Adénome festonné sessile
L’adénome festonné sessile (AFS) est un sous-type d'adénome colorectal et de polype festonné colorectal. Il constitue une lésion précurseur de l'adénocarcinome colorectal. Ils siègent principalement dans le côlon droit.
Ils se présentent comme des lésions planes ou légèrement en relief, souvent étendues et parfois multiples, correspondant alors aux lésions de la polypose hyperplasique.
Cette lésion s'associe à des mutations du gène BRAF, ce qui laisse penser que ces lésions pourraient être un stade précoce du processus conduisant à l'émergence des cancers coliques sporadiques de phénotype microsatellite instable (en) (MSI).
Histopathologie
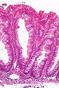
Faible grossissement x24: Adénome festonné sessile.
Moyen grossissement x100: Adénome festonné sessile.
Fort grossissement x200: Adénome festonné sessile.
Fort grossissement x400: Adénome festonné sessile.
La partie profonde des glandes est souvent élargie, a tendance à se diviser en deux ou trois branches et à s’horizontaliser, c'est-à-dire à se disposer parallèlement à la musculaire muqueuse et non pas perpendiculairement à elle, comme dans les polypes hyperplasiques conventionnels et les adénomes festonnés traditionnels.
Notes et références
Liens externes
- Portail de la médecine