCID 5891336, DOI 10.2463/mrms.rev.2017-0116, lire en ligne, consulté le ).
  15. 1 2 Danielle V. Bower, Johannes K. Richter, Hendrik von Tengg-Kobligk et Johannes T. Heverhagen, « Gadolinium-Based MRI Contrast Agents Induce Mitochondrial Toxicity and Cell Death in Human Neurons, and Toxicity Increases With Reduced Kinetic Stability of the Agent », Investigative Radiology, vol. 54, no 8, , p. 453–463 (ISSN 1536-0210, PMID 31265439, DOI 10.1097/RLI.0000000000000567, lire en ligne, consulté le ).
  16. Mümin Alper Erdoğan, Melda Apaydin, Güliz Armagan et Dilek Taskiran, « Evaluation of toxicity of gadolinium-based contrast agents on neuronal cells », Acta Radiologica (Stockholm, Sweden: 1987), vol. 62, no 2, , p. 206–214 (ISSN 1600-0455, PMID 32366109, DOI 10.1177/0284185120920801, lire en ligne, consulté le ).
  17. Y. Forslin, S. Shams, F. Hashim et P. Aspelin, « Retention of Gadolinium-Based Contrast Agents in Multiple Sclerosis: Retrospective Analysis of an 18-Year Longitudinal Study », AJNR: American Journal of Neuroradiology, vol. 38, no 7, , p. 1311–1316 (ISSN 0195-6108, PMID 28495943, PMCID 7959913, DOI 10.3174/ajnr.A5211, lire en ligne, consulté le ).
  18. Mihilkumar Patel, Almohannad Atyani, Jean-Paul Salameh et Matthew McInnes, « Safety of Intrathecal Administration of Gadolinium-based Contrast Agents: A Systematic Review and Meta-Analysis », Radiology, vol. 297, no 1, , p. 75–83 (ISSN 1527-1315, PMID 32720867, DOI 10.1148/radiol.2020191373, lire en ligne, consulté le ).
  19. David Anthony Provenzano, Zachary Pellis et Leonard DeRiggi, « Fatal gadolinium-induced encephalopathy following accidental intrathecal administration: a case report and a comprehensive evidence-based review », Regional Anesthesia and Pain Medicine, (ISSN 1532-8651, PMID 31023932, DOI 10.1136/rapm-2019-100422, lire en ligne, consulté le ).
  20. « Gadolinium : l'heure des questions par Pr Damien Galanaud, Éditorial de La Lettre du Neurologue, vol. XX, no 3 », (consulté le ).
  21. (en) Yu Jeong Lim, Jisun Bang, Youngsun Ko et Hyun-Min Seo, « Late Onset Nephrogenic Systemic Fibrosis in a Patient with Stage 3 Chronic Kidney Disease: a Case Report », Journal of Korean Medical Science, vol. 35, no 35, (ISSN 1598-6357, PMID 32893521, PMCID PMC7476800, DOI 10.3346/jkms.2020.35.e293, lire en ligne, consulté le ).
  22. Tina Rask Elmholdt, Bettina Jørgensen, Mette Ramsing et Michael Pedersen, « Two cases of nephrogenic systemic fibrosis after exposure to the macrocyclic compound gadobutrol », NDT Plus, vol. 3, no 3, , p. 285–287 (ISSN 1753-0784, PMID 28657062, PMCID 5477958, DOI 10.1093/ndtplus/sfq028, lire en ligne, consulté le ).
  23. 1 2 Tina R. Elmholdt, Anne B. B. Olesen, Bettina Jørgensen et Stinne Kvist, « Nephrogenic Systemic Fibrosis in Denmark– A Nationwide Investigation », PLoS ONE, vol. 8, no 12, (ISSN 1932-6203, PMID 24349178, PMCID 3857209, DOI 10.1371/journal.pone.0082037, lire en ligne, consulté le ).
  24. Haute Autorité de santé, « Rapport d’évaluation du SMR, de l’ASMR et de la place dans la stratégie thérapeutique des produits de contraste à base de gadolinium administrés par voie intraveineuse du 25 juillet 2018 ».
  25. (en) Sellamuthu Anbu, Sabrina H. L. Hoffmann, Fabio Carniato et Lawrence Kenning, « A Single-Pot Template Reaction Towards a Manganese-Based T1 Contrast Agent », Angewandte Chemie International Edition, vol. 60, no 19, , p. 10736–10744 (ISSN 1521-3773, PMID 33624910, PMCID PMC8252504, DOI 10.1002/anie.202100885, lire en ligne, consulté le ).
  26. (en) « Tumor Contrast Enhancement and Whole-Body Elimination of the Manganese-Based Magnetic Resonance Imaging Contrast Agent Mn-PyC3A », Investigative Radiology, (lire en ligne).
  27. Sara Lacerda, Daouda Ndiaye et Éva Tóth, Metal Ions in Bio-Imaging Techniques, Springer, , 71–99 p. (DOI 10.1515/9783110685701-009), « Chapter 3. Manganese Complexes as Contrast Agents for Magnetic Resonance Imaging ».
  28. Mukesh G. Harisinghani, Kartik S. Jhaveri, Ralph Weissleder et Wolfgang Schima, « MRI Contrast Agents for Evaluating Focal Hepatic Lesions », Clinical Radiology, vol. 56, no 9, , p. 714–25 (PMID 11585393, DOI 10.1053/crad.2001.0764).
  29. D.M. Sudarshana, G. Nair, J.T. Dwyer et S.U. Steele, « Manganese-Enhanced MRI of the Brain in Healthy Volunteers », American Journal of Neuroradiology, vol. 40, no 8, , p. 1309–1316 (PMID 31371354, DOI 10.3174/ajnr.A6152).
  30. D.J. Suto, G. Nair, D.M. Sudarshana et S.U. Steel, « Manganese-Enhanced MRI in Patients with Multiple Sclerosis », American Journal of Neuroradiology, (PMID 32763897, DOI 10.3174/ajnr.A6665).
  31. Joseph K.T. Lee, Computed Body Tomography with MRI Correlation, (ISBN 978-0-7817-4526-0, lire en ligne)[page à préciser].
  32. G.S. Bisset, K.H. Emery, M.P. Meza et N.K. Rollins, « Perflubron as a gastrointestinal MR imaging contrast agent in the pediatric population », Pediatric Radiology, vol. 26, no 6, , p. 409–15 (PMID 8657479, DOI 10.1007/BF01387316).
  • icône décorative Portail de la chimie
  • icône décorative Portail de la physique
  • icône décorative Portail de la médecine